Recesja dziąseł to cofanie się dziąseł, które odsłania korzenie zębów, powodując nadwrażliwość i ryzyko poważnych problemów.
- Recesja dziąseł to stopniowe odsłanianie szyjek i korzeni zębów, problem dotykający nawet co drugą osobę dorosłą.
- Główne objawy to optyczne wydłużenie zębów, nadwrażliwość na bodźce, krwawienie dziąseł oraz wyczuwalny "schodek" na granicy zęba.
- Do najczęstszych przyczyn należą niewłaściwa higiena, czynniki genetyczne, bruksizm, palenie tytoniu oraz urazy mechaniczne.
- Nieleczona recesja zwiększa ryzyko próchnicy korzenia, paradontozy i może prowadzić do utraty zębów.
- Wczesne rozpoznanie objawów i konsultacja ze stomatologiem są kluczowe dla skutecznego leczenia i zapobiegania dalszym komplikacjom.
- Leczenie może obejmować profesjonalną higienizację, zmianę nawyków, a w zaawansowanych przypadkach zabiegi chirurgiczne, takie jak przeszczep dziąsła.

Recesja dziąseł: objawy, których nie możesz ignorować
Objawy recesji dziąseł, choć często subtelne na początku, są niezwykle ważnymi sygnałami, które nasze ciało wysyła, informując o problemach w jamie ustnej. Niestety, zbyt często są one ignorowane lub przypisywane innym, mniej poważnym przyczynom. Wczesne rozpoznanie tych symptomów to pierwszy i najważniejszy krok do ochrony zdrowia naszych zębów i dziąseł, a tym samym do uniknięcia poważniejszych konsekwencji w przyszłości.
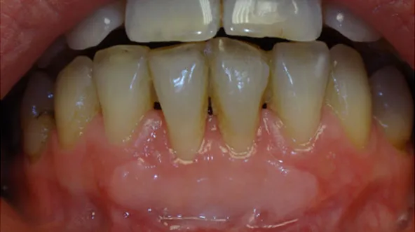
Zęby wydają się dłuższe czy to tylko problem estetyczny?
Jednym z najbardziej zauważalnych, choć często bagatelizowanych objawów recesji dziąseł, jest optyczne wydłużenie koron zębów. Dzieje się tak, ponieważ dziąsło stopniowo cofa się, odsłaniając część korzenia, która normalnie byłaby ukryta. Na pierwszy rzut oka może się to wydawać jedynie kwestią estetyki, zmieniającą wygląd uśmiechu. Jednakże, z mojej perspektywy eksperta, muszę podkreślić, że to znacznie więcej niż tylko defekt wizualny. To wyraźny sygnał, że tkanki dziąsłowe ulegają degradacji, co zwiastuje poważniejsze problemy zdrowotne, jeśli nie zostaną podjęte odpowiednie kroki.
Nagła nadwrażliwość na zimno i ciepło sygnał alarmowy od Twoich zębów
Nadwrażliwość zębów to kolejny, niezwykle uciążliwy objaw, który często towarzyszy recesji dziąseł. Odsłonięta szyjka i korzeń zęba, w przeciwieństwie do korony, nie są chronione przez twarde szkliwo. Zamiast tego pokrywa je cement korzeniowy, który jest znacznie bardziej porowaty i zawiera kanaliki zębinowe, prowadzące bezpośrednio do miazgi zęba. Kiedy te obszary zostają odsłonięte, reagują ostrym, przeszywającym bólem na różne bodźce zarówno termiczne (zimne napoje, gorąca kawa, wdychanie zimnego powietrza), chemiczne (słodkie lub kwaśne pokarmy), jak i dotykowe (np. podczas szczotkowania). To jasny sygnał alarmowy od Twoich zębów, że ich naturalna ochrona została naruszona i wymagają one natychmiastowej uwagi.Krwawienie lub zaczerwienienie podczas mycia kiedy to przestaje być normą?
Krwawienie i zaczerwienienie dziąseł podczas mycia zębów lub nitkowania to objawy, które wiele osób mylnie uważa za normalne. Niestety, to bardzo często wskazuje na obecność stanu zapalnego dziąseł, który może być zarówno przyczyną, jak i konsekwencją recesji. Zdrowe dziąsła nie krwawią. Jeśli zauważają Państwo, że dziąsła są obrzęknięte, intensywnie czerwone i łatwo krwawią, nawet przy delikatnym dotyku, jest to sygnał, że należy jak najszybciej skonsultować się ze stomatologiem. Ignorowanie tych objawów może prowadzić do pogłębiania się problemu i dalszego cofania się dziąseł.
