Opuchnięte dziąsła poznaj przyczyny, domowe sposoby i sygnały alarmowe, by skutecznie działać
- Najczęstszą przyczyną opuchlizny dziąseł jest zapalenie wynikające z niewłaściwej higieny jamy ustnej i nagromadzenia płytki bakteryjnej.
- Wiele domowych metod, takich jak płukanki ziołowe (szałwia, rumianek) czy roztwór soli, może przynieść szybką ulgę w łagodzeniu bólu i obrzęku.
- Opuchlizna dziąseł może być objawem poważniejszych problemów, takich jak paradontoza, ropień zęba, infekcje lub wyrzynające się zęby mądrości.
- Należy pilnie skonsultować się ze stomatologiem, jeśli opuchlizna utrzymuje się dłużej niż tydzień, towarzyszy jej silny ból, gorączka, ropna wydzielina lub ruchomość zębów.
- Profesjonalne leczenie w gabinecie stomatologicznym obejmuje skaling, piaskowanie, a w zaawansowanych przypadkach kiretaż, leczenie kanałowe lub antybiotykoterapię.
Opuchnięte dziąsła? Zrozum, co się dzieje w Twojej jamie ustnej
Jak rozpoznać problem? Pierwsze sygnały, których nie wolno ignorować
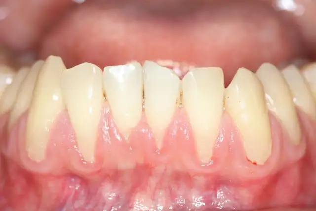
Opuchnięte dziąsła często dają o sobie znać w bardzo wyraźny sposób. Zazwyczaj zauważamy, że dziąsła stają się czerwone, błyszczące i wyraźnie powiększone, co jest szczególnie widoczne wokół szyjek zębowych. Często towarzyszy temu ból, który może być pulsujący lub nasilać się podczas jedzenia czy szczotkowania. Niepokojącym sygnałem jest również krwawienie dziąseł, nawet przy delikatnym dotyku, a także ich tkliwość. Czasami pojawia się również nieprzyjemny zapach z ust, co wskazuje na aktywność bakterii.Zdrowe a chore dziąsło kluczowe różnice w wyglądzie i odczuciach
Rozróżnienie zdrowych dziąseł od tych objętych stanem zapalnym jest kluczowe dla wczesnego wykrycia problemu. Zdrowe dziąsła są zazwyczaj jasnoróżowe, jędrne i ściśle przylegają do zębów, nie krwawią podczas szczotkowania ani nitkowania. Kiedy jednak pojawia się stan zapalny, obraz zmienia się diametralnie. Oto kluczowe różnice:- Kolor: Zdrowe dziąsła są jasnoróżowe, chore czerwone lub ciemnoczerwone.
- Konsystencja: Zdrowe dziąsła są jędrne i zwarte, chore miękkie, gąbczaste i obrzęknięte.
- Krwawienie: Zdrowe dziąsła nie krwawią, chore krwawią łatwo, nawet przy delikatnym dotyku.
- Ból: Zdrowe dziąsła są bezbolesne, chore często bolesne i tkliwe.
- Przyleganie do zębów: Zdrowe dziąsła ściśle przylegają do zębów, chore mogą być od nich odseparowane, tworząc tzw. kieszonki.
Dlaczego dziąsła puchną najczęstsze przyczyny problemu
Niewłaściwa higiena jak płytka nazębna prowadzi do stanu zapalnego?
Z mojego doświadczenia wynika, że najczęstszą przyczyną opuchniętych dziąseł jest niewłaściwa higiena jamy ustnej. Kiedy nie szczotkujemy zębów regularnie i dokładnie, na ich powierzchni, a także wzdłuż linii dziąseł, gromadzi się płytka bakteryjna. Jest to lepki nalot pełen bakterii, które produkują toksyny. Te toksyny podrażniają dziąsła, prowadząc do stanu zapalnego, czyli zapalenia dziąseł (gingivitis). Jeśli płytka bakteryjna nie zostanie usunięta, z czasem twardnieje, tworząc kamień nazębny, który jest jeszcze trudniejszy do usunięcia domowymi metodami i dodatkowo nasila podrażnienie.Paradontoza i ropień kiedy opuchlizna jest objawem poważniejszej choroby?
