Opuchnięte dziąsło to problem, z którym wielu z nas boryka się od czasu do czasu. Choć często bywa bagatelizowany, może sygnalizować zarówno drobne podrażnienia, jak i poważniejsze stany zapalne. W tym artykule, jako Zofia Baranowska, pragnę przedstawić kompleksowy przewodnik po najczęstszych przyczynach obrzęku dziąseł, skutecznych domowych sposobach na złagodzenie objawów oraz jasne wskazówki, kiedy konieczna jest profesjonalna pomoc stomatologiczna.
Spuchnięte dziąsło poznaj przyczyny, domowe sposoby i wiedz, kiedy iść do dentysty.
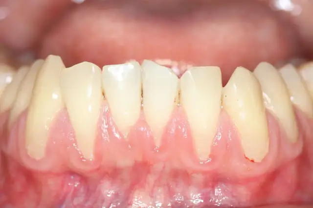
- Najczęstsze przyczyny opuchlizny dziąseł to niewłaściwa higiena, zapalenie dziąseł, ropień zęba lub wyrzynające się ósemki.
- Doraźną ulgę w domu przyniosą płukanki z szałwii, rumianku, soli, wody utlenionej oraz zimne okłady.
- Goździki mogą działać przeciwbólowo i antyseptycznie, łagodząc dyskomfort.
- Koniecznie skonsultuj się z dentystą, jeśli opuchlizna utrzymuje się dłużej niż 2-3 dni, towarzyszy jej silny ból, gorączka lub widoczna ropa.
- Profesjonalne leczenie obejmuje skaling, kiretaż, a w poważniejszych przypadkach leczenie kanałowe lub antybiotykoterapię.

Przyczyny spuchniętych dziąseł co sygnalizuje obrzęk?
Opuchlizna dziąseł to zawsze sygnał, że coś w naszej jamie ustnej jest nie tak. Może to być drobne podrażnienie, ale równie dobrze objaw poważniejszego, ukrytego problemu, który wymaga uwagi. Moim zdaniem, nigdy nie należy ignorować takich symptomów, ponieważ wczesna reakcja może zapobiec poważniejszym konsekwencjom.
Od płytki nazębnej po ukryte problemy co sygnalizuje opuchlizna?
Opuchlizna dziąseł jest często pierwszym i najbardziej widocznym sygnałem problemu. Najczęściej, jak wynika z moich obserwacji, jest to wynik niewłaściwej higieny jamy ustnej, która prowadzi do nagromadzenia płytki bakteryjnej i kamienia nazębnego. Te złogi są idealnym środowiskiem dla bakterii, które wywołują stan zapalny. Czasami jednak obrzęk może wskazywać na bardziej złożone, ukryte problemy, takie jak infekcje czy problemy z zębami.
Czy to zapalenie dziąseł, czy już paradontoza? Jak rozpoznać zagrożenie?
Zapalenie dziąseł, czyli gingivitis, to początkowe stadium choroby przyzębia. Objawia się ono zaczerwienieniem, obrzękiem i krwawieniem dziąseł, szczególnie podczas szczotkowania lub nitkowania. Na tym etapie, przy odpowiedniej higienie i profesjonalnym czyszczeniu, stan zapalny jest w pełni odwracalny i nie prowadzi do trwałych uszkodzeń.
Jeśli jednak zapalenie dziąseł nie jest leczone, może niestety przekształcić się w paradontozę zaawansowaną chorobę przyzębia. W tym przypadku, oprócz wymienionych objawów, pojawia się cofanie się dziąseł, tworzenie się kieszonek dziąsłowych, a nawet ruchomość zębów. Paradontoza jest znacznie trudniejsza do leczenia i może prowadzić do utraty zębów, dlatego tak ważne jest, aby nie dopuścić do jej rozwoju.Ząb mądrości daje o sobie znać? Kiedy ósemka jest przyczyną problemu.
Wyrzynające się ósemki, czyli zęby mądrości, są bardzo częstą przyczyną bólu i opuchlizny dziąseł, zwłaszcza u młodych dorosłych. Problem pojawia się, gdy ząb rośnie pod nieprawidłowym kątem, jest częściowo zatrzymany (nie może w pełni wyjść z dziąsła) lub gdy brakuje mu miejsca w łuku zębowym. Wokół takiej ósemki łatwo gromadzą się resztki jedzenia i bakterie, prowadząc do stanu zapalnego zwanego zapaleniem okołokoronowym.Inne możliwe przyczyny, o których warto wiedzieć (ciąża, leki, niedobory witamin).
