Witaj w kompleksowym przewodniku, który odpowie na wszystkie Twoje pytania dotyczące zębów mlecznych dziecka! Dowiesz się, ile dokładnie ząbków ma Twój maluch, kiedy się pojawiają, jak o nie prawidłowo dbać i dlaczego ich zdrowie jest kluczowe dla przyszłego uzębienia stałego. Przygotuj się na dawkę praktycznej wiedzy, która rozwieje wszelkie wątpliwości.
20 zębów mlecznych poznaj najważniejsze fakty o pierwszym uzębieniu dziecka
- Dziecko posiada łącznie 20 zębów mlecznych: 10 w szczęce i 10 w żuchwie.
- W skład uzębienia mlecznego wchodzą siekacze, kły i zęby trzonowe, ale brakuje zębów przedtrzonowych.
- Mleczaki są kluczowe dla prawidłowego rozwoju mowy, gryzienia, żucia oraz utrzymania miejsca dla zębów stałych.
- Ich szkliwo jest cieńsze i słabiej zmineralizowane, co czyni je bardzo podatnymi na próchnicę.
- Higienę jamy ustnej należy rozpocząć od pojawienia się pierwszego zęba, używając pasty z fluorem w odpowiedniej ilości.
- Pierwsza wizyta u stomatologa powinna odbyć się już w pierwszym roku życia dziecka, a wizyty kontrolne co 3-6 miesięcy.
Ile zębów mlecznych ma dziecko i dlaczego są tak ważne
Szybka odpowiedź na kluczowe pytanie: Poznaj magiczną liczbę pierwszych ząbków
Zacznijmy od najważniejszej informacji: dziecko posiada łącznie 20 zębów mlecznych. Są one równomiernie rozmieszczone w jamie ustnej 10 zębów znajduje się w szczęce (górna szczęka), a pozostałe 10 w żuchwie (dolna szczęka). To właśnie ta liczba stanowi kompletne uzębienie mleczne, które towarzyszy maluchom przez pierwsze lata życia.
Nie tylko siekacze: Jakie rodzaje zębów mlecznych pojawiają się w buzi malucha?
Komplet 20 zębów mlecznych składa się z kilku rodzajów. W buzi malucha znajdziemy 8 siekaczy (4 centralne i 4 boczne), które służą do odgryzania pokarmów. Następnie pojawiają się 4 kły, pomocne w rozrywaniu jedzenia. Ostatnią grupę stanowią 8 zębów trzonowych (pierwsze i drugie), odpowiedzialne za rozcieranie pokarmu. Warto podkreślić, że w uzębieniu mlecznym nie występują zęby przedtrzonowe pojawią się one dopiero w uzębieniu stałym.Zęby mleczne mają swoje specyficzne cechy. Są zazwyczaj mniejsze i bielsze od zębów stałych, co jest naturalne. Ich szkliwo jest jednak cieńsze i słabiej zmineralizowane, co niestety czyni je znacznie bardziej podatnymi na próchnicę. Często obserwuje się również fizjologiczne przerwy między zębami, nazywane diastemami. Nie ma się czym martwić te przerwy są pożądane, ponieważ zapewniają miejsce dla większych zębów stałych, które pojawią się w przyszłości.
Dlaczego mleczaki są tak ważne dla zdrowia i rozwoju dziecka?
Nierzadko spotykam się z przekonaniem, że mleczaki nie są tak ważne, bo przecież i tak wypadną. Nic bardziej mylnego! Zęby mleczne pełnią kluczowe funkcje dla prawidłowego rozwoju dziecka:
- Gryzienie i żucie pokarmów: Umożliwiają dziecku prawidłowe rozdrabnianie jedzenia, co jest niezbędne dla właściwego trawienia i przyswajania składników odżywczych. Bez zdrowych mleczaków dieta dziecka może być ograniczona, co wpływa na jego rozwój.
- Rozwój mowy: Prawidłowe ułożenie zębów mlecznych ma ogromny wpływ na artykulację dźwięków i rozwój mowy. Ich przedwczesna utrata może prowadzić do wad wymowy.
