Brązowy osad na zębach to problem, z którym boryka się wielu z nas. Choć często postrzegany jest jedynie jako kwestia estetyczna, może świadczyć o niewystarczającej higienie lub być sygnałem innych, ważniejszych kwestii zdrowotnych. W tym artykule, jako Zofia Baranowska, przeprowadzę Cię przez kompleksowy przewodnik od zrozumienia przyczyn powstawania tego nieestetycznego nalotu, przez skuteczne domowe metody, aż po profesjonalne zabiegi stomatologiczne i kluczowe strategie zapobiegania.
Skuteczne usuwanie brązowego osadu na zębach domowe sposoby i profesjonalne zabiegi
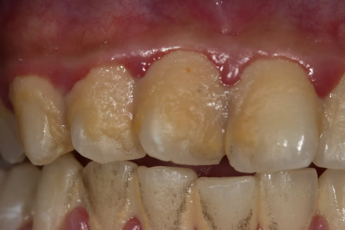
- Główne przyczyny brązowego osadu to kawa, herbata, wino, palenie tytoniu i niewystarczająca higiena jamy ustnej.
- Domowe metody usuwania osadu obejmują stosowanie specjalistycznych past, szczoteczek sonicznych oraz regularne nitkowanie i irygację.
- Profesjonalne zabiegi, takie jak skaling i piaskowanie, są najskuteczniejsze w usuwaniu uporczywych osadów i kamienia nazębnego.
- Ważne jest odróżnienie brązowego osadu od próchnicy zawsze warto skonsultować się ze stomatologiem.
- Zapobieganie nawrotom wymaga odpowiedniej diety, sumiennej higieny i regularnych kontroli dentystycznych.
- U dzieci osad może mieć specyficzne przyczyny, takie jak leki, nadmiar fluoru czy dieta.

Zastanawiasz się, dlaczego na Twoich zębach pojawia się brązowy osad, mimo że dbasz o higienę? To złożone pytanie, ponieważ przyczyn może być wiele, a często nakładają się one na siebie. Zrozumienie, co dokładnie powoduje ten problem, to pierwszy i najważniejszy krok do skutecznego pozbycia się nieestetycznych przebarwień.
Codzienne nawyki, które zabarwiają Twoje zęby czy kawa i herbata to jedyni winowajcy?
Nie da się ukryć, że nasza dieta i codzienne nawyki żywieniowe mają ogromny wpływ na kolor zębów. To właśnie kawa, czarna herbata, czerwone wino, cola oraz soki z ciemnych owoców, takich jak jagody czy aronia, są głównymi winowajcami. Zawarte w nich barwniki, zwane chromogenami, oraz taniny łatwo osadzają się na szkliwie. Co więcej, kwaśne pH wielu z tych napojów dodatkowo osłabia szkliwo, czyniąc je bardziej podatnym na wchłanianie barwników. To dlatego tak często widzę u pacjentów przebarwienia, które są bezpośrednim efektem ich ulubionych napojów.
Dym papierosowy: jak nikotyna i substancje smoliste tworzą uporczywy nalot
Jeśli palisz, z pewnością zauważyłeś, że Twoje zęby mają tendencję do ciemnienia. Dym papierosowy to prawdziwy wróg białego uśmiechu. Zawiera on nikotynę i substancje smoliste, które tworzą niezwykle uporczywy, ciemnobrązowy nalot. Ten rodzaj przebarwień jest szczególnie trudny do usunięcia domowymi metodami i często wymaga interwencji stomatologicznej. To jedna z najczęstszych przyczyn, z którą spotykam się w mojej praktyce.
Ukryci wrogowie białego uśmiechu: leki, płukanki i suplementy diety
Czasami brązowy osad pojawia się niezależnie od diety czy palenia. Długotrwałe przyjmowanie niektórych leków, na przykład preparatów żelaza, może powodować powstawanie ciemnych plam na zębach. Podobnie, niektóre płukanki do ust, zwłaszcza te zawierające chlorheksydynę, przy dłuższym stosowaniu mogą prowadzić do nieestetycznych przebarwień. Rzadziej, ale warto o tym wspomnieć, przyczyną mogą być również uwarunkowania medyczne, takie jak fluoroza (nadmiar fluoru) czy refluks żołądkowo-przełykowy, który wpływa na środowisko jamy ustnej.