Oprócz najczęstszych przyczyn, istnieje szereg innych czynników, które mogą prowadzić do opuchlizny dziąseł. Warto o nich pamiętać, szukając źródła problemu:
- Zmiany hormonalne: Ciąża, okres dojrzewania, menopauza czy nawet cykl menstruacyjny mogą zwiększać wrażliwość dziąseł i skłonność do stanów zapalnych.
- Niedobory żywieniowe: Szczególnie brak witaminy C i K może osłabiać dziąsła i czynić je bardziej podatnymi na obrzęki i krwawienia.
- Urazy mechaniczne: Zbyt mocne szczotkowanie, używanie twardej szczoteczki, niedopasowana proteza lub aparat ortodontyczny mogą podrażniać dziąsła i wywoływać miejscową opuchliznę.
- Niektóre leki: Pewne medykamenty, np. leki na nadciśnienie, immunosupresyjne czy przeciwpadaczkowe, mogą jako efekt uboczny powodować przerost dziąseł.
- Ząbkowanie u dzieci: U niemowląt jest to naturalna i częsta przyczyna opuchniętych dziąseł.
Domowe sposoby na spuchnięte dziąsło jak szybko sobie pomóc?
Kiedy dziąsło puchnie i boli, naturalne jest, że szukamy szybkiej ulgi. Na szczęście, zanim udamy się do dentysty, istnieje kilka sprawdzonych domowych metod, które mogą przynieść doraźne ukojenie. Pamiętajmy jednak, że są to tylko sposoby na złagodzenie objawów, a nie leczenie przyczyny.
Ziołowa apteczka: Jak płukanki z szałwii i rumianku przynoszą ulgę?
Płukanki ziołowe to mój ulubiony sposób na łagodzenie stanów zapalnych w jamie ustnej. Szałwia i rumianek to prawdziwi sprzymierzeńcy w walce z opuchlizną. Szałwia działa antyseptycznie i ściągająco, a rumianek ma właściwości przeciwzapalne i kojące. Aby przygotować napar, wystarczy zalać łyżeczkę suszonych ziół szklanką wrzątku i parzyć pod przykryciem przez około 10-15 minut. Po przestudzeniu i odcedzeniu, płucz jamę ustną kilka razy dziennie.
Sól i woda utleniona proste roztwory o dużej mocy.
Płukanka z soli kuchennej to klasyk, który zawsze polecam. Roztwór soli w ciepłej wodzie (pół łyżeczki soli na szklankę wody) działa odkażająco, pomaga zmniejszyć obrzęk i łagodzi ból. Płucz usta takim roztworem 3-4 razy dziennie, szczególnie po posiłkach.
Woda utleniona, dzięki swoim właściwościom antybakteryjnym, również może pomóc. Ważne jest jednak, aby zawsze ją rozcieńczać! Wymieszaj wodę utlenioną z wodą w stosunku 1:1 i płucz jamę ustną przez około 30 sekund, a następnie wypluj. Nie połykaj roztworu i nie stosuj zbyt często, aby nie podrażnić błony śluzowej.
Zimny okład Twój sprzymierzeniec w walce z obrzękiem.
Zimne okłady to prosty, ale skuteczny sposób na zmniejszenie opuchlizny i złagodzenie bólu. Owiń kilka kostek lodu w czystą ściereczkę lub ręcznik i przykładaj do policzka, w miejscu, gdzie dziąsło jest spuchnięte. Stosuj okład przez 10-15 minut, z przerwami, kilka razy dziennie. Zimno obkurcza naczynia krwionośne, co redukuje obrzęk i działa znieczulająco.
Moc goździków naturalny sposób na uśmierzenie bólu.
Goździki to naturalny środek przeciwbólowy i antyseptyczny, znany od wieków. Zawierają eugenol, który ma właściwości znieczulające. Możesz delikatnie żuć cały goździk w okolicy bolącego dziąsła lub, jeśli masz olejek goździkowy, nanieść jego niewielką ilość na wacik i przyłożyć bezpośrednio do spuchniętego miejsca. Pamiętaj, aby olejek był odpowiednio rozcieńczony, gdyż w czystej postaci może być zbyt drażniący.
Delikatna higiena: Jak myć zęby, by nie pogorszyć stanu zapalnego?
Kiedy dziąsła są spuchnięte i bolą, często mamy tendencję do unikania szczotkowania. To błąd! Delikatna, ale dokładna higiena jamy ustnej jest kluczowa, aby usunąć bakterie i resztki jedzenia, które pogarszają stan zapalny. Używaj miękkiej szczoteczki do zębów i szczotkuj bardzo ostrożnie, wykonując delikatne, okrężne ruchy. Nie zapominaj o nitkowaniu, ale rób to z wyczuciem, aby nie podrażnić dziąseł jeszcze bardziej. Płyny do płukania jamy ustnej bez alkoholu również mogą być pomocne.
