Rak jamy ustnej to podstępny przeciwnik, który, choć często daje o sobie znać wcześnie, bywa niestety bagatelizowany. Wczesne rozpoznanie jego objawów jest absolutnie kluczowe dla skuteczności leczenia i ratowania życia. W tym artykule, jako Zofia Baranowska, pragnę podzielić się z Państwem moją wiedzą i doświadczeniem, aby pomóc w ocenie własnego stanu zdrowia i zrozumieniu, kiedy należy szukać pomocy medycznej.
Wczesne objawy raka jamy ustnej: dlaczego ich znajomość ratuje życie?
- Rak jamy ustnej stanowi około 5% wszystkich nowotworów złośliwych w Polsce, z rosnącą liczbą zachorowań (ponad 3500 rocznie).
- Kluczowym problemem jest późna wykrywalność ponad 60% przypadków diagnozuje się w zaawansowanym stadium, co znacząco pogarsza rokowania.
- Główne czynniki ryzyka to palenie tytoniu, nadużywanie alkoholu (odpowiadają za około 75% przypadków) oraz zakażenie wirusem HPV.
- Najczęstsze objawy to niegojące się owrzodzenia, białe lub czerwone plamy, guzy, ból, trudności w przełykaniu, drętwienie lub mrowienie, zmiana głosu i powiększone węzły chłonne.
- Wczesne zmiany często są bezbolesne, co może uśpić czujność pacjentów.
- W przypadku niepokojących objawów należy skonsultować się z lekarzem rodzinnym, stomatologiem lub laryngologiem; ostateczna diagnoza opiera się na biopsji.
Nasza jama ustna to znacznie więcej niż tylko miejsce do jedzenia czy mówienia. To prawdziwe lustro zdrowia całego organizmu, które często wysyła nam subtelne, a czasem bardzo wyraźne sygnały o tym, co dzieje się w środku. Ignorowanie tych sygnałów, zwłaszcza tych uporczywych i nietypowych, może mieć bardzo poważne konsekwencje. Dlatego tak ważne jest, abyśmy nauczyli się je rozpoznawać i odpowiednio na nie reagować.
W Polsce nowotwory jamy ustnej stanowią około 5% wszystkich nowotworów złośliwych. Rocznie diagnozuje się ponad 3500 nowych przypadków, a co gorsza, obserwujemy stały wzrost zachorowań, szczególnie w grupie wiekowej 50-70 lat. Najbardziej niepokojące jest to, że ponad 60% przypadków diagnozuje się w zaawansowanym stadium (III i IV). To dramatycznie pogarsza rokowania pięcioletnie przeżycia w Polsce wynoszą średnio poniżej 50%, podczas gdy w krajach Europy Zachodniej przekraczają 65%. Ta różnica wynika przede wszystkim z niedostatecznej świadomości społecznej i zbyt późnej diagnostyki. Wierzę, że możemy to zmienić.

Wczesne wykrycie raka jamy ustnej jest absolutnie kluczowe dla skuteczności leczenia i poprawy rokowań. Kiedy nowotwór jest zdiagnozowany w początkowym stadium, szanse na całkowite wyleczenie są znacznie większe, a leczenie mniej inwazyjne. Dlatego tak gorąco zachęcam do regularnego samobadania jamy ustnej. To proste, ale ratujące życie narzędzie, które każdy z nas może stosować w domu, poświęcając zaledwie kilka minut miesięcznie.
Przejdźmy teraz do konkretnych objawów. Chcę Państwu przedstawić te najczęściej występujące, które powinny wzbudzić naszą czujność i skłonić do wizyty u specjalisty. Pamiętajmy, że szybka reakcja to nasz największy sprzymierzeniec.
Jednym z najbardziej typowych i zarazem niepokojących objawów jest niegojące się owrzodzenie lub ranka w jamie ustnej. Jeśli zauważą Państwo jakąkolwiek zmianę, która utrzymuje się dłużej niż 2-3 tygodnie i nie reaguje na domowe sposoby leczenia, to jest to sygnał alarmowy. Nie należy tego bagatelizować, nawet jeśli nie boli. Ból często pojawia się dopiero w bardziej zaawansowanych stadiach.
Kolejne ważne objawy to białe plamy (leukoplakia) lub czerwone plamy (erytroplakia) na języku, policzkach czy dnie jamy ustnej. Leukoplakia to zazwyczaj biała, szorstka zmiana, a erytroplakia to intensywnie czerwona, często aksamitna plama. Obie te zmiany są uważane za zmiany przednowotworowe i wymagają pilnej diagnostyki. Nie zawsze oznaczają raka, ale ich potencjał do transformacji złośliwej jest na tyle duży, że nie można ich ignorować.
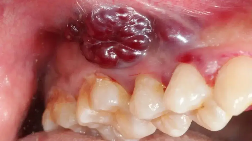
Zwróćmy także uwagę na guz lub zgrubienie w obrębie jamy ustnej na języku, wardze, dziąśle czy policzku. Może być twardy, miękki, ruchomy lub unieruchomiony. Choć nie każdy guzek jest złośliwy, każdy wymaga oceny lekarskiej. Pamiętam pacjentkę, która przez miesiące ignorowała małe zgrubienie na języku, myśląc, że to afta. Okazało się, że był to wczesny rak.