Opuchlizna dziąseł może być również sygnałem znacznie poważniejszych problemów. Jednym z nich jest paradontoza, czyli zaawansowana forma zapalenia dziąseł. W paradontozie stan zapalny rozprzestrzenia się głębiej, atakując tkanki podtrzymujące zęby, w tym kość. Nieleczona paradontoza prowadzi do recesji dziąseł, powstawania głębokich kieszonek dziąsłowych, a w konsekwencji do ruchomości, a nawet utraty zębów. Innym poważnym problemem jest ropień zęba lub dziąsła. Ropień to nagromadzenie ropy spowodowane infekcją bakteryjną, często wynikającą z nieleczonej próchnicy, urazu lub zaawansowanego zapalenia przyzębia. Objawia się silnym, pulsującym bólem, znaczną opuchlizną (często obejmującą policzek), a czasem gorączką i ogólnym złym samopoczuciem. W takich przypadkach domowe sposoby nie wystarczą i konieczna jest pilna interwencja stomatologiczna.Wpływ hormonów opuchnięte dziąsła w ciąży, podczas miesiączki i dojrzewania
Zmiany hormonalne mają znaczący wpływ na zdrowie dziąseł, szczególnie u kobiet. W okresie ciąży, ze względu na podwyższony poziom progesteronu i estrogenów, dziąsła stają się bardziej wrażliwe na działanie płytki bakteryjnej. To zjawisko, znane jako ciążowe zapalenie dziąseł, objawia się opuchlizną, zaczerwienieniem i krwawieniem. Podobne, choć zazwyczaj mniej nasilone, objawy mogą występować podczas miesiączki oraz w okresie dojrzewania, kiedy to organizm przechodzi intensywne zmiany hormonalne.Urazy mechaniczne: od zbyt mocnego szczotkowania po źle dopasowaną protezę
Dziąsła są delikatnymi tkankami, które łatwo ulegają urazom mechanicznym, prowadzącym do opuchlizny i bólu.- Zbyt mocne szczotkowanie: Agresywne szorowanie zębów twardą szczoteczką może podrażnić i uszkodzić dziąsła.
- Aparat ortodontyczny: Nowo założony lub źle dopasowany aparat może ocierać o dziąsła, powodując podrażnienia.
- Źle dopasowana proteza: Ruchoma lub niedopasowana proteza zębowa może uciskać i ranić dziąsła.
- Resztki jedzenia: Kawałki jedzenia, które utknęły między zębami lub pod dziąsłem, mogą powodować miejscowe podrażnienie i stan zapalny.
- Urazy: Uderzenia, skaleczenia czy oparzenia również mogą prowadzić do opuchlizny.
Problem z ósemką dlaczego wyrzynające się zęby mądrości powodują ból i obrzęk?
Wyrzynające się zęby mądrości, czyli popularne ósemki, są bardzo częstą przyczyną opuchlizny i bólu dziąseł, szczególnie u młodych dorosłych. Dzieje się tak, ponieważ często brakuje dla nich miejsca w łuku zębowym, co prowadzi do ich częściowego wyrzynania się lub uwięzienia pod dziąsłem. Tworzy się wówczas tzw. kaptur dziąsłowy, pod którym gromadzą się resztki jedzenia i bakterie, prowadząc do stanu zapalnego (pericoronitis). Obszar ten jest trudny do wyczyszczenia, co sprzyja infekcjom i nasila obrzęk oraz ból.Inne czynniki: niedobory witamin, alergie i skutki uboczne leków
Warto pamiętać, że opuchnięte dziąsła mogą mieć również inne, mniej oczywiste przyczyny.- Niedobory witamin: Szczególnie niedobór witaminy C (szkorbut) oraz witamin z grupy B może osłabiać dziąsła i czynić je bardziej podatnymi na stany zapalne.
- Reakcje alergiczne: Niektóre osoby mogą reagować alergicznie na składniki past do zębów, płynów do płukania ust, a nawet na pewne pokarmy, co objawia się opuchlizną i zaczerwienieniem dziąseł.
- Skutki uboczne leków: Istnieje grupa leków (np. niektóre leki na padaczkę, nadciśnienie, immunosupresyjne), które mogą powodować przerost dziąseł, co sprzyja stanom zapalnym.