- Utrzymywanie przestrzeni dla zębów stałych: Mleczaki działają jak naturalne "prowadnice" dla zębów stałych. Utrzymują odpowiednie miejsce w łuku zębowym, torując drogę dla ich prawidłowego wyrzynania się.
- Zapobieganie wadom zgryzu: Przedwczesna utrata zębów mlecznych, zwłaszcza trzonowców, może spowodować przesuwanie się pozostałych zębów, co prowadzi do zwężenia łuku zębowego i braku miejsca dla zębów stałych. W konsekwencji mogą pojawić się wady zgryzu, wymagające późniejszego leczenia ortodontycznego.
Jak widać, mleczaki to coś więcej niż tylko "tymczasowe" zęby. Ich zdrowie ma fundamentalne znaczenie dla całego rozwoju jamy ustnej i ogólnego samopoczucia dziecka.

Kalendarz ząbkowania kiedy spodziewać się pierwszych zębów
Od pierwszego siekacza do ostatniego trzonowca: Orientacyjna mapa wyrzynania się zębów
Proces ząbkowania to ekscytujący, ale często też wymagający czas dla rodziców i maluchów. Zazwyczaj rozpoczyna się on między 6. a 10. miesiącem życia dziecka, a kończy około 30-33. miesiąca, kiedy to pojawiają się ostatnie zęby mleczne. Poniżej przedstawiam orientacyjny kalendarz, który pomoże Ci zorientować się, kiedy spodziewać się kolejnych ząbków. Pamiętaj jednak, że jest to jedynie mapa każde dziecko rozwija się indywidualnie, a kolejność i czas są w dużej mierze uwarunkowane genetycznie.
| Rodzaj zęba | Wiek (miesiące) |
|---|---|
| Siekacze przyśrodkowe dolne | 6-10 |
| Siekacze przyśrodkowe górne | 8-12 |
| Siekacze boczne (górne i dolne) | 9-16 |
| Pierwsze trzonowce | 13-19 |
| Kły | 16-23 |
| Drugie trzonowce | 23-33 |
Mój maluch ząbkuje inaczej czy są powody do niepokoju?
Jako doświadczony stomatolog, zawsze uspokajam rodziców, że niewielkie odchylenia od powyższego kalendarza ząbkowania są bardzo powszechne i zazwyczaj nie stanowią powodu do niepokoju. Niektóre dzieci zaczynają ząbkować wcześniej, inne później, a kolejność pojawiania się zębów również może się nieco różnić. Ważne jest, aby obserwować ogólny rozwój dziecka. Jeśli jednak zauważysz znaczące opóźnienia na przykład brak jakichkolwiek zębów po ukończeniu 12-18 miesięcy warto skonsultować się z pediatrą lub stomatologiem dziecięcym. Specjalista oceni sytuację i wykluczy ewentualne rzadsze przyczyny opóźnionego ząbkowania.
Mleczaki a zęby stałe: Kluczowe różnice, które każdy rodzic powinien znać
Choć zęby mleczne i stałe pełnią podobne funkcje, istnieją między nimi istotne różnice, które warto znać. Świadomość tych różnic pomoże Ci lepiej zrozumieć specyfikę pielęgnacji pierwszego uzębienia dziecka.
| Cecha | Zęby mleczne | Zęby stałe |
|---|---|---|
| Rozmiar | Mniejsze | Większe |
| Kolor | Bielsze (często określane jako "perłowe") | Ciemniejsze (żółtawy odcień, wynikający z większej ilości zębiny) |
| Szkliwo | Cieńsze i słabiej zmineralizowane, bardziej podatne na ścieranie i próchnicę | Grubsze i lepiej zmineralizowane, bardziej odporne na czynniki zewnętrzne |
| Rodzaje zębów | Siekacze, kły, trzonowce (brak przedtrzonowych) | Siekacze, kły, przedtrzonowe, trzonowe (w tym zęby mądrości) |
Jak dbać o zęby mleczne dla zdrowych zębów stałych
Pierwszy ząbek to początek obowiązku: Jak i czym myć zęby niemowlaka?
