Zapalenie dziąseł to powszechny problem, który często bywa lekceważony, mimo że jego wczesne objawy są wyraźnymi sygnałami ostrzegawczymi. Ten artykuł pomoże Ci rozpoznać kluczowe symptomy, zrozumieć ich znaczenie i dowiedzieć się, jak skutecznie zareagować, by uniknąć poważniejszych konsekwencji dla zdrowia jamy ustnej.
Zapalenie dziąseł: kluczowe objawy jak rozpoznać problem i uniknąć powikłań
- Krwawienie dziąseł podczas szczotkowania to najwcześniejszy i najczęstszy sygnał.
- Zaczerwienienie, obrzęk i tkliwość dziąseł wskazują na aktywny stan zapalny.
- Nieświeży oddech i recesja dziąseł to objawy świadczące o postępującym problemie.
- Główną przyczyną jest nagromadzenie płytki bakteryjnej i kamienia nazębnego.
- Nieleczone zapalenie dziąseł może prowadzić do paradontozy i utraty zębów.
- Wczesna reakcja i wizyta u stomatologa są kluczowe dla skutecznego leczenia i odwrócenia zmian.
Czym jest zapalenie dziąseł i dlaczego nie wolno go ignorować?
Zapalenie dziąseł, znane również jako gingivitis, to łagodna forma choroby przyzębia, która dotyka niestety bardzo wielu z nas. Szacuje się, że problem ten może dotyczyć nawet 70-80% dorosłych Polaków. Na wczesnym etapie jest to stan w pełni odwracalny, co jest niezwykle ważne. Ignorowanie pierwszych sygnałów, które wysyłają nam nasze dziąsła, to prosta droga do poważniejszych konsekwencji. Nieleczone zapalenie dziąseł może bowiem przekształcić się w paradontozę, czyli zapalenie przyzębia, które jest już znacznie trudniejsze do wyleczenia i może prowadzić do nieodwracalnych uszkodzeń, a nawet utraty zębów.
Krótka historia Twoich dziąseł: od zdrowia do stanu zapalnego
Proces powstawania zapalenia dziąseł zaczyna się niewinnie. Codziennie w naszej jamie ustnej gromadzi się płytka bakteryjna lepka warstwa złożona z resztek jedzenia, śliny i bakterii. Jeśli nie jest ona regularnie i dokładnie usuwana poprzez szczotkowanie i nitkowanie, zaczyna się mineralizować, tworząc twardy osad zwany kamieniem nazębnym. Kamień nazębny jest idealnym miejscem dla rozwoju kolejnych bakterii, które produkują toksyny. Te toksyny drażnią dziąsła, wywołując w nich reakcję zapalną. Dziąsła stają się wówczas zaczerwienione, obrzęknięte i wrażliwe to właśnie początek zapalenia dziąseł.

Jak rozpoznać problem? Kluczowe objawy zapalenia dziąseł
Rozpoznanie zapalenia dziąseł na wczesnym etapie jest kluczowe dla skutecznego leczenia. Warto zwracać uwagę na nawet subtelne zmiany, które mogą świadczyć o rozwijającym się problemie.
Symptom nr 1: Krwawienie najczęstszy i najwcześniejszy alarm
Jeśli zauważasz krew podczas szczotkowania zębów, nitkowania, a czasem nawet podczas jedzenia twardych pokarmów, to jest to najwcześniejszy i najpowszechniejszy sygnał alarmowy. Zdrowe dziąsła nie krwawią. Krwawienie świadczy o tym, że dziąsła są podrażnione i objęte stanem zapalnym. Wiele osób lekceważy ten objaw, myśląc, że to normalne lub że zbyt mocno szczotkują. Nic bardziej mylnego to wyraźny znak, że należy przyjrzeć się higienie jamy ustnej i skonsultować się ze stomatologiem.
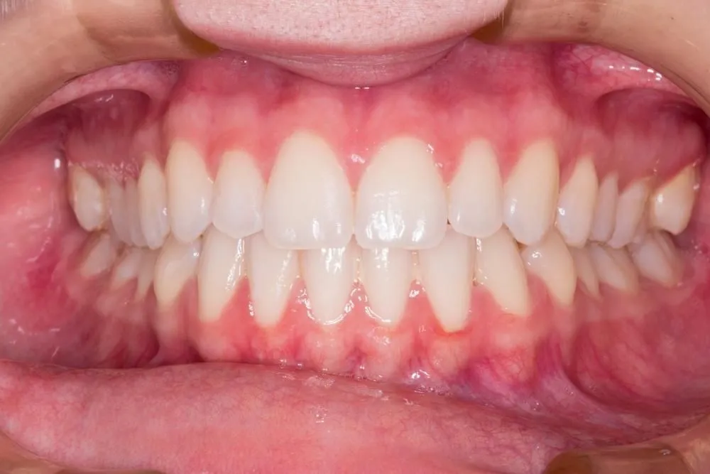
Symptom nr 2: Zmiana koloru i obrzęk jak wyglądają chore dziąsła?
