Rak płaskonabłonkowy jamy ustnej to podstępny przeciwnik, który często rozwija się bezboleśnie, a jego wczesne objawy bywają na tyle subtelne, że łatwo je zignorować. Zrozumienie tych symptomów jest absolutnie kluczowe, ponieważ wczesne rozpoznanie znacząco zwiększa szanse na pełne wyleczenie. W tym artykule, jako Zofia Baranowska, pragnę szczegółowo przedstawić zarówno te początkowe, jak i bardziej zaawansowane sygnały, które powinny skłonić do natychmiastowej wizyty u specjalisty, aby mogli Państwo świadomie chronić swoje zdrowie.
Rak płaskonabłonkowy jamy ustnej objawy, które musisz znać, aby chronić swoje zdrowie
- Rak płaskonabłonkowy stanowi ponad 90% nowotworów jamy ustnej, a w Polsce diagnozuje się ponad 4000 przypadków rocznie.
- Wczesne objawy są często subtelne (białe lub czerwone plamy, niegojące się ranki, zgrubienia) i łatwo je przeoczyć.
- Główne czynniki ryzyka to palenie tytoniu, alkohol i zakażenie wirusem HPV.
- Każda zmiana w jamie ustnej, która nie goi się w ciągu 2-3 tygodni, wymaga pilnej konsultacji lekarskiej.
- Wczesne wykrycie (stadium I) daje 80-90% szans na wyleczenie, podczas gdy w stadiach zaawansowanych rokowania są znacznie gorsze.
- Samobadanie jamy ustnej i regularne wizyty u stomatologa są kluczowe dla wczesnej diagnostyki.
Cichy zabójca w liczbach: Statystyki, które musisz znać
Rak płaskonabłonkowy to dominujący typ nowotworu w obrębie jamy ustnej, odpowiadający za ponad 90-95% wszystkich złośliwych zmian. W Polsce każdego roku diagnozuje się ponad 4000 nowych przypadków, a co niepokojące, obserwujemy tendencję wzrostową, szczególnie wśród kobiet. Chociaż mężczyźni nadal chorują 2-4 razy częściej, a szczyt zachorowań przypada na wiek 50-70 lat, to ponad połowa wszystkich przypadków jest wykrywana w zaawansowanych stadiach (III i IV). To właśnie ten fakt drastycznie pogarsza rokowania i podkreśla, jak ważne jest wczesne rozpoznanie.
Czym dokładnie jest rak płaskonabłonkowy i dlaczego jama ustna?
Rak płaskonabłonkowy to nowotwór złośliwy wywodzący się z komórek nabłonka płaskiego, które naturalnie wyściełają dużą część jamy ustnej. Jest to obszar szczególnie narażony na działanie wielu czynników drażniących, co sprzyja rozwojowi zmian nowotworowych. Najczęściej ten typ raka rozwija się na bocznej powierzchni języka, co stanowi około 40% przypadków, oraz w dnie jamy ustnej (około 30%). Inne typowe lokalizacje to błona śluzowa policzków, dziąsła, podniebienie twarde, a także warga. To właśnie w tych miejscach powinniśmy być szczególnie czujni na wszelkie niepokojące zmiany.

Pierwszy dzwonek alarmowy: Wczesne objawy, które łatwo przeoczyć
Wczesne objawy raka płaskonabłonkowego jamy ustnej są często podstępne i niebolesne, co sprawia, że pacjenci łatwo je bagatelizują lub mylą z mniej groźnymi dolegliwościami. Niestety, to właśnie te subtelne sygnały są naszym najlepszym sprzymierzeńcem w walce z chorobą. Zwracajmy na nie szczególną uwagę.