Pielęgnacja jamy ustnej dziecka powinna rozpocząć się od momentu pojawienia się pierwszego zęba, a nawet wcześniej od przecierania dziąseł gazikiem nasączonym wodą po karmieniu. Gdy tylko pojawi się pierwszy mleczak, należy wprowadzić szczotkowanie. Początkowo wystarczy miękka, silikonowa szczoteczka-nakładka na palec lub bardzo mała szczoteczka z miękkim włosiem. Zęby niemowlaka myjemy dwa razy dziennie, rano i wieczorem, delikatnymi ruchami, skupiając się na wszystkich powierzchniach zęba. Pamiętaj, że to Ty, jako rodzic, jesteś odpowiedzialny za prawidłową higienę jamy ustnej malucha aż do około 7-8 roku życia, kiedy dziecko nabierze wystarczającej manualnej sprawności.
Pasta z fluorem tak czy nie? Wybieramy odpowiednie produkty do higieny
Kwestia stosowania pasty z fluorem u małych dzieci budzi wiele pytań, ale współczesne zalecenia stomatologiczne są jasne: pasta z fluorem jest wskazana od pierwszego zęba! Fluor wzmacnia szkliwo, czyniąc je bardziej odpornym na działanie kwasów i rozwój próchnicy. Kluczowe jest jednak stosowanie odpowiedniej ilości i stężenia fluoru:
- Dla dzieci do 3. roku życia: Należy używać pasty z fluorem o stężeniu 1000 ppm. Ilość pasty powinna być minimalna wielkości ziarnka ryżu.
- Dla dzieci powyżej 3. roku życia: Nadal stosujemy pastę z fluorem o stężeniu 1000 ppm, ale ilość pasty może być nieco większa wielkości ziarnka grochu.
Zawsze upewnij się, że dziecko wypluwa nadmiar pasty po szczotkowaniu i nie połyka jej. Wybieraj pasty przeznaczone specjalnie dla dzieci, które często mają przyjemny smak, co zachęca maluchy do mycia zębów.
Dieta antypróchnicowa: Co powinno jeść dziecko, a czego unikać dla zdrowia zębów?
Dieta odgrywa fundamentalną rolę w profilaktyce próchnicy. To, co je i pije Twoje dziecko, ma bezpośredni wpływ na zdrowie jego zębów. Oto kluczowe zasady diety antypróchnicowej:
- Ograniczenie cukrów prostych: To podstawa! Cukry są pożywką dla bakterii próchnicotwórczych. Unikaj słodkich napojów (soków, słodzonych herbatek), słodyczy, ciastek i innych produktów z dużą zawartością cukru. Jeśli dziecko je słodycze, niech to będzie jednorazowa porcja po głównym posiłku, a nie częste podjadanie.
- Unikanie częstego podjadania: Każde podjadanie, nawet zdrowych przekąsek, obniża pH w jamie ustnej, tworząc kwaśne środowisko sprzyjające demineralizacji szkliwa. Staraj się, aby dziecko miało regularne posiłki i tylko wodę między nimi.
- Woda jako główny napój: Woda nie tylko gasi pragnienie, ale również pomaga wypłukiwać resztki jedzenia i neutralizować kwasy w ustach.
- Produkty bogate w wapń i witaminę D: Mleko, jogurty, sery, a także produkty bogate w witaminę D (np. ryby) wspierają mineralizację zębów i kości.
- Warzywa i owoce: Są źródłem witamin i minerałów, a ich chrupanie (np. marchewki, jabłka) naturalnie czyści zęby.
Kiedy zaplanować pierwszą wizytę u stomatologa i dlaczego nie warto z nią zwlekać?
Zgodnie z zaleceniami, pierwsza wizyta u stomatologa powinna odbyć się już w pierwszym roku życia dziecka, najlepiej po pojawieniu się pierwszego zęba, a nie później niż do ukończenia 12. miesiąca życia. Wiem, że to może wydawać się wcześnie, ale wczesne wizyty mają ogromne znaczenie:
- Edukacja rodziców: Stomatolog udzieli Ci praktycznych wskazówek dotyczących prawidłowej higieny, diety i profilaktyki próchnicy, dostosowanych do wieku Twojego dziecka.
- Wczesne wykrywanie problemów: Pozwalają na wczesne wykrycie ewentualnych nieprawidłowości, takich jak wady rozwojowe, ryzyko próchnicy czy problemy z ząbkowaniem.
