Założenie aparatu ortodontycznego to proces wieloetapowy przygotuj się na kilka wizyt w drodze do pięknego uśmiechu
- Proces zakładania aparatu ortodontycznego w Polsce to procedura wieloetapowa, trwająca zazwyczaj od 3 do 4 wizyt u ortodonty.
- Kluczowe etapy to pierwsza konsultacja, szczegółowa diagnostyka (RTG, wyciski/skany 3D) oraz kompleksowe przygotowanie jamy ustnej.
- Przed montażem aparatu konieczne jest wyleczenie wszystkich zębów, usunięcie kamienia i osadów, a czasem również ekstrakcje zębów.
- Właściwy montaż aparatu stałego jest bezbolesny i trwa od 1 do 2 godzin na jeden łuk zębowy.
- Pierwsze dni po założeniu aparatu mogą wiązać się z dyskomfortem, bólem i podrażnieniami, które zazwyczaj ustępują po kilku dniach.
- Po założeniu aparatu kluczowa jest rygorystyczna higiena jamy ustnej oraz przestrzeganie zaleceń dietetycznych.

Mit jednej wizyty: Dlaczego przygotowania są kluczowe dla sukcesu leczenia?
Wielu pacjentów, z którymi rozmawiam, myśli, że założenie aparatu ortodontycznego to kwestia jednej, może dwóch wizyt. Nic bardziej mylnego! Z mojego doświadczenia wynika, że to złożony, wieloetapowy proces, który wymaga odpowiedniego przygotowania. Nie jest to jednorazowa wizyta, a raczej podróż, która ma na celu nie tylko wyprostowanie zębów, ale przede wszystkim zapewnienie zdrowia całej jamy ustnej. Wieloetapowe przygotowanie jest fundamentem skutecznego i bezpiecznego leczenia ortodontycznego. Zapobiega ono komplikacjom w trakcie noszenia aparatu i zapewnia optymalne, długotrwałe efekty. Bez solidnych podstaw, nawet najlepszy aparat nie przyniesie oczekiwanych rezultatów, a co gorsza, może prowadzić do problemów zdrowotnych.
Od czego zacząć? Rola pierwszej konsultacji ortodontycznej
Pierwsza wizyta u ortodonty to absolutny punkt wyjścia do leczenia. To na niej poznajemy się z pacjentem i przeprowadzam wstępną ocenę. Na tym etapie dokładnie oceniam wadę zgryzu, stan zębów oraz dziąseł. To również czas, kiedy pacjent otrzymuje wstępny plan leczenia, który zazwyczaj obejmuje ogólny zarys terapii, przewidywany czas jej trwania oraz szacunkowe koszty. W Polsce koszt takiej konsultacji to zazwyczaj od 250 do 400 zł. To inwestycja, która pozwala rozwiać pierwsze wątpliwości i zrozumieć, co nas czeka.
Ile wizyt tak naprawdę Cię czeka, zanim na zębach pojawią się zamki?
Zanim na zębach pojawią się zamki, musisz przygotować się na od 3 do 4 wizyt w gabinecie ortodontycznym. Te wizyty obejmują kluczowe etapy, takie jak szczegółowa diagnostyka, kompleksowe przygotowanie jamy ustnej oraz planowanie leczenia. To nie jest czas stracony wręcz przeciwnie, to czas niezbędny, aby leczenie było bezpieczne, efektywne i przyniosło najlepsze możliwe rezultaty. Każdy z tych etapów ma swoje uzasadnienie i jest nieodzowny dla sukcesu terapii.
Pierwsze spotkanie z ortodontą: czego się spodziewać?
Pierwsza wizyta u ortodonty to nie tylko rozmowa, ale przede wszystkim szczegółowa diagnostyka. To kluczowy moment, który pozwala mi jako ortodoncie stworzyć spersonalizowany i skuteczny plan leczenia. Zawsze staram się, aby pacjent czuł się komfortowo i rozumiał każdy krok.
Wywiad medyczny i ocena wady zgryzu: Co sprawdzi lekarz?
Podczas pierwszej wizyty rozpoczynam od szczegółowego wywiadu medycznego. Pytam o ogólny stan zdrowia, przebyte choroby, alergie, przyjmowane leki, a także o historię stomatologiczną. To niezwykle ważne, ponieważ wiele schorzeń może mieć wpływ na przebieg leczenia ortodontycznego. Następnie dokładnie oceniam wadę zgryzu, stan zębów czy są ubytki, stare wypełnienia, czy nie ma problemów z korzeniami. Sprawdzam również kondycję dziąseł i błony śluzowej jamy ustnej. To kompleksowa ocena, która pozwala mi uzyskać pełen obraz sytuacji.