- Infekcje wirusowe i grzybicze: Rzadziej, ale opuchlizna może być objawem infekcji, takich jak opryszczka czy pleśniawki w jamie ustnej.
Domowe sposoby na opuchnięte dziąsła szybka ulga w zasięgu ręki
Kiedy dziąsła zaczynają boleć i puchnąć, naturalne jest, że szukamy szybkiej ulgi. Na szczęście istnieje wiele sprawdzonych domowych sposobów, które mogą przynieść ukojenie, zanim udamy się do dentysty. Pamiętaj jednak, że są to metody tymczasowe i nie zastąpią profesjonalnej diagnostyki i leczenia.Ziołowe płukanki, które naprawdę działają: szałwia i rumianek w akcji
Ziołowe płukanki to moi ulubieńcy, jeśli chodzi o domowe sposoby na opuchnięte dziąsła. Szałwia i rumianek są znane ze swoich właściwości antyseptycznych, przeciwzapalnych i ściągających. Pomagają zmniejszyć obrzęk, ukoić ból i wspomóc gojenie. Oto jak je przygotować:- Do szklanki wsyp jedną łyżeczkę suszonych liści szałwii lub kwiatów rumianku (możesz użyć również torebek ekspresowych).
- Zalej zioła gorącą, ale nie wrzącą wodą.
- Przykryj szklankę i pozostaw do zaparzenia na około 10-15 minut.
- Po ostygnięciu naparu do temperatury pokojowej, odcedź go.
- Płucz jamę ustną naparem 2-3 razy dziennie przez około 30 sekund.
Roztwór soli i wody utlenionej prosty i skuteczny sposób na odkażenie
Płukanki z soli kuchennej to klasyka, która sprawdza się doskonale w przypadku stanów zapalnych dziąseł. Sól działa odkażająco i pomaga zmniejszyć obrzęk, wyciągając nadmiar płynu z tkanek. Wystarczy rozpuścić pół łyżeczki soli w szklance ciepłej wody i płukać usta kilka razy dziennie. Woda utleniona (3%) również może być pomocna ze względu na swoje właściwości antybakteryjne. Pamiętaj jednak, aby zawsze ją rozcieńczać! Wymieszaj wodę utlenioną z wodą w proporcji 1:1 (np. pół szklanki wody utlenionej i pół szklanki wody). Płucz usta przez około 30 sekund, a następnie wypluj. Nie połykaj roztworu. Stosuj nie częściej niż raz dziennie i nie dłużej niż kilka dni, aby uniknąć podrażnień.Zimne okłady i olejki jak złagodzić ból i zmniejszyć obrzęk?
Kiedy ból i opuchlizna są dokuczliwe, warto sięgnąć po proste, fizyczne metody.- Zimne okłady: Przykładanie chłodnego kompresu (np. owiniętej w ściereczkę kostki lodu lub żelowego okładu) na policzek w okolicy opuchniętego dziąsła może znacząco zredukować ból i zmniejszyć obrzęk. Stosuj przez 15-20 minut, z przerwami.
- Olejek goździkowy: Jest znany ze swoich właściwości znieczulających i antyseptycznych. Możesz delikatnie wmasować odrobinę olejku (rozcieńczonego z olejem bazowym, np. kokosowym) w bolące dziąsło lub nałożyć go na wacik i przyłożyć do zmienionego miejsca.
- Żel aloesowy: Aloes ma właściwości łagodzące i wspomagające gojenie. Czysty żel aloesowy można delikatnie wmasować w opuchnięte dziąsła.
Czego unikać, gdy dziąsła są opuchnięte? Produkty i nawyki, które nasilają problem
W okresie, gdy dziąsła są opuchnięte i wrażliwe, kluczowe jest unikanie czynników, które mogą nasilać problem.- Twarde, ostre pokarmy: Mogą podrażniać i ranić delikatne dziąsła. Wybieraj miękkie, łatwe do przeżuwania potrawy.
- Bardzo gorące lub bardzo zimne napoje i potrawy: Ekstremalne temperatury mogą zwiększać wrażliwość i ból.
- Alkohol: Wysusza błony śluzowe i może podrażniać dziąsła, opóźniając gojenie.
- Palenie tytoniu: Jest jednym z największych wrogów zdrowia jamy ustnej. Osłabia dziąsła, zmniejsza ich ukrwienie i utrudnia gojenie, znacząco nasilając stany zapalne.