- Budowanie pozytywnych skojarzeń: Dziecko, które od małego regularnie odwiedza gabinet stomatologiczny, uczy się, że jest to miejsce bezpieczne i przyjazne. To klucz do uniknięcia lęku przed dentystą w przyszłości.
Regularne wizyty kontrolne, co 3-6 miesięcy, są równie ważne, aby monitorować rozwój uzębienia i w razie potrzeby szybko reagować na pojawiające się problemy.

Próchnica mleczaków jak ją rozpoznać i walczyć
Białe plamki i ciemne przebarwienia: Pierwsze sygnały alarmowe, których nie można ignorować
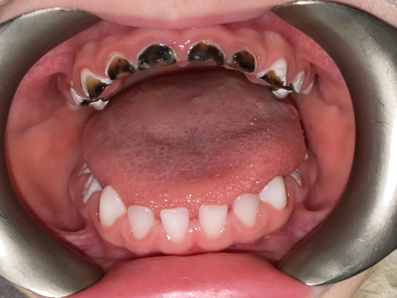
Próchnica zębów mlecznych rozwija się niestety bardzo szybko, często zaskakując rodziców. Wynika to z faktu, że szkliwo mleczaków jest cieńsze i słabiej zmineralizowane niż w zębach stałych. Dlatego tak ważne jest, aby zwracać uwagę na pierwsze sygnały alarmowe. Początkowo próchnica może objawiać się jako białe, matowe plamki na szkliwie, często w okolicy dziąseł lub na powierzchniach żujących. To znak demineralizacji szkliwa. Jeśli nie zostanie to wcześnie zauważone i zahamowane, plamki te mogą szybko przekształcić się w ciemne, brązowe lub czarne przebarwienia, świadczące o postępującej próchnicy. Nie ignoruj tych sygnałów! Im wcześniej zareagujesz i skonsultujesz się ze stomatologiem, tym większa szansa na skuteczne leczenie i uratowanie zęba.
Próchnica butelkowa: Czym jest i jak uchronić przed nią najmłodsze dzieci?
Jedną z najgroźniejszych i najczęściej występujących form próchnicy u najmłodszych dzieci jest tak zwana "próchnica butelkowa" (zwana również próchnicą wczesnego dzieciństwa). Jest to agresywna forma próchnicy, która zazwyczaj dotyka górne siekacze, a następnie rozprzestrzenia się na pozostałe zęby. Jej główną przyczyną jest długotrwały kontakt zębów z płynami zawierającymi cukier, zwłaszcza podczas snu. Dzieje się tak, gdy dziecko zasypia z butelką zawierającą mleko (również modyfikowane), słodką herbatkę, sok czy inny słodki napój. W nocy wydzielanie śliny jest zmniejszone, co utrudnia naturalne oczyszczanie zębów i neutralizację kwasów. Aby uchronić dziecko przed próchnicą butelkową, należy bezwzględnie unikać podawania słodkich napojów przed snem. Po wieczornym karmieniu i umyciu zębów, do picia podawaj dziecku wyłącznie wodę. Staraj się również stopniowo odzwyczajać malucha od zasypiania z butelką.
"I tak wypadną" obalamy mity! Dlaczego leczenie zębów mlecznych jest koniecznością?
"I tak wypadną" to jeden z najgroźniejszych mitów dotyczących zębów mlecznych.
Zdecydowanie muszę obalić ten szkodliwy mit! Przekonanie, że nie warto leczyć zębów mlecznych, bo "i tak wypadną", jest niestety bardzo rozpowszechnione i prowadzi do poważnych konsekwencji zdrowotnych. Nieleczona próchnica mleczaków to nie tylko ból i dyskomfort dla dziecka, ale także szereg innych, poważnych problemów:
- Silny ból i infekcje: Zaawansowana próchnica prowadzi do zapalenia miazgi zęba, a następnie do ropni i stanów zapalnych, które mogą rozprzestrzeniać się na okoliczne tkanki, a nawet na cały organizm.
