Artykuł ma za zadanie szczegółowo wyjaśnić rodzicom, kiedy jest najlepszy moment na rozpoczęcie leczenia ortodontycznego stałym aparatem u dziecka. Przedstawimy kluczowe czynniki decydujące o tej decyzji, rozwiejemy popularne wątpliwości i przeprowadzimy przez proces przygotowania do założenia aparatu.
Kiedy stały aparat ortodontyczny jest najlepszy dla dziecka? Kluczowe informacje dla rodziców
- Optymalny wiek to zazwyczaj 11-13 lat, czyli okres późnego uzębienia mieszanego lub wczesnego stałego, ze względu na intensywny wzrost kości.
- Pierwsza wizyta kontrolna u ortodonty powinna odbyć się już w wieku 6-7 lat, aby wcześnie wykryć wady i zaplanować ewentualne leczenie wstępne.
- Warunkiem założenia aparatu stałego jest obecność większości zębów stałych (szóstki, siekacze, kły/przedtrzonowce) oraz w pełni uformowane korzenie zębów.
- Niezbędna jest nienaganna higiena jamy ustnej, wyleczone wszystkie zęby i brak stanów zapalnych dziąseł.
- Ważna jest dojrzałość i współpraca dziecka, ponieważ leczenie wymaga zaangażowania.
- Ostateczna decyzja o momencie rozpoczęcia leczenia zawsze należy do ortodonty po indywidualnej diagnostyce.

Idealny moment na stały aparat dla Twojego dziecka
Dlaczego wiek ma kluczowe znaczenie w leczeniu ortodontycznym?
Z mojego doświadczenia jako ortodonty, wiek 11-13 lat jest często uznawany za optymalny moment na założenie stałego aparatu ortodontycznego. Dlaczego? To okres intensywnego wzrostu dziecka, a co za tym idzie również szczęki i żuchwy. Ten naturalny skok rozwojowy to dla mnie, ortodonty, swoista "tajna broń". Pozwala mi na efektywniejsze i szybsze korygowanie wad zgryzu, wykorzystując plastyczność kości. Dzięki temu leczenie jest nie tylko skuteczniejsze, ale często również krótsze, a jego efekty są trwalsze. Właśnie dlatego tak ważne jest, aby nie przegapić tego okna czasowego.Pierwsza wizyta u ortodonty: dlaczego nie warto z nią czekać do nastoletnich lat?
Zgodnie z zaleceniami Polskiego Towarzystwa Ortodontycznego, pierwsza wizyta konsultacyjna u ortodonty powinna odbyć się już w wieku 6-7 lat. Wiem, że dla wielu rodziców może to brzmieć wcześnie, ale chcę podkreślić, że nie chodzi tu od razu o zakładanie aparatu stałego. Celem tej wizyty jest wczesne wykrycie potencjalnych nieprawidłowości w rozwoju twarzoczaszki i zgryzu. Wczesna interwencja, często za pomocą aparatu ruchomego, może uprościć lub nawet skrócić przyszłe leczenie aparatem stałym, a w niektórych przypadkach nawet go uniknąć. To inwestycja w zdrowie i komfort dziecka na lata.
Mit "wszystkich zębów stałych": co naprawdę musi się wydarzyć w buzi dziecka?
Często słyszę od rodziców pytanie, czy aparat stały można założyć dopiero po wyrznięciu wszystkich zębów stałych. Chcę rozwiać ten mit: nie musimy czekać na wszystkie zęby stałe, w tym zęby mądrości! Kluczowe jest, aby w buzi dziecka były obecne pierwsze stałe trzonowce, potocznie nazywane "szóstkami", oraz siekacze. Leczenie często rozpoczynamy, gdy pojawiają się również kły i zęby przedtrzonowe. Niezwykle ważnym aspektem, który weryfikuję za pomocą zdjęcia pantomograficznego, jest także w pełni uformowanie korzeni zębów stałych. Bez tego nie możemy bezpiecznie rozpocząć leczenia. Do kluczowych zębów, które muszą być obecne, zaliczamy:
- Pierwsze stałe trzonowce (szóstki)
- Siekacze
- Kły i zęby przedtrzonowe (często pojawiają się w trakcie lub tuż przed rozpoczęciem leczenia)

Sygnały, których nie możesz zignorować: kiedy wizyta u ortodonty jest konieczna?