Uporczywy ból gardła, trudności lub ból przy połykaniu (dysfagia) oraz uczucie ciała obcego w gardle to objawy, które często mylimy z infekcjami czy aftami. Kluczowa jest tu ich uporczywość jeśli utrzymują się dłużej niż 2-3 tygodnie i nie ustępują po standardowym leczeniu, powinny wzbudzić nasz niepokój. W odróżnieniu od aft, które zazwyczaj goją się w ciągu tygodnia, zmiany nowotworowe nie ustępują, a wręcz mogą się nasilać. Pamiętajmy, że wczesne zmiany nowotworowe często są bezbolesne, co niestety usypia naszą czujność.
Poza tymi najbardziej typowymi objawami, istnieją również te mniej oczywiste, które łatwo jest zbagatelizować lub przypisać innym dolegliwościom. Chcę Państwa uwrażliwić na te "ciche" sygnały, które również mogą świadczyć o rozwijającym się nowotworze jamy ustnej.
Wspomniane już problemy z przełykaniem (dysfagia) i uczucie "kluski w gardle" zasługują na szczególną uwagę. Mogą być mylone z refluksem żołądkowo-przełykowym, alergią czy stresem. Jednak ich uporczywość, nasilanie się i brak reakcji na typowe leczenie to bardzo silny sygnał alarmowy. Jeśli jedzenie sprawia ból, krztusimy się częściej niż zwykle, lub mamy wrażenie, że coś blokuje nam gardło, nie wolno tego ignorować.
Niewyjaśnione drętwienie lub mrowienie języka lub warg to kolejny symptom, który może wskazywać na problem. Może to świadczyć o uszkodzeniu nerwów, co w kontekście nowotworu jamy ustnej może sugerować zaawansowanie procesu nowotworowego, który nacieka na okoliczne tkanki. Jeśli czucie w tych obszarach jest zaburzone bez wyraźnej przyczyny (np. urazu), konieczna jest konsultacja.
Zmiana barwy głosu i chrypka, która utrzymuje się ponad 3 tygodnie, to objaw, który często przypisujemy przeziębieniu czy nadwyrężeniu strun głosowych. Jeśli jednak chrypka nie ustępuje po leczeniu infekcji, a głos staje się matowy, ochrypły, a nawet zanika, to jest to powód do pilnej konsultacji laryngologicznej. Nowotwór może rozwijać się w okolicach krtani lub gardła, wpływając na struny głosowe.
Na koniec warto zwrócić uwagę na objawy takie jak ból promieniujący do ucha oraz powiększone węzły chłonne na szyi. Ból ucha, zwłaszcza jednostronny i bez wyraźnej przyczyny (np. infekcji), może być objawem wtórnym do zmian nowotworowych w jamie ustnej lub gardle. Podobnie powiększone, twarde i niebolesne węzły chłonne na szyi mogą świadczyć o przerzutach nowotworowych. Niestety, często są one bagatelizowane lub przypisywane innym, mniej groźnym schorzeniom.
Zrozumienie czynników ryzyka jest równie ważne, jak znajomość objawów. Pozwala nam to świadomie dbać o zdrowie i w miarę możliwości eliminować zagrożenia. Jako Zofia Baranowska, chcę podkreślić te, które mają największy wpływ na rozwój raka jamy ustnej.
Bez wątpienia, palenie tytoniu i nadużywanie alkoholu to główni winowajcy. Odpowiadają one za około 75% przypadków nowotworów jamy ustnej. Dym tytoniowy zawiera setki substancji rakotwórczych, które bezpośrednio uszkadzają błonę śluzową jamy ustnej. Alkohol natomiast działa drażniąco i ułatwia penetrację tych substancji. Co gorsza, ich jednoczesne stosowanie potęguje ryzyko wielokrotnie, tworząc synergię szkodliwego działania.
Coraz większą rolę odgrywa również wirus brodawczaka ludzkiego (HPV), szczególnie typ 16. Kiedyś kojarzony głównie z rakiem szyjki macicy, dziś wiemy, że jest cichym, ale istotnym czynnikiem ryzyka raka jamy ustnej i gardła, zwłaszcza w młodszych grupach wiekowych. Zakażenie HPV może przebiegać bezobjawowo przez wiele lat, zanim wywoła zmiany nowotworowe.
- Niewłaściwa higiena jamy ustnej: Zaniedbania w higienie mogą prowadzić do przewlekłych stanów zapalnych, które sprzyjają rozwojowi zmian przednowotworowych.
- Przewlekłe drażnienie błony śluzowej: Źle dopasowane protezy zębowe, ostre krawędzie zębów czy przewlekłe urazy mogą powodować stałe podrażnienia, które z czasem mogą przekształcić się w zmiany złośliwe.
- Dieta uboga w warzywa i owoce: Brak odpowiedniej ilości witamin i antyoksydantów osłabia naturalne mechanizmy obronne organizmu przed uszkodzeniami komórkowymi.
