Ból dziąseł co oznacza i kiedy wymaga interwencji specjalisty?
- Najczęstszą przyczyną bólu dziąseł jest zapalenie spowodowane płytką bakteryjną, wynikające z niedostatecznej higieny jamy ustnej.
- Aż 98% Polaków może mieć problemy z przyzębiem, co podkreśla skalę i powszechność tego problemu.
- Oprócz zaniedbań higienicznych, ból dziąseł mogą wywoływać urazy mechaniczne, zmiany hormonalne, choroby ogólnoustrojowe, przyjmowane leki oraz niezdrowy styl życia (np. palenie papierosów).
- Domowe sposoby, takie jak płukanki ziołowe czy solne, mogą przynieść tymczasową ulgę, ale nie zastąpią profesjonalnego leczenia przyczyn problemu.
- Pilna wizyta u dentysty jest konieczna, gdy ból dziąseł utrzymuje się dłużej niż kilka dni, jest silny, dziąsła krwawią, puchną, pojawia się ropa lub zęby stają się ruchome.
Ból dziąseł: dlaczego nie wolno go ignorować?
Ból dziąseł, choć często bagatelizowany, jest sygnałem, którego absolutnie nie powinniśmy ignorować. Dane są alarmujące: według Polskiego Towarzystwa Periodontologicznego, zaledwie około 1% Polaków może pochwalić się w pełni zdrowymi dziąsłami, a problemy z przyzębiem dotykają aż 98% populacji! To pokazuje, jak powszechna jest to dolegliwość. Z mojego punktu widzenia, ignorowanie bólu dziąseł to prosta droga do poważniejszych konsekwencji zdrowotnych. Nieleczone stany zapalne mogą prowadzić do paradontozy, czyli choroby przyzębia, która w zaawansowanym stadium skutkuje rozchwianiem, a nawet utratą zębów. Warto pamiętać, że dziąsła pełnią funkcję ochronną dla korzeni zębów i kości, więc ich zdrowie ma fundamentalne znaczenie dla całej jamy ustnej.