Białe i czerwone plamy (leukoplakia, erytroplakia): Więcej niż zwykłe przebarwienie
Leukoplakia objawia się jako białe plamy lub smugi na błonie śluzowej jamy ustnej, których nie da się zetrzeć. Mogą być gładkie lub szorstkie, a ich obecność często nie wiąże się z bólem. Choć nie każda leukoplakia przekształci się w nowotwór, jest to stan przedrakowy, który wymaga bacznej obserwacji i często biopsji.
Z kolei erytroplakia to czerwone, aksamitne plamy, które również nie ustępują samoistnie. Są one znacznie bardziej alarmujące niż leukoplakia, ponieważ mają znacznie wyższy potencjał transformacji nowotworowej. Każda czerwona zmiana w jamie ustnej, która utrzymuje się dłużej niż kilka dni, powinna być natychmiast skonsultowana ze specjalistą.
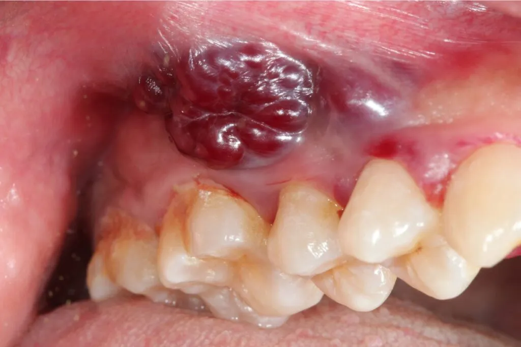
Niegojąca się ranka lub owrzodzenie: Kiedy afta przestaje być aftą?
Jednym z najbardziej alarmujących wczesnych objawów jest niegojące się owrzodzenie lub ranka, która utrzymuje się w jamie ustnej dłużej niż 2-3 tygodnie. W przeciwieństwie do zwykłych aft, które zazwyczaj goją się w ciągu kilku dni do tygodnia, zmiana nowotworowa nie wykazuje tendencji do samoczynnego zanikania. Może być bezbolesna na początku, co niestety często opóźnia wizytę u lekarza. Jeśli zauważą Państwo taką zmianę, nie wolno jej bagatelizować.Każda zmiana (owrzodzenie, plama, guzek) w jamie ustnej, która nie goi się w ciągu 2-3 tygodni, wymaga pilnej diagnostyki.
Subtelne zgrubienie lub guzek: Jak wyczuć zmianę?
Rak płaskonabłonkowy może objawiać się również jako subtelne zgrubienie lub guzek w jamie ustnej, wyczuwalny dotykiem. Początkowo może być on zupełnie bezbolesny, co sprawia, że łatwo go przeoczyć podczas codziennej higieny. Nawet małe, niebolesne zmiany, które nie ustępują, powinny wzbudzić czujność i skłonić do samobadania, a następnie do konsultacji lekarskiej.
Uczucie pieczenia, drętwienia lub niewyjaśniony ból w jednym miejscu
Choć rak jamy ustnej często jest bezbolesny we wczesnych stadiach, u niektórych pacjentów mogą pojawić się nietypowe dolegliwości, takie jak przewlekłe uczucie pieczenia, drętwienia lub niewyjaśniony, uporczywy ból, który lokalizuje się w jednym miejscu i nie ustępuje. Jeśli te objawy są jednostronne i utrzymują się przez dłuższy czas bez wyraźnej przyczyny, mogą być wczesnym sygnałem rozwijającego się nowotworu.
Gdy nowotwór postępuje: Zaawansowane i nietypowe symptomy
W miarę postępu choroby, objawy raka płaskonabłonkowego stają się zazwyczaj bardziej widoczne i uciążliwe. Ich pojawienie się świadczy o dalszym rozwoju nowotworu i często wskazuje na zajęcie przez niego głębszych struktur lub okolicznych tkanek. W tym momencie, niestety, rokowania mogą być już gorsze, ale nadal jest to sygnał do natychmiastowego działania.