Zauważenie niepokojących objawów może być stresujące, ale najważniejsze to nie panikować, tylko działać. Chcę Państwu przedstawić jasną ścieżkę postępowania, aby wiedzieli Państwo, co robić krok po kroku.
W pierwszej kolejności, jeśli zauważą Państwo którykolwiek z wymienionych objawów, który utrzymuje się dłużej niż 2-3 tygodnie, należy udać się do lekarza. Najlepiej zacząć od lekarza pierwszego kontaktu, który oceni sytuację i w razie potrzeby wystawi skierowanie do specjalisty. Można również bezpośrednio skonsultować się ze stomatologiem, który często jest pierwszym specjalistą mającym kontakt z jamą ustną i może zauważyć zmiany podczas rutynowej kontroli. W przypadku bardziej wyraźnych objawów, warto rozważyć wizytę u laryngologa lub chirurga szczękowo-twarzowego.
Podczas wizyty diagnostycznej mogą Państwo spodziewać się przede wszystkim dokładnego badania jamy ustnej i gardła. Lekarz obejrzy błony śluzowe, język, dziąsła, podniebienie oraz wykona palpację (dotykowe badanie) jamy ustnej i szyi, aby wyczuć ewentualne guzki czy powiększone węzły chłonne. To badanie jest zazwyczaj bezbolesne i szybkie, ale niezwykle ważne w procesie diagnostycznym.
Jeśli lekarz uzna, że istnieje podejrzenie zmiany nowotworowej, kluczowym krokiem będzie wykonanie biopsji i badania histopatologicznego. Biopsja polega na pobraniu niewielkiego fragmentu podejrzanej tkanki, który następnie jest analizowany pod mikroskopem przez patologa. To jedyne badanie, które pozwala na postawienie ostatecznej diagnozy nowotworu jamy ustnej. Chcę Państwa uspokoić, że jest to rutynowa procedura, zazwyczaj wykonywana w znieczuleniu miejscowym, a jej wynik jest decydujący dla dalszego planowania leczenia.
Podsumowując, drodzy Państwo, znaczenie profilaktyki i czujności onkologicznej w kontekście raka jamy ustnej jest nie do przecenienia. Wczesne działanie ratuje życie i znacząco zwiększa szanse na pełne wyleczenie. Nie należy wpadać w panikę na widok każdej zmiany, ale aktywnie dbać o swoje zdrowie i nie ignorować sygnałów wysyłanych przez nasz organizm.
Pamiętajmy również o roli regularnych wizyt u stomatologa. To nie tylko kwestia higieny i leczenia próchnicy. Stomatolog, dzięki swojej wiedzy i doświadczeniu, jest często w stanie zauważyć wczesne, subtelne zmiany w jamie ustnej, zanim staną się one widoczne dla nas samych. Co najmniej raz w roku powinniśmy odwiedzać gabinet stomatologiczny, traktując to jako kluczowy element wczesnego wykrywania potencjalnych problemów.

Aby wspomóc Państwa w tej czujności, przedstawiam szczegółową instrukcję, jak prawidłowo przeprowadzić samobadanie jamy ustnej w domu. Poświęćmy na to kilka minut raz w miesiącu to może uratować życie.
- Oglądanie warg i skóry wokół ust: Stań przed lustrem w dobrze oświetlonym miejscu. Dokładnie obejrzyj skórę wokół ust oraz wargi, zarówno z zewnątrz, jak i od środka (odchylając je). Szukaj wszelkich zmian w kolorze, owrzodzeń, guzków, zgrubień, pęknięć czy asymetrii.
- Oglądanie wnętrza policzków i dziąseł: Odciągnij policzki, aby dokładnie obejrzeć ich wewnętrzną stronę oraz dziąsła. Zwróć uwagę na białe, czerwone lub ciemne plamy, owrzodzenia, guzki czy obrzęki.
- Oglądanie języka (góra, boki, spód): Wysuń język i obejrzyj jego górną powierzchnię. Następnie, używając gazy lub chusteczki, delikatnie chwyć koniec języka i wysuń go na bok, aby obejrzeć boki języka. Na koniec unieś język do góry, dotykając nim podniebienia, aby obejrzeć jego spód i dno jamy ustnej. Szukaj wszelkich zmian w kolorze, teksturze, guzków, owrzodzeń czy trudności w poruszaniu językiem.
- Oglądanie podniebienia twardego i miękkiego: Odchyl głowę do tyłu i otwórz szeroko usta, aby obejrzeć podniebienie twarde (z przodu) i miękkie (z tyłu). Zwróć uwagę na wszelkie zmiany w kolorze, guzki, owrzodzenia czy asymetrie.
- Palpacja szyi i węzłów chłonnych: Delikatnie, opuszkami palców, obmacaj szyję, zwłaszcza pod żuchwą i po bokach, szukając powiększonych, twardych lub bolesnych węzłów chłonnych. Zwróć uwagę na wszelkie zgrubienia, które nie ustępują.