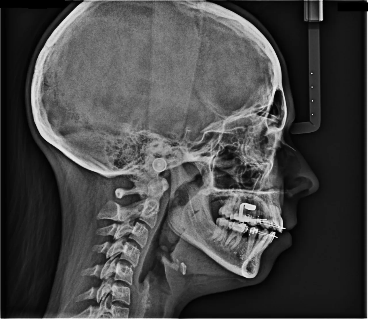
Diagnostyka obrazowa: Dlaczego zdjęcia RTG (pantomogram, cefalometria) są niezbędne?
Zdjęcia rentgenowskie to absolutna podstawa w diagnostyce ortodontycznej. Pantomogram (zdjęcie panoramiczne) pozwala mi ocenić stan wszystkich zębów, ich korzeni, zawiązków zębów stałych (u dzieci), a także kości szczęk i stawów skroniowo-żuchwowych. Zdjęcie cefalometryczne, czyli boczne zdjęcie czaszki, jest z kolei kluczowe do analizy proporcji twarzy, pozycji szczęk względem siebie i podstawy czaszki. Dzięki tym zdjęciom mogę precyzyjnie zaplanować kierunek przemieszczania zębów i przewidzieć, jak wpłynie to na rysy twarzy pacjenta. Bez nich leczenie byłoby jak nawigowanie bez mapy.Wyciski czy skan 3D? Jak powstaje cyfrowy model Twojego uśmiechu
Kolejnym etapem diagnostyki jest stworzenie modelu Twojego uśmiechu. Tradycyjnie polegało to na pobieraniu wycisków szczęki i żuchwy za pomocą specjalnej masy. Dziś coraz częściej korzystamy ze skanów wewnątrzustnych 3D, które są znacznie bardziej komfortowe dla pacjenta i precyzyjne. Na podstawie tych wycisków lub skanów tworzone są modele diagnostyczne. To na nich mogę dokładnie analizować ułożenie zębów, planować ich przemieszczenia i symulować efekty leczenia. To jak wirtualna przymiarka Twojego przyszłego uśmiechu.
Wstępny plan leczenia i kosztorys: o co musisz zapytać ortodontę?
Po zebraniu wszystkich danych diagnostycznych przedstawiam pacjentowi wstępny plan leczenia. Omawiam dostępne opcje, przewidywany czas trwania terapii oraz szacunkowe koszty. To moment, w którym warto zadawać pytania! Nie wahaj się zapytać o alternatywne metody leczenia, o to, ile potrwa leczenie, jakie są przewidywane efekty, jak często będą wizyty kontrolne i czy są jakieś dodatkowe koszty, o których powinieneś wiedzieć. Im więcej wiesz, tym bardziej świadomie podejmujesz decyzje.
Przygotowanie jamy ustnej: fundament zdrowego leczenia
Zawsze podkreślam, że leczenie ortodontyczne to nie tylko prostowanie zębów, ale przede wszystkim dbanie o ich zdrowie. Odpowiednie przygotowanie jamy ustnej jest absolutnie kluczowe dla zdrowia i efektywności całego procesu. Bez tego fundamentu, nawet najlepiej zaplanowane leczenie może napotkać trudności.
Dlaczego "wielkie sprzątanie" jest obowiązkowe? Skaling, piaskowanie i fluoryzacja
Przed założeniem aparatu ortodontycznego konieczne jest wykonanie profesjonalnych zabiegów higienizacyjnych. Mówię tu o skalingu (usunięciu kamienia nazębnego), piaskowaniu (usunięciu osadów i przebarwień) oraz fluoryzacji (wzmocnieniu szkliwa). Kamień i osady to siedlisko bakterii, które w połączeniu z aparatem mogą prowadzić do próchnicy i stanów zapalnych dziąseł. Czysta jama ustna to podstawa dzięki temu minimalizujemy ryzyko komplikacji i zapewniamy zębom najlepsze warunki do leczenia.
Leczenie zachowawcze: Pożegnanie z próchnicą przed startem
To absolutna zasada: wszystkie ubytki próchnicowe muszą być wyleczone przed rozpoczęciem leczenia ortodontycznego. Aparat utrudnia higienę, a obecność próchnicy pod zamkami czy pierścieniami może prowadzić do jej szybkiego rozwoju i poważnych problemów. Nie możemy sobie na to pozwolić! Zdrowe zęby to podstawa, na której budujemy piękny uśmiech.