- Zbyt agresywne szczotkowanie: Mimo bólu, nie rezygnuj ze szczotkowania, ale używaj miękkiej szczoteczki i delikatnych ruchów, aby nie podrażniać dziąseł jeszcze bardziej.
Kiedy domowe metody to za mało sygnały alarmowe, które muszą skierować Cię do dentysty
Chociaż domowe sposoby mogą przynieść ulgę, niezwykle ważne jest, aby wiedzieć, kiedy problem jest na tyle poważny, że wymaga natychmiastowej interwencji stomatologa. Ignorowanie tych sygnałów może prowadzić do poważnych konsekwencji dla zdrowia jamy ustnej, a nawet całego organizmu.Silny ból, gorączka i opuchlizna policzka objawy wymagające natychmiastowej reakcji
Jeśli opuchliźnie dziąseł towarzyszą takie objawy jak silny, pulsujący ból, który nie ustępuje po lekach przeciwbólowych, gorączka, złe samopoczucie, a zwłaszcza obrzęk policzka lub powiększone węzły chłonne, nie ma na co czekać. To są klasyczne sygnały, które mogą świadczyć o rozwijającej się, poważnej infekcji, takiej jak ropień zęba lub dziąsła. Taka sytuacja wymaga natychmiastowej konsultacji ze stomatologiem, ponieważ infekcja może szybko się rozprzestrzeniać.Obrzęk, który nie ustępuje po ilu dniach należy umówić wizytę?
Jeśli stosujesz domowe metody, a opuchlizna dziąseł utrzymuje się dłużej niż tydzień i nie zauważasz poprawy, to jest to wyraźny sygnał, że należy umówić wizytę u stomatologa. Długotrwały obrzęk, nawet jeśli nie towarzyszy mu silny ból, może wskazywać na ukryty problem, który wymaga profesjonalnej diagnozy i leczenia. Nie ma sensu zwlekać i narażać się na pogorszenie stanu.Ruchomość zębów i cofanie się dziąseł co to oznacza dla Twojego zdrowia?
Niestety, niektóre objawy wskazują na bardzo zaawansowane problemy. Jeśli zauważysz, że Twoje zęby stają się ruchome, a dziąsła zaczynają się cofać (recesja dziąseł), odsłaniając szyjki zębowe, to są to bardzo poważne sygnały. Mogą one świadczyć o zaawansowanej chorobie przyzębia, czyli paradontozie, która prowadzi do utraty kości podtrzymującej zęby. Dodatkowo, jeśli z dziąseł pojawia się ropna wydzielina, to również jest to alarmujący objaw infekcji, wymagający pilnej interwencji specjalisty. W takich przypadkach liczy się każda chwila.Jak dentysta leczy opuchnięte dziąsła przegląd profesjonalnych metod
Kiedy domowe sposoby okazują się niewystarczające, a objawy utrzymują się lub nasilają, profesjonalna pomoc stomatologa staje się niezbędna. Stomatolog, po dokładnej diagnostyce, zaproponuje odpowiednie metody leczenia, które skutecznie wyeliminują przyczynę opuchlizny dziąseł.Skaling i piaskowanie fundament zdrowych dziąseł
W większości przypadków, gdy przyczyną opuchlizny dziąseł jest płytka i kamień nazębny, podstawą leczenia są zabiegi higienizacyjne.- Skaling: To profesjonalne usuwanie kamienia nazębnego, zarówno naddziąsłowego, jak i poddziąsłowego, przy użyciu ultradźwięków. Kamień nazębny jest twardym osadem, którego nie da się usunąć szczoteczką, a jego obecność jest głównym czynnikiem podtrzymującym stan zapalny dziąseł.
- Piaskowanie: Uzupełnia skaling, usuwając osady i przebarwienia z powierzchni zębów za pomocą strumienia wody, powietrza i drobnego proszku. Pozostawia zęby gładkie, co utrudnia ponowne osadzanie się płytki bakteryjnej.
Głębokie czyszczenie, leczenie kanałowe i antybiotyki co stosuje się w zaawansowanych przypadkach?