Wyczuwasz "schodek" na granicy zęba i dziąsła? Sprawdź, co to oznacza
Wyczuwalne lub widoczne wgłębienie, nazywane potocznie "schodkiem", w miejscu styku korony zęba z dziąsłem, to fizyczny dowód na utratę tkanki dziąsłowej i odsłonięcie korzenia. Jest to jeden z najbardziej jednoznacznych objawów recesji. Oprócz tego, warto zwrócić uwagę na inne, mniej oczywiste sygnały, które mogą świadczyć o rozwijającym się problemie:
- Zmiana koloru dziąseł: Dziąsła mogą stać się blade, co sugeruje niedokrwienie, lub wręcz przeciwnie intensywnie czerwone i obrzęknięte, co wskazuje na stan zapalny.
- Nieprzyjemny zapach z ust: Halitoza, czyli nieprzyjemny zapach z ust, może być związana z nagromadzeniem bakterii w kieszonkach dziąsłowych, które powstają w wyniku recesji i stanów zapalnych.
- Rozchwianie zębów: W zaawansowanych stadiach recesji, utrata podparcia ze strony dziąsła i kości może prowadzić do ruchomości zębów, co jest już bardzo poważnym sygnałem alarmowym.

Co powoduje recesję dziąseł? Zrozumienie przyczyn dla skutecznej profilaktyki
Recesja dziąseł rzadko ma jedną, prostą przyczynę. Zazwyczaj jest to wynik złożonego współdziałania kilku czynników, zarówno zewnętrznych, jak i wewnętrznych. Zrozumienie tych mechanizmów jest kluczowe nie tylko dla skutecznego leczenia, ale przede wszystkim dla efektywnej profilaktyki. Analizując te aspekty, możemy świadomie modyfikować nasze nawyki i minimalizować ryzyko rozwoju tej dolegliwości.
Paradoks higieny: gdy zbyt mocne i zbyt słabe szczotkowanie prowadzi do tego samego
Niewłaściwa higiena jamy ustnej to jeden z najczęstszych winowajców recesji dziąseł, działający na dwa paradoksalne sposoby. Z jednej strony, zaniedbania higieniczne, prowadzące do gromadzenia się płytki bakteryjnej i kamienia nazębnego, wywołują stany zapalne dziąseł. Przewlekłe zapalenie osłabia tkanki, powodując ich cofanie. Z drugiej strony, zbyt agresywne szczotkowanie zębów, zwłaszcza twardą szczoteczką i z nieprawidłową, zbyt intensywną techniką, może mechanicznie uszkadzać delikatne dziąsła, dosłownie "zdzierając" je z powierzchni zębów. To pokazuje, jak ważne jest znalezienie złotego środka i opanowanie prawidłowej techniki szczotkowania.Genetyczna loteria: czy masz wrodzoną skłonność do zaniku dziąseł?
Niestety, nie wszyscy startujemy z tą samą bazą, jeśli chodzi o odporność dziąseł. Czynniki anatomiczne i genetyczne odgrywają znaczącą rolę w predyspozycjach do zaniku dziąseł. Osoby z cienką biotypem dziąsła, czyli naturalnie delikatnymi i cienkimi dziąsłami, są znacznie bardziej narażone na ich recesję, nawet przy minimalnych czynnikach drażniących. Dodatkowo, nieprawidłowe ustawienie zębów w łuku, które powoduje nierównomierne obciążenie lub nadmierne napięcie tkanek, oraz wysoki przyczep wędzidełek warg, mogą mechanicznie "ciągnąć" dziąsła w dół, przyczyniając się do ich cofania. To rodzaj genetycznej loterii, ale świadomość tych predyspozycji pozwala na wczesną profilaktykę.
Bruksizm, czyli cichy nocny wróg Twojego uśmiechu
Bruksizm, czyli nawykowe zgrzytanie i zaciskanie zębów, często występujące nieświadomie podczas snu, to prawdziwy cichy wróg zdrowia jamy ustnej. Ta parafunkcja powoduje nadmierne obciążenie tkanek przyzębia zarówno zębów, jak i otaczających je dziąseł oraz kości. Chroniczny nacisk i tarcie prowadzą do mikrourazów, które z czasem mogą osłabiać struktury podtrzymujące ząb, w konsekwencji przyczyniając się do powstawania recesji dziąseł. Jeśli budzą się Państwo z bólem szczęki, głowy lub zauważają starte powierzchnie zębów, bruksizm może być przyczyną Państwa problemów z dziąsłami.