Spuchnięte dziąsło przy konkretnym zębie co to może oznaczać?
Jeśli opuchlizna dotyczy tylko jednego, konkretnego miejsca, często wskazuje to na problem związany z danym zębem. To sygnał, że należy przyjrzeć się bliżej temu obszarowi, ponieważ przyczyna może być bardziej złożona niż ogólne zapalenie dziąseł.
Gdy problem dotyczy jednego miejsca: czy to ropień lub problem z korzeniem?
Zlokalizowana opuchlizna, często z towarzyszącym silnym, pulsującym bólem, jest bardzo niepokojącym objawem i może wskazywać na ropień zęba. Jest to infekcja bakteryjna w okolicy korzenia zęba, która prowadzi do gromadzenia się ropy. Ropień wymaga pilnej interwencji stomatologicznej, ponieważ nieleczony może prowadzić do poważnych komplikacji, a nawet rozprzestrzenienia się infekcji. Innym problemem może być zapalenie tkanek okołowierzchołkowych, czyli problem z korzeniem zęba, który również manifestuje się miejscowym obrzękiem.
Opuchlizna po leczeniu kanałowym lub wyrwaniu zęba czy to normalne?
Niewielka opuchlizna po leczeniu kanałowym lub ekstrakcji zęba jest zazwyczaj normalną reakcją organizmu na zabieg. Tkanki potrzebują czasu na regenerację. Zwykle obrzęk ustępuje w ciągu kilku dni. Ważne jest jednak, aby monitorować jego nasilenie i czas trwania. Jeśli opuchlizna jest bardzo duża, towarzyszy jej silny ból, gorączka lub nie ustępuje po 2-3 dniach, należy skonsultować się z dentystą. Może to świadczyć o powikłaniu, takim jak infekcja.
Spuchnięte i bolące dziąsło u dziecka ząbkowanie czy coś więcej?
U dzieci spuchnięte i bolące dziąsła są najczęściej związane z ząbkowaniem. To naturalny proces, który może powodować dyskomfort, rozdrażnienie, a nawet lekką gorączkę. Możemy wtedy ulżyć dziecku, podając schłodzone gryzaki lub delikatnie masując dziąsła czystym palcem. Jednakże, jeśli opuchlizna jest bardzo duża, towarzyszy jej wysoka gorączka, dziecko jest apatyczne, lub zauważamy widoczną ropę, należy niezwłocznie skonsultować się z pediatrą lub stomatologiem dziecięcym. Może to wskazywać na ropień lub inne poważniejsze zapalenie.Kiedy do dentysty? Objawy alarmowe, których nie wolno ignorować.
Chociaż domowe sposoby mogą przynieść tymczasową ulgę, są sytuacje, w których wizyta u dentysty jest absolutnie konieczna. Moim zdaniem, ignorowanie pewnych objawów może prowadzić do poważnych konsekwencji zdrowotnych.
Te objawy alarmowe wymagają natychmiastowej konsultacji.
Zawsze powtarzam moim pacjentom, że lepiej dmuchać na zimne. Oto kluczowe objawy alarmowe, które powinny skłonić nas do pilnej wizyty u dentysty:
- Gdy opuchlizna utrzymuje się dłużej niż 2-3 dni, mimo stosowania domowych metod.
- Gdy towarzyszy jej silny, pulsujący ból, który nie ustępuje po lekach przeciwbólowych.
- W przypadku pojawienia się gorączki, ogólnego złego samopoczucia lub powiększenia węzłów chłonnych.
- Gdy widoczna jest ropa lub przetoka ropna na dziąśle to sygnał aktywnej infekcji.
- Jeśli opuchlizna utrudnia przełykanie lub oddychanie to może być objawem rozprzestrzeniania się infekcji.
- W przypadku zauważenia ruchomości zęba lub cofania się dziąseł.
Jak wygląda wizyta u stomatologa? Diagnoza i plan leczenia krok po kroku.
Podczas wizyty u stomatologa, w pierwszej kolejności przeprowadzę dokładny wywiad, pytając o objawy, ich nasilenie i czas trwania. Następnie wykonam badanie jamy ustnej, aby ocenić stan dziąseł i zębów. Często konieczne jest również wykonanie zdjęcia rentgenowskiego (RTG), które pozwoli mi zajrzeć pod powierzchnię dziąseł i ocenić stan kości oraz korzeni zębów. Na podstawie zebranych informacji postawię diagnozę i przedstawię szczegółowy plan leczenia, omawiając dostępne opcje i ich koszty.