Widoczne nieprawidłowości: stłoczone, obrócone lub wystające zęby
Jako ortodonta, zawsze zachęcam rodziców do bacznej obserwacji uzębienia swoich dzieci. Jeśli zauważysz, że zęby dziecka są stłoczone, nie mieszczą się w łuku zębowym, są obrócone, mają zbyt duże szpary między sobą, lub któreś z nich wyraźnie wystają poza linię zgryzu to są silne sygnały do konsultacji ortodontycznej. Te widoczne nieprawidłowości nie tylko wpływają na estetykę uśmiechu, ale mogą również prowadzić do problemów z higieną i prawidłowym funkcjonowaniem zgryzu.Problemy z gryzieniem i mową: ukryte objawy wady zgryzu
Warto pamiętać, że wady zgryzu to nie tylko kwestia estetyki. Często objawiają się one również funkcjonalnie. Jeśli Twoje dziecko ma trudności z gryzieniem lub przeżuwaniem pokarmów, skarży się na ból szczęki, lub zauważasz u niego wady wymowy, takie jak seplenienie, świszczenie czy problemy z artykulacją niektórych głosek to mogą być ukryte objawy problemów ze zgryzem. Takie sygnały wymagają natychmiastowej interwencji ortodonty, ponieważ mogą wpływać na ogólny rozwój i komfort życia dziecka.
Asymetria twarzy lub nadmierne wysunięcie brody: jak zgryz wpływa na wygląd?
To, co może wydawać się jedynie drobną asymetrią w wyglądzie twarzy dziecka, często ma swoje źródło w poważnych wadach zgryzu. Niewłaściwy rozwój szczęki i żuchwy może prowadzić do asymetrii twarzy, nadmiernego wysunięcia lub cofnięcia brody. Wczesna interwencja ortodontyczna w takich przypadkach ma kluczowe znaczenie nie tylko dla prawidłowego zgryzu, ale również dla harmonijnego rozwoju estetyki i funkcji całej twarzy. Nie lekceważmy tych sygnałów to inwestycja w przyszłe samopoczucie i pewność siebie dziecka.
Nawyki, które powinny zapalić czerwoną lampkę (ssanie kciuka, oddychanie przez usta)
Zwracam uwagę na pozornie niewinne nawyki, które mogą mieć katastrofalny wpływ na rozwój zgryzu. Długotrwałe ssanie kciuka, oddychanie przez usta zamiast przez nos, nagryzanie wargi czy obgryzanie paznokci to sygnały alarmowe. Takie nawyki mogą prowadzić do poważnych deformacji szczęki, żuchwy i ustawienia zębów. Wczesne ich wyeliminowanie, często z pomocą ortodonty lub innych specjalistów (np. logopedy, laryngologa), jest niezwykle ważne dla prawidłowego rozwoju zgryzu i uniknięcia skomplikowanego leczenia w przyszłości.

Od decyzji do działania: przygotowanie do założenia aparatu
Pierwsza konsultacja: czego się spodziewać i o co pytać ortodontę?
Podczas pierwszej wizyty u mnie, jako ortodonty, zawsze przeprowadzam szczegółowy wywiad medyczny z rodzicem i dzieckiem. Pytam o historię zdrowia, wcześniejsze urazy, nawyki oraz oczekiwania. Następnie wykonuję dokładne badanie kliniczne oceniam wadę zgryzu, stan zębów, dziąseł oraz tkanek twarzy. To moment, aby zadać wszelkie nurtujące pytania. Warto zapytać o:
- Wstępny plan leczenia i dostępne opcje.
- Przewidywany czas trwania leczenia.