Jak rozpoznać pierwsze sygnały ostrzegawcze?
Zanim ból stanie się nieznośny, dziąsła często wysyłają subtelne sygnały ostrzegawcze. Kluczowe jest, aby nauczyć się je rozpoznawać i reagować na nie odpowiednio wcześnie. Oto objawy, które powinny wzbudzić Twój niepokój:
- Krwawienie dziąseł: To jeden z najczęstszych i najbardziej oczywistych sygnałów. Krwawienie podczas mycia zębów, nitkowania, a nawet samoistne, jest niemal zawsze oznaką stanu zapalnego.
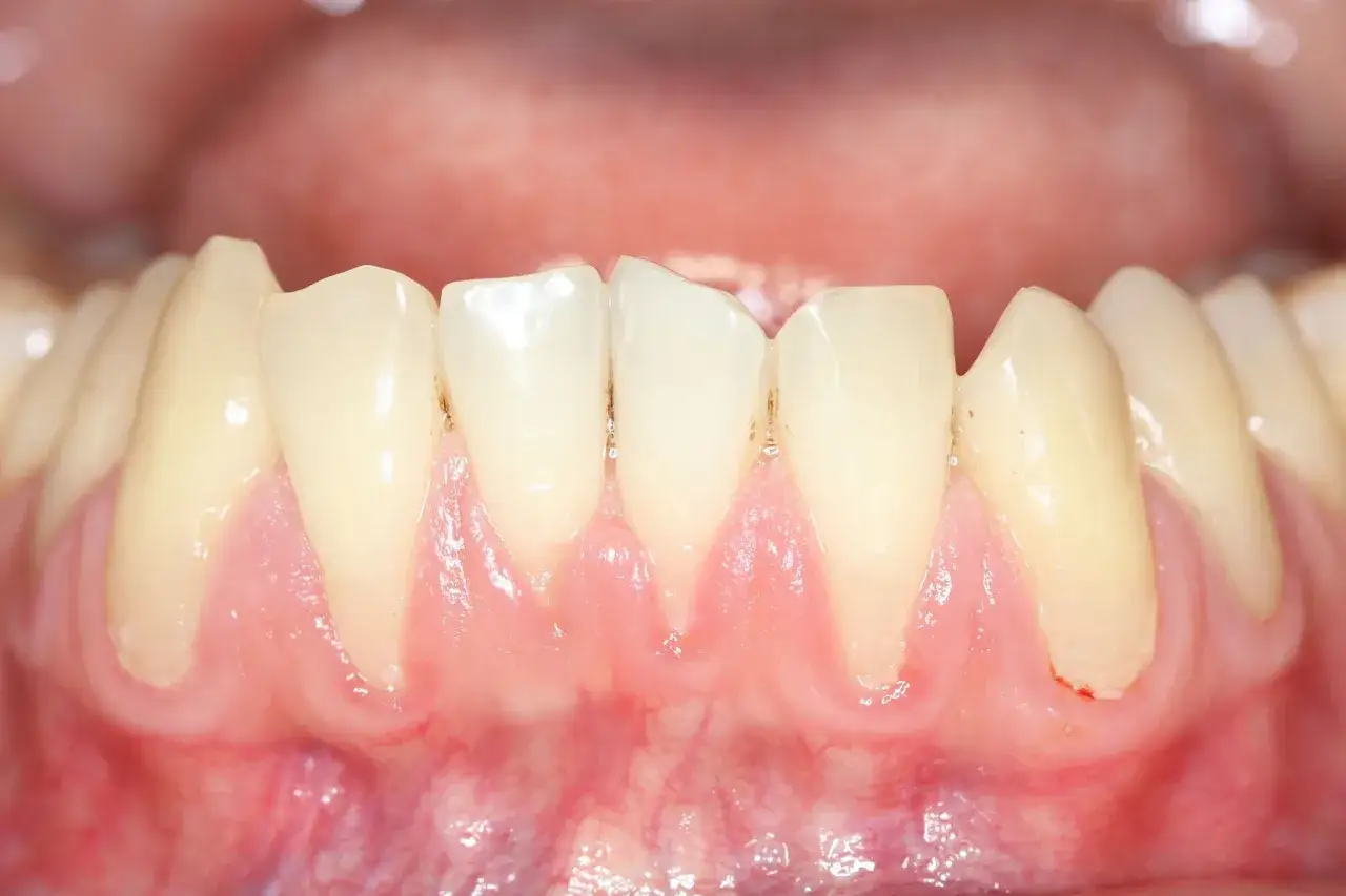
- Zaczerwienienie i obrzęk: Zdrowe dziąsła mają bladoróżowy kolor i są jędrne. Jeśli zauważysz, że są czerwone, opuchnięte i tkliwe, to znak, że coś jest nie tak.
- Nieprzyjemny zapach z ust (halitoza): Bakterie odpowiedzialne za stan zapalny dziąseł często produkują lotne związki siarki, które są przyczyną nieświeżego oddechu.
- Odsłanianie się szyjek zębowych (recesja dziąseł): Dziąsła mogą się cofać, odsłaniając korzenie zębów, co prowadzi do nadwrażliwości i zwiększa ryzyko próchnicy korzenia.
- Pojawienie się ropnej wydzieliny: To bardzo poważny objaw, świadczący o zaawansowanym stanie zapalnym lub infekcji, który wymaga natychmiastowej interwencji stomatologicznej.
Jeśli zauważysz u siebie którykolwiek z tych objawów, nie zwlekaj z wizytą u dentysty. Wczesna diagnoza i leczenie mogą zapobiec poważniejszym problemom.
Co sygnalizuje ból dziąseł? Poznaj najczęstsze przyczyny
Rozumienie przyczyn bólu dziąseł jest pierwszym krokiem do skutecznego radzenia sobie z problemem. Często źródło dyskomfortu jest prozaiczne, ale bywa, że sygnalizuje ono poważniejsze schorzenia.