Skaling, kiretaż, antybiotyk jakie zabiegi może zalecić specjalista?
W zależności od przyczyny i zaawansowania problemu, dentysta może zalecić różne metody leczenia. Może to być:
- Skaling i piaskowanie: Profesjonalne czyszczenie zębów w celu usunięcia kamienia i płytki nazębnej, które są główną przyczyną stanów zapalnych. To podstawa leczenia zapalenia dziąseł.
- Kiretaż: Głębokie czyszczenie kieszonek dziąsłowych, wykonywane w przypadku zaawansowanego zapalenia przyzębia (paradontozy), aby usunąć kamień poddziąsłowy i zainfekowane tkanki.
- Leczenie kanałowe: Konieczne w przypadku ropnia lub zaawansowanej próchnicy, która doprowadziła do zapalenia miazgi zęba. Polega na usunięciu zainfekowanej miazgi i wypełnieniu kanałów.
- Antybiotykoterapia: Zlecana przez lekarza w przypadku silnych infekcji bakteryjnych, aby zwalczyć patogeny i zahamować rozprzestrzenianie się stanu zapalnego.
- Ekstrakcja zęba: Ostateczność, często stosowana w przypadku problematycznych ósemek, które nie mogą prawidłowo się wyrznąć, lub zębów, których nie da się uratować innymi metodami.
Profilaktyka zdrowych dziąseł jak uniknąć nawrotów problemu?
Najlepszym sposobem na walkę ze spuchniętymi dziąsłami jest zapobieganie. Wierzę, że regularna i prawidłowa higiena jamy ustnej w połączeniu ze zdrowymi nawykami to klucz do utrzymania dziąseł w doskonałej kondycji i uniknięcia nawrotów problemu.
Złote zasady codziennej higieny jamy ustnej.
Podstawą zdrowych dziąseł jest konsekwentna i prawidłowa higiena. Oto moje złote zasady:
- Regularne i prawidłowe szczotkowanie: Szczotkuj zęby przynajmniej dwa razy dziennie (rano i wieczorem) przez co najmniej dwie minuty, używając szczoteczki o miękkim lub średnim włosiu. Pamiętaj o delikatnym masowaniu dziąseł.
- Użycie nici dentystycznej: Codzienne nitkowanie jest absolutnie kluczowe! Nicią usuwamy płytkę bakteryjną i resztki jedzenia z przestrzeni międzyzębowych, gdzie szczoteczka nie dociera.
- Płyny do płukania jamy ustnej: Mogą być dobrym uzupełnieniem higieny, zwłaszcza te z fluorem lub chlorheksydyną (stosowaną krótkotrwale, pod kontrolą dentysty). Wybieraj płyny bez alkoholu, aby nie wysuszać błony śluzowej.
- Wymiana szczoteczki: Pamiętaj o wymianie szczoteczki co 3 miesiące lub częściej, jeśli włosie się zużyje.
Rola diety i nawyków w utrzymaniu zdrowych dziąseł.
Dieta ma ogromny wpływ na zdrowie całej jamy ustnej, w tym dziąseł. Unikaj nadmiernego spożycia cukru i przetworzonej żywności, które sprzyjają rozwojowi bakterii. Włącz do swojej diety produkty bogate w witaminy C i K (np. cytrusy, papryka, brokuły, zielone warzywa liściaste), które wzmacniają dziąsła i wspomagają ich regenerację. Pamiętaj również o odpowiednim nawodnieniu organizmu. Unikaj palenia tytoniu, które jest jednym z głównych czynników ryzyka chorób przyzębia.
Przeczytaj również: Czym płukać dziąsła? Szybka ulga i sprawdzone metody na zapalenie
Dlaczego regularne wizyty kontrolne u dentysty są kluczowe?
Nawet przy najlepszej domowej higienie, regularne wizyty kontrolne u dentysty są niezastąpione. Zalecam wizyty przynajmniej raz na 6 miesięcy, a w przypadku tendencji do problemów z dziąsłami, nawet częściej. Podczas takich wizyt stomatolog może wcześnie wykryć i usunąć kamień nazębny, który jest niemożliwy do usunięcia samodzielnie, a także zdiagnozować i wyleczyć początkowe stadia chorób dziąseł, zanim rozwiną się w poważniejsze problemy. To inwestycja w Twoje zdrowie i uśmiech na lata.