Ekstrakcje zębów: kiedy i dlaczego usunięcie zęba jest konieczne do założenia aparatu?
W niektórych przypadkach, zwłaszcza przy dużym stłoczeniu zębów lub znacznym wychyleniu, ortodonta może podjąć decyzję o konieczności ekstrakcji (usunięcia) niektórych zębów. Najczęściej są to "czwórki" lub "piątki", a także ósemki (zęby mądrości), jeśli stwarzają problem lub nie mają miejsca w łuku. Wiem, że perspektywa usunięcia zdrowego zęba może być niepokojąca, ale czasem jest to niezbędne, aby stworzyć przestrzeń dla prawidłowego ustawienia pozostałych zębów i osiągnąć stabilny, estetyczny wynik leczenia. Zawsze dokładnie wyjaśniam pacjentowi, dlaczego taka decyzja jest konieczna.

Montaż aparatu ortodontycznego: jak przebiega kluczowa wizyta?
Po wszystkich przygotowaniach nadszedł ten dzień dzień montażu aparatu! To wizyta, na którą wielu pacjentów czeka z niecierpliwością, ale i z lekkim stresem. Chcę Cię zapewnić, że sam proces jest bezbolesny i przebiega w komfortowej atmosferze.
Co to są separacje i dlaczego czuje się je na kilka dni przed?
Na kilka dni przed właściwym montażem aparatu, między zęby trzonowe, wkładane są specjalne gumki separacyjne. Ich zadaniem jest delikatne rozsunięcie zębów, aby stworzyć przestrzeń dla pierścieni ortodontycznych, które zostaną założone na trzonowce. Może to powodować lekki dyskomfort, uczucie ucisku lub tkliwość zębów, podobne do tego, jakby coś utknęło między zębami. To normalna reakcja i znak, że separatory działają. Zazwyczaj te odczucia ustępują po kilku dniach.
Bezbolesny proces: Jak ortodonta przykleja zamki do zębów?
Sam proces przyklejania zamków jest całkowicie bezbolesny. Najpierw dokładnie oczyszczam i osuszam powierzchnię szkliwa każdego zęba. Następnie na każdy ząb nakładam specjalny klej ortodontyczny, a na niego precyzyjnie pozycjonuję zamek. Klej jest utwardzany światłem lampy polimeryzacyjnej. To precyzyjna praca, która wymaga cierpliwości i dokładności, ale nie wiąże się z żadnym bólem. Pacjent może odczuwać jedynie lekki ucisk lub dyskomfort związany z otwartymi ustami przez dłuższy czas.
Łuk, zamki i ligatury: Z czego składa się Twój nowy aparat?
Twój nowy stały aparat ortodontyczny składa się z kilku kluczowych elementów. Zamki to małe metalowe lub estetyczne (np. ceramiczne) elementy, które są przyklejane do każdego zęba. Przez zamki przechodzi drut ortodontyczny (łuk), który jest głównym elementem wywierającym siłę na zęby. Drut ten jest mocowany do zamków za pomocą małych gumeczek, czyli ligatur (lub specjalnych klipsów w aparatach samoligaturujących). Każdy z tych elementów pełni swoją funkcję: zamki są punktami zaczepienia, drut wywiera nacisk, a ligatury utrzymują drut w zamkach, prowadząc zęby w pożądanym kierunku.
Ile trwa zakładanie aparatu na jeden i oba łuki zębowe?
Zakładanie aparatu na jeden łuk zębowy trwa zazwyczaj od 1 do 2 godzin. Jeśli aparat jest zakładany na oba łuki jednocześnie, wizyta może potrwać nieco dłużej, ale często rozkładamy to na dwie oddzielne wizyty, aby nie męczyć pacjenta zbyt długim siedzeniem w fotelu. Cały czas staram się, aby pacjent czuł się komfortowo i miał możliwość krótkich przerw.
Pierwsze dni z aparatem: co czeka cię po wyjściu z gabinetu?
Wiem, że pierwsze dni z aparatem mogą być wyzwaniem. Chcę Cię przygotować na to, czego możesz się spodziewać i jak sobie z tym poradzić, abyś jak najszybciej poczuł się komfortowo ze swoim nowym uśmiechem.