Wróg numer jeden: Płytka nazębna i zapalenie dziąseł
Z mojego doświadczenia wynika, że najczęstszą przyczyną bólu dziąseł jest zapalenie dziąseł, czyli gingivitis. Jest ono bezpośrednim skutkiem gromadzenia się płytki bakteryjnej na powierzchni zębów i wzdłuż linii dziąseł. Płytka nazębna to lepka warstwa bakterii, resztek jedzenia i śliny, która tworzy się nieustannie. Kiedy higiena jamy ustnej jest niedostateczna na przykład nie szczotkujemy zębów regularnie lub robimy to niedokładnie płytka twardnieje, zamieniając się w kamień nazębny. Bakterie w płytce i kamieniu produkują toksyny, które podrażniają dziąsła, prowadząc do ich stanu zapalnego, zaczerwienienia, obrzęku i bólu. Jeśli to zapalenie nie jest leczone, może niestety przekształcić się w paradontozę, chorobę, która atakuje struktury utrzymujące ząb w kości, prowadząc do jego rozchwiania i utraty.
Twoja codzienna rutyna może być winna: urazy mechaniczne i błędy w higienie
Czasami ból dziąseł nie wynika z infekcji, lecz z mechanicznego uszkodzenia. Niestety, często sami nieświadomie przyczyniamy się do tych urazów poprzez niewłaściwe nawyki. Oto najczęstsze błędy i urazy, które mogą prowadzić do bólu dziąseł:
- Zbyt mocne szczotkowanie: Agresywne szorowanie zębów, zwłaszcza poziome, może uszkodzić delikatną tkankę dziąseł, prowadząc do ich podrażnień i recesji.
- Używanie szczoteczki o zbyt twardym włosiu: Twarde włosie, zamiast skutecznie czyścić, często rani dziąsła, powodując ból i krwawienie. Zawsze rekomenduję szczoteczki z miękkim lub średnim włosiem.
- Źle dopasowana proteza lub aparat ortodontyczny: Elementy protetyczne lub ortodontyczne, które nie są idealnie dopasowane, mogą uciskać lub ocierać dziąsła, wywołując ból i stany zapalne.
- Podrażnienie twardym jedzeniem: Ostre kawałki chipsów, sucharki czy nawet twarde skórki chleba mogą skaleczyć dziąsła, prowadząc do chwilowego, ale uciążliwego bólu.
Kiedy problem leży głębiej? Choroby ogólnoustrojowe a zdrowie dziąseł
Niekiedy ból dziąseł jest jedynie wierzchołkiem góry lodowej i sygnalizuje obecność chorób ogólnoustrojowych. Organizm to system naczyń połączonych, a jama ustna często odzwierciedla stan zdrowia całego ciała. W mojej praktyce spotkałam się z wieloma przypadkami, gdzie problemy z dziąsłami były pierwszym objawem poważniejszej choroby. Oto niektóre z nich:
- Cukrzyca: Osoby z cukrzycą są znacznie bardziej narażone na choroby dziąseł, ponieważ wysoki poziom cukru we krwi sprzyja rozwojowi bakterii i utrudnia gojenie się ran.
- Choroby serca: Istnieje dwukierunkowy związek między chorobami przyzębia a chorobami serca. Bakterie z jamy ustnej mogą przedostawać się do krwiobiegu i przyczyniać się do powstawania blaszek miażdżycowych.
- Białaczka: W niektórych typach białaczki dziąsła mogą być obrzęknięte, bolesne i krwawiące, co jest wynikiem zaburzeń w produkcji komórek krwi.
- HIV/AIDS: Osłabiony układ odpornościowy u pacjentów z HIV/AIDS sprawia, że są oni bardziej podatni na ciężkie infekcje dziąseł i jamy ustnej.