Kiedy brązowa plamka to coś więcej niż osad? Jak odróżnić przebarwienie od próchnicy
Bardzo często pacjenci martwią się, że brązowa plamka na zębie to już próchnica. To słuszna obawa! Kluczowe jest rozróżnienie tych dwóch problemów. Brązowy osad to jedynie przebarwienie powierzchniowe, które osadza się na szkliwie i nie niszczy jego struktury. Próchnica natomiast to choroba bakteryjna, która prowadzi do demineralizacji i stopniowego niszczenia tkanki zęba, tworząc ubytek. Początkowa próchnica może wyglądać jak biała, matowa plamka, która z czasem ciemnieje. Jeśli masz wątpliwości, zawsze konieczna jest konsultacja ze stomatologiem. Tylko profesjonalista jest w stanie prawidłowo zdiagnozować problem i podjąć odpowiednie leczenie.
Domowe sposoby na brązowy osad co naprawdę działa?
Zanim zdecydujesz się na wizytę u dentysty, istnieje wiele domowych metod, które mogą pomóc w walce z brązowym osadem. Pamiętaj jednak, że ich skuteczność zależy od regularności stosowania i stopnia zaawansowania przebarwień. Są one świetnym uzupełnieniem profesjonalnych zabiegów, ale mają swoje ograniczenia.
Arsenał w Twojej łazience: Jak wybrać pastę, która skutecznie usunie przebarwienia?
Wybór odpowiedniej pasty do zębów to podstawa. Na rynku znajdziesz wiele rodzajów, które mogą pomóc w usuwaniu brązowego osadu. Są to przede wszystkim pasty wybielające, pasty dla palaczy, a także te zawierające składniki takie jak węgiel aktywny, soda oczyszczona, enzymy (papaina, bromelaina) czy mikrogranulki polerujące. Zwróć uwagę na współczynnik ścieralności (RDA) im wyższy, tym pasta jest bardziej ścierna. Pasty o wysokim RDA są skuteczne, ale przy nadmiernym lub nieprawidłowym stosowaniu mogą uszkodzić szkliwo. Zawsze doradzam, aby wybierać pasty o umiarkowanej ścieralności do codziennego użytku.
Szczoteczka soniczna kontra manualna: która technologia lepiej poradzi sobie z osadem?
Technologia szczotkowania ma ogromne znaczenie. Bez wątpienia szczoteczki soniczne i elektryczne są znacznie skuteczniejsze w usuwaniu osadów niż szczoteczki manualne. Ich ruchy o wysokiej częstotliwości lub rotacyjno-pulsacyjne lepiej rozbijają płytkę bakteryjną i usuwają przebarwienia, docierając do trudno dostępnych miejsc. Inwestycja w dobrą szczoteczkę to inwestycja w zdrowy i biały uśmiech.
Siła regularności: Dlaczego nić dentystyczna i irygator są kluczowe w walce z nalotem?
Nawet najlepsza szczoteczka nie dotrze wszędzie. Brązowy osad często gromadzi się w przestrzeniach międzyzębowych, gdzie szczoteczka ma ograniczony dostęp. Dlatego regularne używanie nici dentystycznej i irygatora jest absolutnie niezbędne. Nić usuwa resztki jedzenia i płytkę bakteryjną spomiędzy zębów, a irygator, dzięki strumieniowi wody, doskonale wypłukuje osady i masuje dziąsła. To duet, który zapewni kompleksowe czyszczenie i pomoże zapobiegać gromadzeniu się osadu.
Proste triki, wielka różnica: Jak minimalizować powstawanie osadu na co dzień?
- Płucz usta wodą: Bezpośrednio po spożyciu kawy, herbaty, wina czy innych barwiących produktów, przepłucz usta czystą wodą. Ograniczy to czas kontaktu barwników ze szkliwem.
- Używaj słomki: Pijąc barwiące napoje przez słomkę, minimalizujesz ich kontakt z przednimi zębami.
- Żuj gumę bez cukru: Żucie gumy stymuluje wydzielanie śliny, która naturalnie oczyszcza zęby i neutralizuje kwasy.
- Jedz chrupiące warzywa i owoce: Jabłka, marchewki czy seler działają jak naturalne szczoteczki, pomagając w mechanicznym usuwaniu osadu.
Gdy domowe metody zawodzą: Profesjonalne usuwanie osadu u dentysty

Skaling: Czym jest i dlaczego to pierwszy krok do czystych zębów?
Skaling to podstawowy zabieg higienizacyjny, który polega na usunięciu twardego kamienia nazębnego. Kamień powstaje, gdy płytka bakteryjna nie jest regularnie usuwana i ulega mineralizacji. Początkowo jest żółtawy, ale z czasem pod wpływem barwników ciemnieje, stając się brązowy. Stomatolog używa do tego celu specjalnych narzędzi ultradźwiękowych (skaler) lub ręcznych. Skaling jest kluczowy nie tylko dla estetyki, ale przede wszystkim dla zdrowia dziąseł i całej jamy ustnej, ponieważ kamień nazębny jest siedliskiem bakterii.