Ból promieniujący do ucha lub gardła: Mylony z infekcją
Jednym z objawów zaawansowanego raka jamy ustnej jest ból, który promieniuje do innych obszarów, takich jak ucho lub gardło. Pacjenci często mylą go z infekcją, zapaleniem ucha czy anginą, co może prowadzić do opóźnienia prawidłowej diagnozy. Jeśli ból ten jest przewlekły, jednostronny i nie ustępuje po standardowym leczeniu infekcji, należy rozważyć inną przyczynę.
Problemy z mową i połykaniem (dysfagia): Wyraźny sygnał alarmowy
Gdy nowotwór zajmuje struktury odpowiedzialne za mowę i połykanie, pojawiają się wyraźne trudności. Pacjenci mogą zauważyć niewyraźną mowę, zmianę barwy głosu lub problemy z artykulacją. Dysfagia, czyli trudności z połykaniem pokarmów stałych, a następnie płynnych, jest bardzo poważnym objawem, który świadczy o zaawansowaniu choroby i wymaga pilnej interwencji.
Ograniczona ruchomość języka lub szczękościsk
Rozwijający się nowotwór może naciekać na mięśnie języka lub żuchwy, prowadząc do ograniczenia ich ruchomości. Pacjent może mieć trudności ze swobodnym poruszaniem językiem, co wpływa na mowę i jedzenie. Szczękościsk, czyli trudności z pełnym otwarciem ust, jest kolejnym niepokojącym objawem, który może świadczyć o zaawansowaniu procesu nowotworowego.
Rozchwianie zębów bez przyczyny periodontologicznej
Niewyjaśnione rozchwianie zębów, które nie jest spowodowane chorobami przyzębia (takimi jak paradontoza), może być sygnałem, że nowotwór nacieka na kość szczęki lub żuchwy. W takiej sytuacji, mimo prawidłowej higieny i braku innych objawów chorób dziąseł, zęby stają się ruchome, co wymaga szczegółowej diagnostyki.
Wyczuwalny guz na szyi: Oznaka możliwych przerzutów
Powiększone, twarde i niebolesne węzły chłonne na szyi to bardzo poważny sygnał alarmowy. Mogą one świadczyć o przerzutach nowotworowych z pierwotnego ogniska w jamie ustnej. Regularne samobadanie szyi i zwracanie uwagi na wszelkie nowe guzki jest niezwykle ważne.
Nieprzyjemny zapach z ust i niewyjaśnione krwawienia
Przewlekły, nieprzyjemny zapach z ust (halitoza), który nie ustępuje pomimo prawidłowej higieny, może być objawem zaawansowanego raka, zwłaszcza jeśli towarzyszą mu owrzodzenia. Podobnie, nawracające, niewyjaśnione krwawienia z jamy ustnej, które nie są związane z urazem czy chorobą dziąseł, powinny skłonić do pilnej konsultacji.

Kto jest w grupie ryzyka? Główne przyczyny raka jamy ustnej
Zrozumienie czynników ryzyka jest kluczowe dla profilaktyki i wczesnego rozpoznania raka jamy ustnej. Oto najważniejsze z nich:
- Palenie tytoniu i nadużywanie alkoholu.
- Zakażenie wirusem brodawczaka ludzkiego (HPV), szczególnie typem wysokoonkogennym HPV-16.
- Przewlekłe drażnienie mechaniczne błony śluzowej.
- Zła higiena jamy ustnej i przewlekłe stany zapalne.
- Dieta uboga w owoce i warzywa (niedobory witamin A, C, E).
- Ekspozycja na promieniowanie UV (w przypadku raka wargi).
Papierosy i alkohol: Zabójczy duet dla Twojej śluzówki
To niestety najbardziej znani i najgroźniejsi sprawcy. Palenie tytoniu i nadużywanie alkoholu odpowiadają za około 75% wszystkich przypadków raka jamy ustnej. Co gorsza, ryzyko wzrasta wielokrotnie, gdy te dwa czynniki występują jednocześnie. Substancje chemiczne zawarte w dymie tytoniowym oraz alkohol uszkadzają komórki błony śluzowej, prowadząc do mutacji i rozwoju nowotworu. To jest jeden z tych obszarów, gdzie świadoma zmiana nawyków może drastycznie zmniejszyć ryzyko.