- Choroby autoimmunologiczne: Schorzenia takie jak toczeń czy choroba Leśniowskiego-Crohna mogą manifestować się zmianami w jamie ustnej, w tym bolesnymi owrzodzeniami dziąseł.
Jeśli cierpisz na którąś z tych chorób, regularne kontrole stomatologiczne są absolutnie niezbędne.
Zmiany hormonalne: Dlaczego kobiety są bardziej narażone?
Kobiety, ze względu na naturalne wahania hormonalne, są w niektórych okresach życia bardziej narażone na problemy z dziąsłami i ich ból. Hormony płciowe, takie jak estrogen i progesteron, wpływają na przepływ krwi do dziąseł, zwiększając ich wrażliwość na podrażnienia i stany zapalne. Obserwuję to szczególnie wyraźnie w kilku kluczowych momentach:
- Dojrzewanie: W okresie dojrzewania, wzrost poziomu hormonów może prowadzić do zwiększonej wrażliwości dziąseł i skłonności do krwawień.
- Ciąża: Ciążowe zapalenie dziąseł to bardzo powszechna dolegliwość. Zwiększony poziom hormonów, zwłaszcza progesteronu, powoduje, że dziąsła stają się bardziej przekrwione, obrzęknięte i wrażliwe na płytkę bakteryjną. W tym okresie higiena jamy ustnej jest szczególnie ważna.
- Menopauza: Spadek poziomu estrogenów w okresie menopauzy może prowadzić do suchości w ustach, pieczenia dziąseł i zwiększonej podatności na stany zapalne.
W tych okresach szczególnie polecam wzmożoną dbałość o higienę i regularne wizyty u stomatologa, aby zapobiec poważniejszym problemom.
Dieta, leki i styl życia: ukryci winowajcy bólu w jamie ustnej
Poza bezpośrednimi przyczynami, takimi jak płytka bakteryjna czy urazy, na zdrowie naszych dziąseł wpływa wiele czynników związanych z naszym codziennym życiem. Niedobory witamin, zwłaszcza witaminy C i witamin z grupy B, mogą osłabiać tkanki dziąseł, czyniąc je bardziej podatnymi na stany zapalne i krwawienia. Witamina C jest kluczowa dla produkcji kolagenu, który buduje dziąsła, a jej niedobór historycznie prowadził do szkorbutu. Niektóre leki również mogą mieć niekorzystny wpływ na dziąsła na przykład leki przeciwpadaczkowe, obniżające ciśnienie krwi czy immunosupresyjne mogą powodować ich przerost lub bolesność. Muszę też wspomnieć o stylu życia: palenie papierosów to jeden z największych wrogów zdrowych dziąseł. Nikotyna zwęża naczynia krwionośne, upośledzając dopływ krwi do dziąseł i utrudniając gojenie, a także maskuje objawy zapalenia. Stres, choć często niedoceniany, również osłabia układ odpornościowy, co sprzyja rozwojowi stanów zapalnych w całej jamie ustnej.Afty, pleśniawki, ropnie: inni nieproszeni goście w Twoich ustach
Ból dziąseł może być również spowodowany przez różnego rodzaju infekcje i zmiany patologiczne, które pojawiają się w jamie ustnej. Są to często dolegliwości, które choć lokalne, potrafią być niezwykle uciążliwe. Afty to bolesne, białe owrzodzenia z czerwoną obwódką, które mogą pojawiać się na dziąsłach, wewnętrznej stronie policzków czy języku, powodując ostry ból, zwłaszcza podczas jedzenia i picia. Opryszczka, choć najczęściej kojarzona z ustami, może również występować na dziąsłach, wywołując pęcherzyki i bolesne owrzodzenia. Pleśniawki, czyli kandydoza jamy ustnej, to infekcja grzybicza wywołana przez drożdżaki Candida albicans, objawiająca się białymi nalotami na dziąsłach, języku i wewnętrznej stronie policzków, często z towarzyszącym pieczeniem i bólem. W przypadku ropni, są to bolesne zbiorniki ropy, które mogą tworzyć się w tkankach dziąseł lub wokół korzenia zęba, sygnalizując poważną infekcję bakteryjną.