- Orientacyjny koszt leczenia i metody płatności.
- Potencjalne wyzwania i jak sobie z nimi radzić.
Pamiętaj, że to czas na rozwianie wszelkich wątpliwości i zbudowanie wzajemnego zaufania.
Niezbędna diagnostyka: prześwietlenia i wyciski, czyli fundament planu leczenia
Aby stworzyć naprawdę skuteczny i spersonalizowany plan leczenia, niezbędna jest precyzyjna diagnostyka. W Polsce standardowo wykonujemy następujące badania przed założeniem aparatu:
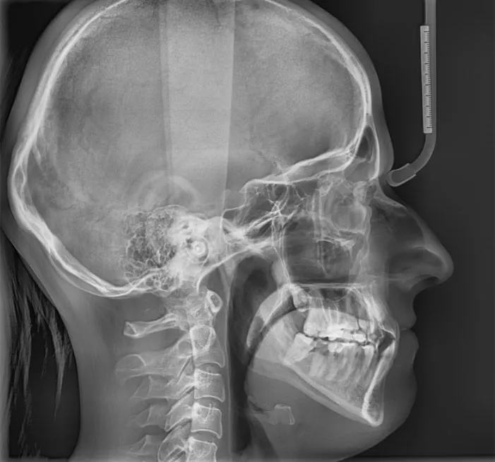
- Pantomogram: To zdjęcie rentgenowskie przedstawiające wszystkie zęby (zarówno stałe, jak i te jeszcze niewyrznięte), kości szczęki i żuchwy, a także stawy skroniowo-żuchwowe. Jest to absolutna podstawa.
- Zdjęcie cefalometryczne boczne: Pozwala na analizę profilu twarzy, ocenę wzrostu kości oraz relacji między szczęką a żuchwą.
- Wyciski diagnostyczne lub skany 3D: Służą do stworzenia dokładnych modeli zębów, na podstawie których mogę szczegółowo zaplanować ruchy zębów.
Te badania są dla mnie fundamentem do stworzenia precyzyjnego i bezpiecznego planu leczenia, dopasowanego do indywidualnych potrzeb Twojego dziecka.
Sanacja jamy ustnej: dlaczego wyleczenie wszystkich zębów to warunek numer jeden?
To jest absolutna podstawa, na którą zawsze zwracam uwagę. Przed założeniem aparatu stałego, jama ustna dziecka musi być w pełni zdrowa czyli całkowicie wyleczona. Oznacza to brak jakiejkolwiek próchnicy, a dziąsła muszą być zdrowe, bez stanów zapalnych. Leczenie ortodontyczne na niewyleczonych zębach jest nie tylko niemożliwe, ale przede wszystkim niebezpieczne. Aparat utrudnia higienę, a obecność próchnicy lub stanów zapalnych dziąseł może prowadzić do poważnych komplikacji, takich jak szybki rozwój ubytków, demineralizacja szkliwa czy uszkodzenie tkanek przyzębia. Zadbajmy o to, aby start był bezpieczny i zdrowy.
Mentalne przygotowanie dziecka: jak rozmawiać o aparacie, by uniknąć lęku?
Jako rodzic, wiem, jak ważne jest wsparcie dziecka w nowych sytuacjach. Leczenie ortodontyczne jest długotrwałe i wymaga zaangażowania i współpracy ze strony małego pacjenta. Dlatego tak istotne jest mentalne przygotowanie dziecka. Rozmawiajcie o aparacie w pozytywnym świetle, podkreślając korzyści piękny uśmiech, zdrowe zęby, łatwiejszą higienę. Oto kilka porad:
- Wyjaśnijcie, dlaczego aparat jest potrzebny, używając prostego języka.
- Pokażcie zdjęcia dzieci z aparatami, aby oswoić dziecko z ich wyglądem.
- Zapewnijcie, że początkowy dyskomfort minie i że zawsze będziecie wspierać dziecko.