Palenie papierosów a zdrowie dziąseł: jak nałóg niszczy je od środka
Palenie tytoniu to jeden z najbardziej destrukcyjnych nawyków dla zdrowia jamy ustnej, a jego wpływ na rozwój recesji dziąseł jest nie do przecenienia. Toksyny zawarte w dymie papierosowym osłabiają ukrwienie dziąseł, co prowadzi do ich niedotlenienia i niedożywienia. Dodatkowo, nikotyna i inne substancje chemiczne upośledzają naturalne mechanizmy obronne organizmu oraz zdolności regeneracyjne tkanek. Palacze są znacznie bardziej narażeni na rozwój stanów zapalnych dziąseł i paradontozy, które bezpośrednio przyczyniają się do cofania się dziąseł. To nałóg, który dosłownie niszczy dziąsła od środka, czyniąc je bardziej podatnymi na wszelkie uszkodzenia.
Leczenie ortodontyczne i piercing: kiedy mogą stać się zagrożeniem?
Choć leczenie ortodontyczne ma na celu poprawę estetyki i funkcji zgryzu, w niektórych przypadkach może przyczynić się do powstawania recesji dziąseł. Przesuwanie zębów, zwłaszcza u osób z cienkim biotypem dziąsła, może wywołać nadmierne napięcie i ucisk na tkanki, prowadząc do ich cofania. Dlatego tak ważna jest ścisła współpraca z ortodontą i monitorowanie stanu dziąseł podczas leczenia. Podobnie, urazy mechaniczne, takie jak piercing w okolicy warg i języka, mogą stale drażnić dziąsła, powodując ich recesję. Nieprawidłowo dopasowane uzupełnienia protetyczne, takie jak korony czy mosty, również mogą uciskać dziąsła, prowadząc do ich zaniku. W takich sytuacjach, to co miało poprawić wygląd lub funkcję, staje się zagrożeniem dla zdrowia przyzębia.
Nieleczona recesja dziąseł: poważne konsekwencje dla Twojego zdrowia
Ignorowanie cofających się dziąseł to prosta droga do poważnych konsekwencji zdrowotnych, które wykraczają daleko poza samą estetykę uśmiechu. Problem ten może dotyczyć nie tylko jamy ustnej, ale rzutować na ogólny stan zdrowia. Z mojej praktyki wiem, że wczesne zrozumienie potencjalnych zagrożeń jest kluczowe, aby zmotywować pacjentów do podjęcia działań. Nie pozwólmy, aby mały problem przerodził się w duży kłopot.
Od nadwrażliwości do uporczywego bólu: jak postępuje problem?
Nieleczona recesja dziąseł to proces postępujący, który z czasem eskaluje od początkowej, sporadycznej nadwrażliwości do uporczywego, przewlekłego bólu. W miarę jak dziąsła cofają się coraz bardziej, odsłonięte korzenie stają się coraz bardziej wrażliwe na bodźce. Początkowy dyskomfort podczas jedzenia lodów może przerodzić się w stały, tępy ból, utrudniający codzienne funkcjonowanie. Dziąsła stają się bardziej podatne na stany zapalne, co dodatkowo potęguje dolegliwości bólowe i sprawia, że nawet codzienna higiena staje się nieprzyjemnym doświadczeniem. To błędne koło, które wymaga przerwania.
Próchnica korzenia: dlaczego odsłonięte zęby są na nią bardziej narażone?
Jedną z najgroźniejszych konsekwencji recesji dziąseł jest znacznie zwiększone ryzyko rozwoju próchnicy korzenia. Odsłonięte korzenie zębów są pozbawione ochronnej warstwy szkliwa, która pokrywa korony. Zamiast tego, ich powierzchnia pokryta jest cementem korzeniowym, który ma inną, bardziej porowatą strukturę, znacznie mniej odporną na działanie kwasów produkowanych przez bakterie. To sprawia, że korzenie są niezwykle podatne na próchnicę, która może postępować bardzo szybko i prowadzić do głębokich ubytków, trudnych do leczenia i często wymagających leczenia kanałowego lub nawet ekstrakcji zęba.