Domowe sposoby na ból dziąseł: jak szybko poczuć ulgę?
Kiedy dziąsła zaczynają boleć, naturalne jest poszukiwanie szybkiej ulgi. Istnieje wiele sprawdzonych domowych sposobów, które mogą przynieść tymczasowe ukojenie i zmniejszyć dyskomfort. Pamiętaj jednak, że są to metody wspomagające, które nie zastąpią profesjonalnej diagnozy i leczenia przyczynowego u stomatologa.
Ziołowa apteczka: Jaką płukankę wybrać, by poczuć ulgę?
Natura oferuje nam wiele ziół o właściwościach przeciwzapalnych i ściągających, które doskonale sprawdzają się w łagodzeniu bólu dziąseł. Zawsze polecam moim pacjentom wypróbowanie tych naturalnych metod. Oto najczęściej polecane ziołowe płukanki:
- Szałwia: Ma silne działanie antyseptyczne i przeciwzapalne. Aby przygotować napar, zalej łyżkę suszonych liści szałwii szklanką wrzątku i parz pod przykryciem przez około 15 minut. Po przestudzeniu płucz jamę ustną kilka razy dziennie.
- Rumianek: Znany ze swoich właściwości łagodzących i przeciwzapalnych. Przygotuj napar z torebki rumianku lub łyżeczki suszu, zalej wrzątkiem i parz. Stosuj jako płukankę po każdym posiłku.
- Kora dębu: Działa silnie ściągająco, co pomaga zmniejszyć obrzęk i krwawienie dziąseł. Łyżkę kory dębu zalej szklanką wody i gotuj na małym ogniu przez około 10-15 minut. Po przestudzeniu i odcedzeniu płucz usta 2-3 razy dziennie.
- Tymianek: Posiada właściwości antybakteryjne i przeciwzapalne. Napar z tymianku przygotowuje się podobnie jak z szałwii i stosuje do płukania jamy ustnej.
Proste i skuteczne: Płukanie solą i sodą oczyszczoną
Płukanki z soli i sody oczyszczonej to proste, ale bardzo skuteczne metody na łagodzenie bólu i stanów zapalnych dziąseł. Działają odkażająco, pomagając zmniejszyć ilość bakterii w jamie ustnej, a także łagodzą obrzęk. Oto jak je przygotować i stosować:
- Płukanka solna: Rozpuść pół łyżeczki soli kuchennej w szklance ciepłej wody. Mieszaj, aż sól całkowicie się rozpuści. Płucz jamę ustną roztworem przez około 30 sekund, 2-3 razy dziennie, zwłaszcza po posiłkach.
- Płukanka z sody oczyszczonej: Rozpuść pół łyżeczki sody oczyszczonej w szklance ciepłej wody. Podobnie jak w przypadku soli, płucz usta przez około 30 sekund, 2-3 razy dziennie.
Pamiętaj, aby nie połykać roztworu.
Zimny kompres: Twój sprzymierzeniec w walce z obrzękiem
Jeśli ból dziąseł jest połączony z obrzękiem, zimny kompres może przynieść natychmiastową ulgę. Niska temperatura pomaga zwęzić naczynia krwionośne, co zmniejsza opuchliznę i łagodzi ból. Wystarczy owinąć kilka kostek lodu w czystą ściereczkę lub ręcznik i przykładać go delikatnie do policzka, w miejscu, gdzie odczuwasz ból. Stosuj kompres przez 10-15 minut, z przerwami, kilka razy dziennie. Nigdy nie przykładaj lodu bezpośrednio do skóry, aby uniknąć odmrożeń.
Zmiana techniki ma znaczenie: Jak prawidłowo dbać o dziąsła, gdy bolą?