- Uszkodzenie zawiązków zębów stałych: Infekcja w zębie mlecznym może przenieść się na znajdujący się pod nim zawiązek zęba stałego, prowadząc do jego uszkodzenia, zaburzeń w mineralizacji szkliwa lub nawet do obumarcia.
- Wady zgryzu: Przedwczesna utrata mleczaków (na skutek nieleczonej próchnicy) zaburza naturalny proces wymiany uzębienia. Pozostałe zęby mogą się przesuwać, blokując miejsce dla zębów stałych i prowadząc do stłoczeń, rotacji czy innych wad zgryzu, które w przyszłości będą wymagały długiego i kosztownego leczenia ortodontycznego.
- Problemy z jedzeniem i mową: Ból i ubytki w zębach utrudniają prawidłowe gryzienie i żucie, co może prowadzić do niedożywienia. Wpływają również negatywnie na rozwój mowy.
Statystyki w Polsce są alarmujące problem próchnicy dotyczy ponad 64% trzylatków i aż ponad 86% siedmiolatków. To pokazuje skalę problemu i podkreśla, jak kluczowe jest leczenie każdego zęba mlecznego. Leczenie mleczaków to inwestycja w zdrowie i prawidłowy rozwój uzębienia stałego Twojego dziecka.
Pożegnanie z mleczakami wymiana uzębienia na stałe
Od ruszającego się zęba do wizyty Wróżki Zębuszki: Kiedy wypadają mleczaki?
Moment, w którym dziecko zaczyna tracić pierwsze zęby mleczne, to kolejny ważny etap w jego rozwoju. Proces wymiany uzębienia na stałe rozpoczyna się zazwyczaj około 6. roku życia i trwa do około 12.-13. roku życia. To czas, kiedy Wróżka Zębuszka ma pełne ręce roboty! Pierwsze zęby stałe, tzw. szóstki, często wyrzynają się za ostatnimi mlecznymi trzonowcami, zanim jeszcze wypadnie jakikolwiek mleczak, więc ich pojawienie się może być niezauważone przez rodziców. Następnie zaczynają ruszać się i wypadać mleczaki, ustępując miejsca swoim stałym następcom.
Kolejność wypadania: Czy mleczaki znikają w tej samej kolejności, w której się pojawiły?
Zazwyczaj tak! Zęby mleczne wypadają w podobnej kolejności, w jakiej się pojawiły, choć oczywiście mogą wystąpić niewielkie odchylenia. Jest to naturalny proces, w którym korzenie zębów mlecznych ulegają resorpcji (rozpuszczaniu) pod wpływem nacisku wyrzynających się zębów stałych. Poniżej przedstawiam orientacyjny kalendarz wypadania zębów mlecznych:
| Rodzaj zęba | Wiek (lata) |
|---|---|
| Siekacze (jedynki i dwójki) | 6-8 |
| Pierwsze trzonowce | 9-11 |
| Kły | 9-12 |
| Drugie trzonowce | 10-12 |
Pamiętaj, że są to wartości orientacyjne. Najważniejsze jest, aby obserwować proces i w razie wątpliwości skonsultować się ze stomatologiem.
Przeczytaj również: Jak wyglądają implanty zębów? Poznaj budowę i efekty "przed i po"
Co robić, gdy ząb stały rośnie, a mleczak nie chce wypaść?
Zdarza się, że ząb stały zaczyna się wyrzynać, a odpowiadający mu ząb mleczny wciąż mocno tkwi w jamie ustnej. Jest to sytuacja, którą nazywamy zębem przetrwałym. Najczęściej dotyczy to dolnych siekaczy, gdzie ząb stały wyrzyna się za mleczakiem. W takiej sytuacji konieczna jest konsultacja ze stomatologiem dziecięcym. Specjalista oceni, czy mleczak wymaga ekstrakcji (usunięcia), aby zrobić miejsce dla zęba stałego i umożliwić mu prawidłowe ustawienie w łuku zębowym. Ignorowanie tego problemu może prowadzić do wad zgryzu, stłoczeń zębów i konieczności leczenia ortodontycznego w przyszłości. Nie zwlekaj z wizytą im szybciej zareagujemy, tym lepiej dla zdrowia i estetyki uśmiechu Twojego dziecka.