Prosta droga do paradontozy i utraty zębów: jak recesja osłabia ich fundament
Nieleczona recesja dziąseł to również prosta droga do zaostrzenia stanów zapalnych przyzębia, czyli paradontozy. Gdy dziąsła się cofają, tworzą się tzw. kieszonki dziąsłowe, które są idealnym miejscem do gromadzenia się bakterii i powstawania infekcji. Przewlekły stan zapalny prowadzi do stopniowej destrukcji kości, która stanowi fundament dla zębów. W miarę postępu choroby, zęby tracą swoje stabilne podparcie, stają się rozchwiane, a w skrajnych przypadkach może dojść nawet do ich utraty. To scenariusz, którego każdy z nas powinien unikać, a wczesne leczenie recesji jest kluczowe, aby zapobiec tak dramatycznym konsekwencjom.
Jak skutecznie leczyć i zapobiegać recesji dziąseł?
Choć perspektywa cofających się dziąseł może wydawać się niepokojąca, mam dla Państwa dobrą wiadomość: recesję dziąseł można skutecznie leczyć i, co najważniejsze, zatrzymać jej postęp. Współczesna stomatologia, a w szczególności periodontologia, oferuje szeroki wachlarz rozwiązań, które pozwalają nie tylko zniwelować objawy, ale także odbudować utraconą tkankę i przywrócić zdrowy uśmiech. Kluczem jest jednak świadomość i podjęcie odpowiednich działań.
Pierwszy i najważniejszy krok: jak zmienić codzienne nawyki, by chronić dziąsła?
Podstawą w walce z recesją dziąseł jest zmiana codziennych nawyków higienicznych. To fundament, bez którego nawet najbardziej zaawansowane leczenie może okazać się nieskuteczne. Przede wszystkim, należy opanować prawidłową technikę szczotkowania delikatną, ale skuteczną, z użyciem miękkiej szczoteczki. Zbyt mocne szorowanie jest jednym z głównych winowajców. Niezwykle ważne jest również regularne stosowanie nici dentystycznych oraz, w miarę możliwości, irygatora, aby dokładnie usuwać resztki pokarmowe i płytkę bakteryjną z przestrzeni międzyzębowych i spod linii dziąseł. Profesjonalny instruktaż higieny w gabinecie stomatologicznym to inwestycja, która szybko się zwraca, ucząc Państwa, jak efektywnie i bezpiecznie dbać o jamę ustną.
-
Profesjonalna pomoc: kiedy wizyta u periodontologa jest absolutnie konieczna?
Wizyta u specjalisty periodontologa jest absolutnie konieczna, gdy zauważą Państwo jakiekolwiek z wymienionych objawów recesji dziąseł czy to optyczne wydłużenie zębów, nadwrażliwość, krwawienie, czy wyczuwalny "schodek". Nie należy czekać, aż problem się nasili. Wczesna interwencja jest kluczowa dla skuteczności leczenia i zapobiegania dalszym komplikacjom, takim jak próchnica korzenia czy postępująca paradontoza. Periodontolog jest w stanie dokładnie ocenić stan dziąseł, zdiagnozować przyczynę recesji i zaproponować najbardziej odpowiedni plan leczenia.
-
Od skalingu po przeszczep: jakie metody leczenia oferują polskie gabinety?
Polskie gabinety stomatologiczne oferują szeroki wachlarz metod leczenia recesji dziąseł, dostosowanych do stopnia zaawansowania problemu. Na początek często wykonuje się profesjonalną higienizację, która obejmuje:
- Skaling: Usuwanie kamienia nazębnego naddziąsłowego i poddziąsłowego.
- Piaskowanie: Usuwanie osadów i przebarwień.
- Kiretaż: Głębokie oczyszczanie korzeni zębów z kamienia i zainfekowanych tkanek.
-
Przeczytaj również: Opuchnięte dziąsła u niemowlaka: Rozpoznaj i pomóż maluchowi!
Profilaktyka to podstawa: jak skutecznie zapobiegać nawrotom problemu?
Skuteczna profilaktyka recesji dziąseł to połączenie codziennej, prawidłowej higieny jamy ustnej z regularnymi wizytami kontrolnymi u stomatologa. Pamiętajmy o dokładnym, ale delikatnym szczotkowaniu zębów miękką szczoteczką, codziennym nitkowaniu i stosowaniu płynów do płukania ust. Równie ważne jest eliminowanie czynników ryzyka rzucenie palenia tytoniu, leczenie bruksizmu (np. za pomocą szyny relaksacyjnej) oraz korekta nieprawidłowo dopasowanych uzupełnień protetycznych czy piercingu. Regularne wizyty u stomatologa, najlepiej co 6 miesięcy, pozwalają na wczesne wykrycie i interwencję, zanim problem się nasili. Tylko kompleksowe podejście gwarantuje długotrwałe efekty i zdrowy, piękny uśmiech.