Właściwa higiena jamy ustnej jest absolutną podstawą w walce z bólem dziąseł, nawet jeśli na początku wydaje się to trudne. Kiedy dziąsła bolą, często mamy tendencję do unikania szczotkowania, co tylko pogarsza sytuację. Zamiast tego, należy zmodyfikować technikę:
- Używaj szczoteczki z miękkim włosiem: Twarde włosie może dodatkowo podrażniać i ranić bolące dziąsła. Miękka szczoteczka pozwoli na delikatne, ale skuteczne usunięcie płytki nazębnej.
- Delikatne mycie zębów: Zamiast szorować, wykonuj delikatne, okrężne ruchy, masując dziąsła. Skup się na linii dziąseł, gdzie najczęściej gromadzi się płytka.
- Regularne nitkowanie przestrzeni międzyzębowych: To kluczowy element, który pozwala usunąć resztki jedzenia i płytkę z miejsc niedostępnych dla szczoteczki. Używaj nici delikatnie, aby nie ranić dziąseł.
- Płyny do płukania ust: Wybieraj płyny bez alkoholu, które są łagodniejsze dla podrażnionych dziąseł. Mogą zawierać składniki antyseptyczne, które wspomogą leczenie.
Pamiętaj, że konsekwencja w higienie jest najważniejsza.
Kiedy domowe sposoby nie wystarczą? Alarmujące sygnały
Domowe sposoby mogą przynieść ulgę, ale nie zawsze są wystarczające. Jestem zdania, że każdy pacjent powinien wiedzieć, kiedy nadszedł czas, aby odłożyć ziołowe płukanki i pilnie udać się do stomatologa. Ignorowanie poważniejszych objawów może prowadzić do nieodwracalnych uszkodzeń.Ból, który nie odpuszcza: jak długo można czekać?
Jeśli ból dziąseł utrzymuje się dłużej niż kilka dni, pomimo stosowania domowych metod łagodzących, to wyraźny sygnał, że problem jest poważniejszy i wymaga profesjonalnej interwencji. Szczególnie alarmujący jest ból silny, pulsujący, który utrudnia jedzenie, picie czy nawet mówienie. W takich sytuacjach nie ma co zwlekać należy niezwłocznie umówić wizytę u dentysty. Samodzielne próby leczenia mogą jedynie maskować objawy, nie usuwając przyczyny, co może prowadzić do rozwoju poważniejszych schorzeń.
Krwawienie, opuchlizna, ropa: objawy, które wymagają natychmiastowej reakcji
Istnieją objawy, które wskazują na zaawansowany stan zapalny lub infekcję i wymagają pilnej konsultacji stomatologicznej. Nie lekceważ ich, ponieważ mogą świadczyć o poważnym zagrożeniu dla Twojego zdrowia jamy ustnej i ogólnego. Oto one:
- Obfite krwawienie dziąseł: Jeśli dziąsła krwawią nie tylko podczas szczotkowania, ale również samoistnie, a krwawienie jest intensywne i trudne do zatrzymania.
- Obrzęk twarzy: Opuchlizna rozprzestrzeniająca się poza dziąsła, na policzek lub pod oko, może wskazywać na ropień lub rozprzestrzeniającą się infekcję.
- Gorączka: Podwyższona temperatura ciała w połączeniu z bólem dziąseł to znak, że organizm walczy z poważną infekcją.
- Pojawienie się ropnej wydzieliny: Ropa wydobywająca się z dziąseł lub z przestrzeni między zębem a dziąsłem jest bezwzględnym wskazaniem do natychmiastowej wizyty u dentysty, ponieważ świadczy o ropniu.
Co oznacza ruchomość zębów i dlaczego to pilny sygnał?