- Podkreślajcie, jak ważna jest higiena i dlaczego regularne wizyty są konieczne.
Pozytywne nastawienie rodziców to klucz do sukcesu i uniknięcia niepotrzebnego lęku u dziecka.
Zęby mleczne a stały aparat: rozwiewamy wątpliwości
Czy można założyć aparat stały, gdy dziecko ma jeszcze "mleczaki"?
To jedno z najczęściej zadawanych mi pytań. Zazwyczaj aparat stały jest zakładany na zęby stałe, ponieważ to one są docelowo przesuwane i ustawiane w prawidłowej pozycji. Zęby mleczne są z natury niestabilne i wkrótce wypadną, więc nie stanowią odpowiedniej bazy dla zamków aparatu. Jednakże, obecność pojedynczych zębów mlecznych, które mają wkrótce wypaść, nie zawsze jest bezwzględnym przeciwwskazaniem. Ostateczną decyzję zawsze podejmuje lekarz ortodonta po dokładnej ocenie radiologicznej i klinicznej, biorąc pod uwagę indywidualny plan leczenia.Uzębienie mieszane: dlaczego ortodonci często czekają na ten moment?
Faza późnego uzębienia mieszanego, czyli okres, w którym dziecko ma zarówno zęby mleczne, jak i stałe, jest często momentem, na który ortodonci czekają. Właśnie w tej fazie, która zazwyczaj zbiega się z optymalnym wiekiem 11-13 lat, następuje wspomniany już wcześniej skok wzrostowy. Wykorzystanie tego naturalnego procesu pozwala na efektywniejsze i bardziej przewidywalne korygowanie wad zgryzu. Zęby stałe mają już wystarczająco rozwinięte korzenie, a jednocześnie kości szczęki i żuchwy są jeszcze na tyle plastyczne, że można nimi skutecznie kierować.
Rola aparatu ruchomego jako wstępu do leczenia stałym
Aparat ruchomy to często niedoceniany sojusznik w ortodoncji dziecięcej. Może być on wykorzystywany w leczeniu wczesnym, często u dzieci w wieku 6-7 lat, jako wstęp do leczenia aparatem stałym. Jego zadaniem jest korygowanie prostych wad, takich jak niewielkie stłoczenia, poszerzanie łuków zębowych, przygotowanie miejsca dla wyrzynających się zębów stałych lub eliminowanie szkodliwych nawyków. Dzięki temu, aparat ruchomy może znacznie uprościć, skrócić, a nawet w niektórych przypadkach całkowicie wyeliminować potrzebę późniejszego leczenia aparatem stałym. To przykład, jak wczesna interwencja może przynieść ogromne korzyści.
Aparat stały u nastolatka (11-14 lat): dlaczego to złoty standard?
Wykorzystanie skoku wzrostowego: tajna broń ortodonty
To właśnie ten naturalny proces, czyli intensywny skok wzrostowy szczęki i żuchwy, który obserwujemy u dzieci w wieku 11-14 lat, sprawia, że ten okres jest uznawany za "złoty standard" w ortodoncji. W tym czasie kości są najbardziej podatne na modelowanie. Pozwala mi to na efektywniejsze korygowanie nie tylko wad zębowych, ale również wad szkieletowych, czyli nieprawidłowości w ustawieniu samych kości szczęki i żuchwy. Po zakończeniu wzrostu takie korekty są znacznie trudniejsze, a często wymagają już bardziej inwazyjnych metod, włącznie z chirurgią ortognatyczną. Dlatego tak ważne jest, aby wykorzystać ten naturalny potencjał organizmu.
Jakie wady najskuteczniej koryguje się w tym wieku?
W tym okresie mamy najlepsze narzędzia do walki z wieloma typowymi wadami zgryzu. Dzięki możliwości wykorzystania skoku wzrostowego, najskuteczniej korygujemy takie problemy jak:
- Tyłozgryz: Kiedy górne zęby znacznie wystają przed dolne.
- Przodozgryz: Kiedy dolne zęby wystają przed górne.