Zakażenie wirusem HPV: Rosnące zagrożenie nie tylko dla kobiet
Wirus brodawczaka ludzkiego (HPV), zwłaszcza wysokoonkogenny typ HPV-16, jest coraz częściej identyfikowany jako przyczyna raka jamy ustnej, szczególnie w obrębie gardła środkowego. Co ciekawe, obserwujemy wzrost liczby zachorowań związanych z HPV u młodszych pacjentów, niezależnie od płci. To pokazuje, że HPV to nie tylko zagrożenie dla kobiet, ale także dla mężczyzn i wymaga szerszej świadomości oraz, w miarę możliwości, szczepień profilaktycznych.
Przewlekłe drażnienie i zła higiena: Cicha praca na rzecz nowotworu
Długotrwałe drażnienie mechaniczne błony śluzowej jamy ustnej, na przykład przez źle dopasowane protezy zębowe, ostre krawędzie zębów czy uszkodzone wypełnienia, może prowadzić do przewlekłych stanów zapalnych, które z czasem mogą sprzyjać transformacji nowotworowej. Podobnie, zaniedbanie higieny jamy ustnej i utrzymujące się przewlekłe stany zapalne również zwiększają ryzyko. Regularne wizyty u stomatologa i dbanie o zęby to nie tylko kwestia estetyki, ale i profilaktyki nowotworowej.Rola diety i genetyki: Czy można zmniejszyć swoje ryzyko?
Dieta uboga w owoce i warzywa, a co za tym idzie, w witaminy A, C i E, które są silnymi przeciwutleniaczami, również może zwiększać ryzyko raka jamy ustnej. Chociaż genetyka odgrywa pewną rolę, to w przypadku raka jamy ustnej czynniki środowiskowe i styl życia mają znacznie większe znaczenie. Zmiana nawyków żywieniowych i unikanie używek to konkretne kroki, które każdy z nas może podjąć, aby zmniejszyć swoje ryzyko.
Od podejrzenia do diagnozy: Jak wygląda ścieżka diagnostyczna?
Kiedy pojawia się podejrzenie raka jamy ustnej, kluczowe jest szybkie i precyzyjne działanie. Proces diagnostyczny ma na celu nie tylko potwierdzenie obecności nowotworu, ale także określenie jego typu i zaawansowania. Im szybciej rozpoczniemy tę ścieżkę, tym większe szanse na skuteczne leczenie.
Samobadanie jamy ustnej: Prosty nawyk, który ratuje życie
Samobadanie jamy ustnej to prosta, ale niezwykle skuteczna metoda wczesnego wykrywania zmian. Powinno się je wykonywać regularnie, najlepiej raz w miesiącu, przy dobrym oświetleniu i przed lustrem. Należy dokładnie obejrzeć i dotknąć wargi, dziąsła, policzki, język (górną, dolną i boczne powierzchnie), dno jamy ustnej oraz podniebienie. Szukamy wszelkich plam, zgrubień, owrzodzeń, asymetrii czy nietypowych kolorów. Jeśli coś nas zaniepokoi, nie zwlekajmy z wizytą u specjalisty.
Rola stomatologa i laryngologa: Kiedy i do kogo się zgłosić?
Stomatolog jest często pierwszym specjalistą, który może zauważyć niepokojące zmiany podczas rutynowej kontroli. Jeśli zauważą Państwo jakąkolwiek zmianę w jamie ustnej, która nie goi się w ciągu 2-3 tygodni, należy natychmiast zgłosić się do stomatologa lub laryngologa. Ci specjaliści przeprowadzą dokładne badanie kliniczne, ocenią charakter zmiany i w razie potrzeby skierują na dalszą diagnostykę. Ich doświadczenie jest nieocenione w procesie wczesnego wykrywania.