Ruchomość zębów to objaw, który powinien wywołać natychmiastową reakcję i pilną wizytę u stomatologa. Jest to bardzo poważny sygnał, często wskazujący na zaawansowaną chorobę przyzębia, czyli paradontozę. W jej przebiegu dochodzi do zniszczenia kości otaczającej ząb, co prowadzi do jego rozchwiania. Nieleczona paradontoza może skutkować utratą zębów. Wczesna interwencja stomatologiczna, w tym specjalistyczne leczenie periodontologiczne, jest kluczowa dla ratowania zębów i zatrzymania postępu choroby. Nie ignoruj żadnej, nawet niewielkiej, ruchomości zęba.
Profesjonalne leczenie bólu dziąseł: czego spodziewać się u dentysty?
Kiedy domowe metody zawiodą, a objawy stają się alarmujące, profesjonalna pomoc stomatologiczna jest niezbędna. Wizyta u dentysty to nie tylko ulga w bólu, ale przede wszystkim szansa na zdiagnozowanie i wyleczenie podstawowej przyczyny problemu.
Pierwszy krok: Dokładna diagnoza źródła problemu
W gabinecie stomatologicznym, pierwszym i najważniejszym krokiem jest zawsze dokładna diagnoza. Dentysta przeprowadzi szczegółowy wywiad, zapyta o Twoje objawy, historię chorób i przyjmowane leki. Następnie dokładnie zbada jamę ustną, oceniając stan dziąseł, zębów i błony śluzowej. Często konieczne jest wykonanie zdjęć rentgenowskich (np. pantomograficznego lub punktowych), aby ocenić stan kości i wykryć ewentualne ukryte stany zapalne, ropnie czy zmiany w korzeniach zębów. Tylko na podstawie precyzyjnej diagnozy można dobrać odpowiednie i skuteczne leczenie.
Skaling i piaskowanie: fundament zdrowych dziąseł
W wielu przypadkach, zwłaszcza gdy przyczyną bólu dziąseł jest zapalenie spowodowane płytką i kamieniem nazębnym, podstawą leczenia są profesjonalne zabiegi higienizacyjne. Skaling to zabieg polegający na usunięciu kamienia nazębnego, zarówno naddziąsłowego, jak i poddziąsłowego, za pomocą ultradźwięków. Kamień nazębny jest twardym osadem, którego nie da się usunąć szczoteczką i jest głównym siedliskiem bakterii wywołujących stany zapalne. Po skalingu często wykonuje się piaskowanie, czyli usuwanie osadów i przebarwień z powierzchni zębów za pomocą strumienia wody, powietrza i drobnego proszku. Te zabiegi są kluczowe dla przywrócenia zdrowia dziąseł, ponieważ eliminują główną przyczynę stanu zapalnego i pozwalają dziąsłom na regenerację. Regularne ich wykonywanie jest podstawą profilaktyki chorób przyzębia.
Zaawansowane leczenie: Kiedy potrzebne są specjalistyczne zabiegi?
W przypadkach, gdy choroba dziąseł jest bardziej zaawansowana, a skaling i piaskowanie nie są wystarczające, konieczne mogą okazać się specjalistyczne zabiegi. Mam tu na myśli sytuacje, w których doszło do głębokich kieszonek dziąsłowych, znacznego ubytku kości lub innych poważnych uszkodzeń tkanek przyzębia. W takich sytuacjach stomatolog może skierować pacjenta do periodontologa specjalisty zajmującego się chorobami dziąseł i przyzębia. Metody leczenia mogą obejmować kiretaż (czyszczenie kieszonek), zabiegi chirurgiczne mające na celu regenerację kości lub tkanek miękkich, a także leczenie farmakologiczne. Celem tych zaawansowanych procedur jest zatrzymanie postępu choroby, odbudowa uszkodzonych tkanek i zachowanie zębów.
Przeczytaj również: Czym płukać dziąsła? Szybka ulga i sprawdzone metody na zapalenie
Zapobieganie bólowi dziąseł: zbuduj trwałe nawyki
Najlepszym sposobem na uniknięcie bólu dziąseł jest oczywiście zapobieganie. Wierzę, że świadoma i konsekwentna profilaktyka jest kluczem do utrzymania zdrowia jamy ustnej przez długie lata. To inwestycja, która zawsze się opłaca.