- Zgryz krzyżowy: Kiedy zęby górne i dolne nie stykają się prawidłowo na boki.
- Głęboki zgryz: Kiedy górne zęby zbyt mocno zakrywają dolne.
- Stłoczenia zębów: Kiedy zęby nie mają wystarczająco miejsca w łuku.
Interwencja w tym wieku pozwala na osiągnięcie stabilnych i estetycznych rezultatów, które będą służyć dziecku przez całe życie.
Dojrzałość i współpraca: klucz do sukcesu w leczeniu
Nie bez znaczenia jest także fakt, że nastolatki w wieku 11-14 lat są zazwyczaj na tyle dojrzałe, aby zrozumieć potrzebę leczenia i aktywnie w nim uczestniczyć. Leczenie aparatem stałym wymaga sumienności dbania o nienaganną higienę jamy ustnej, unikania pewnych pokarmów oraz regularnych wizyt kontrolnych. Ich zaangażowanie i współpraca z ortodontą są kluczowe dla sukcesu i efektywności całego procesu leczenia. Z mojego doświadczenia wiem, że im bardziej dziecko jest świadome i zmotywowane, tym lepsze i szybsze są efekty.
Aparat ortodontyczny: czy wiek ma znaczenie?
Wczesna interwencja (8-10 lat): kiedy ma sens?
Choć zazwyczaj czekamy na odpowiedni wiek, istnieją specyficzne przypadki, w których ortodonci mogą zdecydować się na wcześniejsze założenie aparatu stałego u dzieci w wieku 8-10 lat. Dotyczy to zazwyczaj poważnych wad zgryzu, które wymagają natychmiastowej korekty, aby zapobiec dalszym komplikacjom. Przykładem może być bardzo głęboki zgryz, zgryz krzyżowy jednostronny, który może prowadzić do asymetrii twarzy, lub wady utrudniające prawidłowe żucie i mowę. W takich sytuacjach wczesna interwencja jest kluczowa dla stworzenia warunków do prawidłowego rozwoju i uniknięcia bardziej skomplikowanego leczenia w przyszłości.
Leczenie po 15. roku życia: z jakimi wyzwaniami się wiąże?
Co jednak, jeśli dziecko jest starsze? Leczenie ortodontyczne u pacjentów po 15. roku życia jest jak najbardziej możliwe, ale musimy być świadomi pewnych wyzwań. Po zakończeniu wzrostu kości, możliwości modelowania szczęki i żuchwy są ograniczone. Oznacza to, że leczenie może być dłuższe i mniej efektywne niż u młodszych dzieci, a w przypadku bardzo poważnych wad szkieletowych może być konieczne połączenie leczenia ortodontycznego z chirurgią ortognatyczną. Nie oznacza to jednak, że nie warto podjąć leczenia zawsze dążymy do poprawy zgryzu i estetyki uśmiechu, dostosowując metody do indywidualnych warunków pacjenta.
Przeczytaj również: Domowy aparat ortodontyczny: Pułapka czy hit? Ekspert ostrzega
Indywidualny plan leczenia ponad sztywne ramy wiekowe: dlaczego ostateczna decyzja należy do specjalisty?
Na koniec chciałabym podkreślić najważniejszą zasadę: choć istnieją ogólne wytyczne dotyczące wieku, każdy przypadek jest indywidualny. Każde dziecko rozwija się w swoim tempie, ma unikalne wady zgryzu i potrzeby. Dlatego ostateczna decyzja o momencie rozpoczęcia leczenia ortodontycznego stałym aparatem zawsze należy do doświadczonego ortodonty. Po kompleksowej diagnostyce, która obejmuje badanie kliniczne, wywiad i analizę zdjęć rentgenowskich, jestem w stanie stworzyć spersonalizowany plan leczenia, który będzie najskuteczniejszy i najbezpieczniejszy dla Twojego dziecka. Zaufajmy specjalistom, którzy najlepiej ocenią, kiedy jest ten idealny moment.