Piaskowanie zębów: Jak działa "myjka ciśnieniowa" dla Twojego uśmiechu?
Po skalingu często wykonuje się piaskowanie. Wyobraź sobie "myjkę ciśnieniową" dla Twoich zębów to właśnie tak działa piaskowanie! Zabieg polega na usunięciu osadów i drobnych przebarwień za pomocą strumienia wody, powietrza i drobnego proszku (piasku dentystycznego). Dzięki temu docieramy do trudno dostępnych miejsc, takich jak bruzdy czy przestrzenie międzyzębowe, a także skutecznie usuwamy przebarwienia po kawie, herbacie czy papierosach. Dodatkowo piaskowanie wygładza powierzchnię zębów, co utrudnia ponowne osadzanie się nalotu.
Pełna higienizacja krok po kroku: Czego możesz spodziewać się na wizycie i jakie są koszty?
Standardowy pakiet higienizacyjny w gabinecie stomatologicznym zazwyczaj obejmuje trzy etapy:
- Skaling: Usunięcie kamienia nazębnego.
- Piaskowanie: Usunięcie osadów i przebarwień.
- Polerowanie: Wygładzenie powierzchni zębów specjalną pastą polerską, co dodatkowo je zabezpiecza i nadaje blask.
Czasami w pakiecie znajduje się również fluoryzacja, która wzmacnia szkliwo. Jeśli chodzi o koszty, w Polsce cena pakietu higienizacyjnego (skaling + piaskowanie) zazwyczaj waha się od 300 do 550 zł. Warto pamiętać, że ceny mogą się różnić w zależności od miasta, renomy kliniki i indywidualnych potrzeb pacjenta.
Czy zabiegi są bolesne i jak często należy je powtarzać, by utrzymać efekt?
To jedno z najczęstszych pytań, jakie słyszę od pacjentów. Zazwyczaj zabiegi skalingu i piaskowania są bezbolesne. Niektórzy pacjenci mogą odczuwać jedynie lekki dyskomfort lub wrażliwość, szczególnie w przypadku wrażliwych zębów lub mocno zapalonych dziąseł. W razie potrzeby można zastosować znieczulenie miejscowe. Aby utrzymać efekt czystych i zdrowych zębów, zalecam powtarzanie pełnej higienizacji raz na 6-12 miesięcy. Częstotliwość zależy od indywidualnych predyspozycji do odkładania się kamienia i osadu oraz od nawyków higienicznych i dietetycznych.
Brązowy osad na zębach u dziecka co powinien wiedzieć rodzic?

Brązowy osad na zębach u dziecka to zjawisko, które może budzić niepokój u rodziców. Ważne jest, aby pamiętać, że przyczyny tego problemu u najmłodszych mogą być nieco inne niż u dorosłych i wymagają specjalnego podejścia. Jako stomatolog dziecięcy często spotykam się z tym problemem i wiem, że odpowiednia wiedza jest kluczowa.
Słodkie napoje, leki, a może nadmiar fluoru? Specyficzne przyczyny problemu u najmłodszych
- Niedostateczna higiena i dieta: Podobnie jak u dorosłych, nadmierne spożycie słodyczy i słodkich napojów, w połączeniu z niewystarczającą higieną, sprzyja gromadzeniu się płytki bakteryjnej i osadów.
- Preparaty żelaza: Dzieciom często podaje się preparaty żelaza, które mogą powodować ciemne, brązowe przebarwienia na zębach.
- Antybiotyki: Stosowanie antybiotyków z grupy tetracyklin przez matkę w ciąży lub przez dziecko w pierwszych latach życia może prowadzić do trwałych przebarwień zębów mlecznych i stałych.
- Fluoroza: Nadmierne spożycie fluoru (np. z pasty do zębów, wody pitnej) w okresie rozwoju zębów może objawiać się brązowymi plamami na szkliwie.
- Czarny osad bakteryjny (osad Prinsa): To specyficzny rodzaj osadu, który ma ciemnobrązowy lub czarny kolor i jest wynikiem działania specyficznych bakterii w jamie ustnej. Często występuje u dzieci i mimo intensywnego koloru, nie jest związany z próchnicą, ale jego usunięcie wymaga profesjonalnego czyszczenia.
Jak bezpiecznie dbać o zęby dziecka i kiedy konieczna jest wizyta u stomatologa dziecięcego?