Złote zasady codziennej profilaktyki: zbuduj trwałe nawyki
Podstawą zdrowych dziąseł jest codzienna, prawidłowa higiena jamy ustnej. To nawyki, które powinny stać się Twoją drugą naturą:
- Prawidłowa technika szczotkowania: Szczotkuj zęby przynajmniej dwa razy dziennie (najlepiej po każdym posiłku) przez co najmniej dwie minuty. Używaj szczoteczki z miękkim lub średnim włosiem i wykonuj delikatne, wymiatające ruchy od dziąsła do korony zęba. Pamiętaj o masażu dziąseł.
- Regularne używanie nici dentystycznej: To absolutny must-have! Nić dentystyczna pozwala usunąć płytkę bakteryjną i resztki jedzenia z przestrzeni międzyzębowych, gdzie szczoteczka nie dociera. Używaj jej przynajmniej raz dziennie, najlepiej wieczorem.
- Inne akcesoria do higieny międzyzębowej: W zależności od potrzeb, możesz również stosować szczoteczki międzyzębowe, irygator dentystyczny czy specjalne płyny do płukania ust (bez alkoholu).
- Szczotkowanie języka: Usuwanie nalotu z języka również przyczynia się do zmniejszenia ilości bakterii w jamie ustnej i poprawy świeżości oddechu.
Dieta dla zdrowych dziąseł: Jakie witaminy i minerały są niezbędne?
To, co jemy, ma ogromny wpływ na zdrowie naszych dziąseł. Zbilansowana dieta, bogata w odpowiednie składniki odżywcze, wzmacnia odporność organizmu i wspomaga regenerację tkanek. Szczególnie ważne są:
- Witamina C: Niezbędna do produkcji kolagenu, który jest głównym składnikiem tkanki łącznej dziąseł. Jej niedobór może prowadzić do krwawień i osłabienia dziąseł. Znajdziesz ją w cytrusach, papryce, brokułach, kiwi.
- Witaminy z grupy B: Odgrywają kluczową rolę w utrzymaniu zdrowia błon śluzowych. Ich niedobory mogą prowadzić do stanów zapalnych i owrzodzeń. Bogate źródła to pełnoziarniste produkty zbożowe, mięso, ryby, warzywa liściaste.
- Wapń i witamina D: Ważne dla zdrowia kości, w tym kości szczęki, która wspiera zęby. Znajdziesz je w nabiale, rybach, zielonych warzywach.
- Antyoksydanty: Pomagają zwalczać wolne rodniki i zmniejszają stany zapalne. Obficie występują w owocach jagodowych, zielonej herbacie, warzywach.
Unikaj nadmiernego spożycia cukru i przetworzonej żywności, które sprzyjają rozwojowi bakterii i tworzeniu płytki nazębnej.
Rola regularnych wizyt kontrolnych w utrzymaniu zdrowia jamy ustnej
Nawet przy najlepszej higienie domowej, regularne wizyty kontrolne u stomatologa są absolutnie kluczowe. Uważam, że to filar długoterminowego zdrowia jamy ustnej. Zalecam wizyty co najmniej raz na sześć miesięcy, a w przypadku osób z tendencją do problemów z dziąsłami nawet częściej. Podczas takiej wizyty dentysta nie tylko oceni ogólny stan jamy ustnej, ale również wykona profesjonalne czyszczenie zębów (skaling i piaskowanie), usuwając kamień i osady, których nie da się usunąć domowymi metodami. To pozwala na wczesne wykrycie ewentualnych problemów, zanim staną się poważne, i podjęcie odpowiedniego leczenia. Pamiętaj, że profilaktyka jest zawsze łatwiejsza i tańsza niż leczenie zaawansowanych schorzeń.