W bardziej zaawansowanych przypadkach, gdy problem jest głębszy lub infekcja jest silna, stomatolog może zastosować inne, bardziej inwazyjne metody leczenia.- Kiretaż: W przypadku zaawansowanej paradontozy i głębokich kieszonek dziąsłowych, konieczne może być wykonanie kiretażu. Jest to zabieg polegający na głębokim oczyszczeniu kieszonek z kamienia poddziąsłowego, ziarniny zapalnej i zainfekowanych tkanek, co ma na celu zmniejszenie stanu zapalnego i regenerację tkanek przyzębia.
- Leczenie kanałowe: Jeśli przyczyną opuchlizny jest infekcja miazgi zęba (np. w wyniku zaawansowanej próchnicy), konieczne będzie leczenie kanałowe. Polega ono na usunięciu zainfekowanej miazgi z kanałów korzeniowych, ich dokładnym oczyszczeniu i wypełnieniu.
- Antybiotykoterapia: W przypadku rozległych infekcji bakteryjnych, ropni lub gdy istnieje ryzyko rozprzestrzenienia się zakażenia, stomatolog może przepisać antybiotyki, które wspomogą zwalczanie bakterii.
- Drenaż ropnia: Jeśli opuchlizna jest spowodowana ropniem, konieczne jest jego nacięcie i drenaż, aby usunąć zgromadzoną ropę i zmniejszyć ciśnienie, co przynosi natychmiastową ulgę w bólu.
Przeczytaj również: Czym płukać dziąsła? Szybka ulga i sprawdzone metody na zapalenie
Lepiej zapobiegać niż leczyć jak skutecznie dbać o dziąsła na co dzień?
Jako ekspertka w dziedzinie zdrowia jamy ustnej zawsze podkreślam, że profilaktyka jest kluczem. Zapobieganie opuchliźnie dziąseł jest znacznie łatwiejsze i przyjemniejsze niż ich leczenie. Właściwa codzienna higiena i regularne wizyty u stomatologa to fundament zdrowych i mocnych dziąseł.Prawidłowa technika szczotkowania i nitkowania klucz do usunięcia płytki nazębnej
Podstawą dbania o dziąsła jest prawidłowa higiena jamy ustnej. To nie tylko kwestia regularności, ale przede wszystkim techniki.- Szczotkowanie: Używaj miękkiej szczoteczki do zębów i szczotkuj je przynajmniej dwa razy dziennie przez dwie minuty. Skup się na delikatnych, wymiatających ruchach, kierując włosie szczoteczki pod kątem 45 stopni w stronę dziąseł, aby skutecznie usunąć płytkę bakteryjną z linii dziąseł. Unikaj zbyt mocnego szorowania, które może podrażnić dziąsła.
- Nitkowanie: Codzienne nitkowanie zębów jest absolutnie kluczowe. Nić dentystyczna dociera do przestrzeni międzyzębowych, gdzie szczoteczka nie jest w stanie usunąć resztek jedzenia i płytki bakteryjnej. To właśnie te miejsca są często źródłem stanów zapalnych dziąseł.
- Płyny do płukania ust: Dodatkowo, możesz stosować antyseptyczne płyny do płukania ust, które wspomagają walkę z bakteriami, ale pamiętaj, że nie zastąpią one szczotkowania i nitkowania.
Rola diety i regularnych wizyt kontrolnych w profilaktyce chorób dziąseł
Oprócz codziennej higieny, istnieją inne ważne elementy profilaktyki.- Dieta: Zbilansowana dieta, bogata w witaminy i minerały, odgrywa istotną rolę w utrzymaniu zdrowych dziąseł. Szczególnie ważna jest witamina C, która wspiera produkcję kolagenu i wzmacnia naczynia krwionośne w dziąsłach. Ogranicz spożycie cukrów i przetworzonej żywności, które sprzyjają rozwojowi bakterii.
- Regularne wizyty kontrolne: Odwiedzaj stomatologa przynajmniej raz na 6-12 miesięcy, nawet jeśli nie odczuwasz żadnych dolegliwości. Podczas wizyty kontrolnej dentysta oceni stan Twoich dziąseł i zębów, a także wykona profesjonalne zabiegi higienizacyjne, takie jak skaling i piaskowanie, które są niezbędne do usunięcia kamienia nazębnego. Wczesne wykrycie problemów pozwala na szybką i skuteczną interwencję, zanim rozwiną się poważniejsze choroby.