Czy zakładanie aparatu boli? Prawda o dyskomforcie i sposobach na jego złagodzenie
Samo zakładanie aparatu jest bezbolesne, ale pierwsze dni po jego założeniu mogą wiązać się z dyskomfortem, a nawet bólem. Zęby mogą być tkliwe i wrażliwe na dotyk, szczególnie podczas jedzenia. Może pojawić się również podrażnienie błony śluzowej policzków i języka przez nowe elementy aparatu. To normalna reakcja organizmu na nowe siły działające na zęby. Zazwyczaj dolegliwości te ustępują po kilku dniach, gdy zęby przyzwyczają się do aparatu. Na złagodzenie bólu możesz stosować ogólnodostępne leki przeciwbólowe, a na podrażnienia śluzówki wosk ortodontyczny, który otrzymasz ode mnie w gabinecie.Pamiętaj, że "pierwsze dni po założeniu aparatu mogą wiązać się z bólem, tkliwością zębów i podrażnieniem błony śluzowej policzków, co jest normalną reakcją". Zazwyczaj dolegliwości te mijają po kilku dniach.

Nowe zasady gry: Jak dbać o higienę zębów z aparatem?
Higiena jamy ustnej z aparatem ortodontycznym to absolutny priorytet i wymaga znacznie większej dbałości niż dotychczas. Resztki jedzenia łatwiej gromadzą się wokół zamków i drutów, co sprzyja rozwojowi próchnicy i stanów zapalnych dziąseł. Będziesz potrzebować specjalnych narzędzi: szczoteczek ortodontycznych (z wycięciem w kształcie litery V), szczoteczek międzyzębowych do czyszczenia przestrzeni pod drutem, nici dentystycznych ze sztywną końcówką (lub superfloss), a także irygatora, który skutecznie wypłukuje resztki jedzenia z trudno dostępnych miejsc. Płyny do płukania ust z fluorem również będą Twoim sprzymierzeńcem. Pamiętaj, aby szczotkować zęby po każdym posiłku!
Co można jeść, a czego unikać? Praktyczny przewodnik po diecie
Przez pierwsze dni po założeniu aparatu, gdy zęby są tkliwe, zalecam dietę opartą na miękkich pokarmach, takich jak zupy kremy, jogurty, purée, gotowane warzywa, miękkie pieczywo. Później, przez cały okres leczenia, należy unikać pokarmów, które mogą uszkodzić aparat lub utknąć w nim. Do takich produktów należą:
- Twarde pokarmy: orzechy, twarde cukierki, sucharki, twarde pieczywo (np. skórka od chleba), lód.
- Klejące i ciągnące pokarmy: krówki, toffi, guma do żucia, karmel, suszone owoce.
- Chrupiące pokarmy: chipsy, popcorn (mogą uszkodzić zamki).
- Pokarmy wymagające odgryzania: jabłka, marchewki (kroj je na małe kawałki), kukurydza w kolbie.
Podsumowanie: założenie aparatu to początek drogi do pięknego uśmiechu
Założenie aparatu ortodontycznego to bez wątpienia ważny krok i początek fascynującej drogi do pięknego i zdrowego uśmiechu. Jak widzisz, to proces, który wymaga zaangażowania zarówno ze strony ortodonty, jak i pacjenta. Ale zapewniam Cię, że każdy etap jest przemyślany i ma na celu zapewnienie Ci najlepszych możliwych rezultatów.
Kluczowe etapy w pigułce: Od konsultacji do zamontowania aparatu
Aby ułatwić Ci zapamiętanie, oto najważniejsze etapy procesu zakładania aparatu w skrócie:
- Pierwsza konsultacja: Ocena wady zgryzu, wstępny plan i kosztorys.
- Diagnostyka: Zdjęcia RTG (pantomogram, cefalometria), wyciski lub skany 3D.
- Przygotowanie jamy ustnej: Skaling, piaskowanie, fluoryzacja, leczenie wszystkich ubytków, ewentualne ekstrakcje.
- Separacja: Założenie gumek separacyjnych (na kilka dni przed montażem).
- Montaż aparatu: Bezbolesne przyklejenie zamków, zamocowanie drutu i ligatur.
Przeczytaj również: Aparat ortodontyczny z NFZ: Tylko dla dzieci? Prawda o refundacji
Jak świadome przygotowanie do procesu wpływa na komfort i efekty leczenia?
Moje doświadczenie pokazuje, że pacjenci, którzy są świadomi każdego etapu leczenia, czują się znacznie pewniej i komfortowo. Zrozumienie, czego się spodziewać, minimalizuje stres i pozwala aktywnie uczestniczyć w procesie. Świadome przygotowanie, rygorystyczna higiena i przestrzeganie zaleceń dietetycznych nie tylko przyspieszają leczenie, ale także gwarantują jego pozytywne i trwałe efekty. Pamiętaj, że to Twoja inwestycja w zdrowie i piękny uśmiech na lata!