Kluczem do zdrowych zębów u dziecka jest regularna i prawidłowa higiena jamy ustnej od najmłodszych lat. Używaj pasty z fluorem w odpowiedniej ilości (dla dzieci do 6. roku życia ilość ziarnka ryżu, powyżej ziarnka groszku) i ucz dziecko prawidłowej techniki szczotkowania. Ogranicz słodkie napoje i przekąski. Jeśli zauważysz brązowy osad na zębach dziecka, zawsze zalecam wizytę u stomatologa dziecięcego. Specjalista oceni przyczynę, wykluczy próchnicę i w razie potrzeby bezpiecznie usunie osad, a także doradzi w kwestii dalszej profilaktyki. Nie próbuj usuwać osadu na własną rękę, aby nie uszkodzić delikatnego szkliwa dziecka.
Zapobieganie jest lepsze niż leczenie: Jak zachować biel zębów?
Jak to mówią, lepiej zapobiegać niż leczyć! Ta zasada doskonale sprawdza się w przypadku brązowego osadu na zębach. Utrzymanie białego i zdrowego uśmiechu to nie tylko kwestia jednorazowych zabiegów, ale przede wszystkim konsekwentnej profilaktyki i codziennych nawyków. Pozwól, że przedstawię Ci mój sprawdzony plan działania.
Biała dieta po higienizacji co jeść, a czego unikać, by efekt utrzymał się dłużej?
Po profesjonalnej higienizacji zęby są szczególnie podatne na ponowne przebarwienia, ponieważ ich powierzchnia jest idealnie czysta i chłonna. Dlatego przez minimum 48 godzin po zabiegu zalecam stosowanie tzw. "białej diety":
- Unikaj: Kawy, herbaty (czarnej, zielonej, czerwonej), czerwonego wina, coli, soków owocowych (zwłaszcza ciemnych), ciemnych owoców (jagody, wiśnie, borówki), buraków, curry, sosu sojowego, czekolady, czerwonego mięsa, papryki, pomidorów, sztucznych barwników w słodyczach i napojach. Bezwzględnie zrezygnuj z palenia tytoniu.
- Jedz bezpiecznie: Woda, mleko, jogurt naturalny, białe pieczywo, ryż, makaron, ziemniaki, białe mięso (drób, ryby), białe sery, banany, kalafior, ziemniaki.
W dłuższej perspektywie, ograniczenie spożycia barwiących produktów i szybkie płukanie ust po ich spożyciu to klucz do utrzymania efektu czystych zębów.
Tworzenie skutecznej rutyny pielęgnacyjnej kompletny plan dla zdrowego uśmiechu
Skuteczna rutyna pielęgnacyjna to podstawa. Oto mój kompletny plan:
- Szczotkowanie zębów 2-3 razy dziennie: Używaj szczoteczki sonicznej lub elektrycznej. Szczotkuj zęby przez minimum 2 minuty, stosując prawidłową technikę, aby usunąć płytkę nazębną i resztki jedzenia.
- Używanie nici dentystycznej codziennie: Przynajmniej raz dziennie dokładnie wyczyść przestrzenie międzyzębowe nicią dentystyczną. To kluczowe dla usunięcia osadów z miejsc, do których szczoteczka nie dociera.
- Irygator stomatologiczny: Jeśli masz tendencję do gromadzenia się osadu lub nosisz aparat ortodontyczny, irygator będzie doskonałym uzupełnieniem, wypłukując resztki jedzenia i masując dziąsła.
- Płukanki do ust: Stosuj płukanki bez chlorheksydyny, które wspomagają higienę jamy ustnej, odświeżają oddech i działają antybakteryjnie. Unikaj tych z barwnikami.
- Pamiętaj o języku: Czyść język specjalną skrobaczką lub szczoteczką, aby usunąć bakterie i poprawić świeżość oddechu.
Przeczytaj również: Ile kanałów ma dolna szóstka? Klucz do skutecznego leczenia.
Rola regularnych kontroli stomatologicznych w zapobieganiu nawrotom osadu
Nawet najbardziej sumienna higiena domowa nie zastąpi profesjonalnej opieki. Regularne wizyty kontrolne u stomatologa, najlepiej raz na 6-12 miesięcy, są absolutnie kluczowe w zapobieganiu nawrotom osadu i kamienia nazębnego. Podczas takiej wizyty dentysta nie tylko oceni stan Twojej jamy ustnej, ale również wcześnie wykryje i usunie wszelkie nagromadzone osady, zanim staną się problemem. To inwestycja w długotrwałe zdrowie i piękny uśmiech, którą zawsze gorąco polecam każdemu mojemu pacjentowi.