Biopsja złoty standard: Na czym polega badanie, które potwierdza diagnozę?
Biopsja to podstawowe i niezastąpione badanie w diagnostyce raka płaskonabłonkowego jamy ustnej. Polega ona na pobraniu niewielkiego wycinka tkanki z podejrzanej zmiany. Następnie ten wycinek jest przesyłany do badania histopatologicznego, gdzie patomorfolog ocenia go pod mikroskopem. Tylko badanie histopatologiczne może jednoznacznie potwierdzić obecność komórek nowotworowych i określić typ raka. Jest to złoty standard, bez którego nie można postawić ostatecznej diagnozy.
Badania obrazowe (TK, MRI, USG): Co pokazują i dlaczego są ważne?
Po potwierdzeniu diagnozy biopsją, do oceny zaawansowania nowotworu i ewentualnych przerzutów stosuje się badania obrazowe. USG szyi pozwala ocenić stan węzłów chłonnych, które są częstym miejscem przerzutów. Tomografia komputerowa (TK) i rezonans magnetyczny (MRI) dostarczają szczegółowych informacji o wielkości guza, jego lokalizacji, naciekaniu na sąsiednie struktury (np. kości) oraz obecności przerzutów odległych. Te badania są kluczowe do zaplanowania optymalnego leczenia.
Wczesne wykrycie to klucz: Dlaczego czas odgrywa decydującą rolę?
W kontekście raka jamy ustnej, czas jest dosłownie na wagę złota. Każdy dzień zwłoki w diagnostyce i rozpoczęciu leczenia może mieć dramatyczne konsekwencje. Dlatego tak bardzo podkreślam znaczenie wczesnego reagowania na wszelkie niepokojące objawy. To właśnie szybkość działania decyduje o szansach na powrót do zdrowia.
Rokowania w zależności od stadium: Od 90% szans na wyleczenie do walki o życie
Rokowania w raku płaskonabłonkowym jamy ustnej są ściśle związane ze stadium zaawansowania, w którym nowotwór został wykryty. W I stadium, czyli w momencie wczesnego wykrycia, szanse na wyleczenie wynoszą imponujące 80-90%. Niestety, jeśli nowotwór zostanie zdiagnozowany w stadiach zaawansowanych (III i IV), odsetek 5-letnich przeżyć drastycznie spada, osiągając zaledwie 30-40%. Te statystyki jasno pokazują, jak kluczowe jest nieignorowanie nawet najmniejszych sygnałów.
Przeczytaj również: Szczoteczka soniczna: inwestycja w uśmiech czy zbędny wydatek?
Jakie są nowoczesne metody leczenia? (Chirurgia, radioterapia, chemioterapia)
Wybór metody leczenia raka płaskonabłonkowego jamy ustnej zależy od wielu czynników, w tym od stadium zaawansowania, lokalizacji nowotworu i ogólnego stanu zdrowia pacjenta. Najczęściej stosowane metody to:
- Chirurgia: Polega na usunięciu guza wraz z marginesem zdrowych tkanek. Często jest to podstawowa metoda leczenia, zwłaszcza we wczesnych stadiach.
- Radioterapia: Wykorzystuje promieniowanie jonizujące do niszczenia komórek nowotworowych. Może być stosowana samodzielnie, po operacji (radioterapia uzupełniająca) lub w połączeniu z chemioterapią.
- Chemioterapia: Stosuje leki cytostatyczne, które niszczą szybko dzielące się komórki nowotworowe. Zazwyczaj jest używana w zaawansowanych stadiach choroby, często w połączeniu z radioterapią.
Wszystkie te metody są dobierane indywidualnie przez zespół specjalistów (onkologów, chirurgów, radioterapeutów), aby zapewnić pacjentowi najlepsze możliwe rokowania.