Zdrowe dziąsła mają charakterystyczny, bladoróżowy kolor, są zwarte i twarde. W przypadku zapalenia dziąseł ich wygląd ulega znaczącej zmianie. Stają się one jaskrawoczerwone, a nawet purpurowe, co świadczy o zwiększonym przepływie krwi i stanie zapalnym. Dodatkowo, dziąsła stają się nabrzmiałe, opuchnięte i miękkie w dotyku. Mogą wydawać się większe niż zwykle, a ich kontur wokół zębów może być zaokrąglony, zamiast ostro zakończony.
Symptom nr 3: Ból, tkliwość i dyskomfort kiedy dziąsła zaczynają boleć?
Początkowo zapalenie dziąseł często nie boli, co niestety prowadzi do jego lekceważenia. W miarę postępu stanu zapalnego dziąsła mogą stać się wrażliwe lub bolesne przy dotyku, na przykład podczas szczotkowania, jedzenia, a nawet mówienia. W bardziej zaawansowanych stadiach ból może być stały i pulsujący, znacznie obniżając komfort życia. Tkliwość dziąseł to sygnał, że proces zapalny jest już dobrze rozwinięty i wymaga interwencji.
Symptom nr 4: Nieświeży oddech, którego nie da się zwalczyć co go powoduje?
Przewlekły, nieprzyjemny zapach z ust, czyli halitoza, to kolejny sygnał, którego nie należy ignorować. Jest on często spowodowany przez bakterie odpowiedzialne za stan zapalny dziąseł. Bakterie te, rozkładając resztki pokarmowe i tkanki, produkują lotne związki siarki, które są źródłem nieświeżego oddechu. Niestety, zwykłe płukanki czy gumy do żucia maskują problem tylko na chwilę, nie eliminując jego przyczyny. Jeśli zauważasz, że Twój oddech jest stale nieświeży, mimo dbania o higienę, to może być objaw zapalenia dziąseł.
Symptom nr 5: Odsłonięte szyjki zębowe niepokojący objaw recesji dziąseł
Recesja dziąseł, czyli cofanie się dziąseł i odsłanianie szyjek zębowych, to objaw świadczący o postępującej chorobie przyzębia. W wyniku tego procesu zęby mogą wydawać się dłuższe, a ich korzenie stają się bardziej podatne na próchnicę. Odsłonięte szyjki zębowe często prowadzą również do nadwrażliwości na zimno, ciepło czy słodkie pokarmy. To sygnał, że stan zapalny zaczął niszczyć tkanki podtrzymujące ząb, co jest bardzo niepokojące i wymaga natychmiastowej interwencji.
Skąd bierze się problem? Główne przyczyny stanu zapalnego
Zrozumienie przyczyn zapalenia dziąseł jest równie ważne, jak rozpoznanie jego objawów. Dzięki temu możemy skutecznie zapobiegać problemowi lub go leczyć.
Płytka nazębna i kamień wróg numer jeden Twoich dziąseł
Niewłaściwa lub niedostateczna higiena jamy ustnej jest najczęstszą i główną przyczyną zapalenia dziąseł. Regularne i dokładne usuwanie płytki bakteryjnej jest absolutną podstawą. Kiedy płytka nie jest usuwana, szybko twardnieje, tworząc kamień nazębny. Zarówno płytka, jak i kamień nazębny są siedliskiem bakterii, które produkują toksyny. Te toksyny drażnią tkanki dziąseł, wywołując stan zapalny. Bez profesjonalnego usunięcia kamienia nazębnego przez stomatologa, stan zapalny będzie się utrzymywał i pogłębiał.
Styl życia a zdrowie dziąseł: palenie, dieta i stres pod lupą
- Palenie papierosów: Jest jednym z najsilniejszych czynników ryzyka. Palenie ogranicza ukrwienie dziąseł, osłabia ich odporność na infekcje i utrudnia proces gojenia. Często maskuje także krwawienie, co sprawia, że palacze później zauważają objawy.
- Niedobory witaminowe: Brak odpowiedniej ilości witamin, zwłaszcza witaminy C (szkorbut) i K, może osłabiać naczynia krwionośne w dziąsłach, czyniąc je bardziej podatnymi na stany zapalne i krwawienia.
- Stres: Przewlekły stres osłabia ogólny układ odpornościowy organizmu, co sprawia, że jesteśmy bardziej podatni na infekcje, w tym te w jamie ustnej.
Kiedy cały organizm choruje: wpływ cukrzycy i innych schorzeń
Niektóre choroby ogólnoustrojowe mają znaczący wpływ na zdrowie dziąseł. Niekontrolowana cukrzyca jest jednym z najważniejszych czynników ryzyka osoby z cukrzycą są bardziej podatne na infekcje i mają trudniejsze gojenie się ran. Inne schorzenia, takie jak białaczka czy HIV/AIDS, również osłabiają układ odpornościowy, zwiększając ryzyko rozwoju zapalenia dziąseł i jego cięższych form.Zmiany hormonalne dlaczego kobiety w ciąży i w okresie menopauzy są bardziej narażone?
Wahania hormonalne mają duży wpływ na wrażliwość dziąseł. Kobiety są szczególnie narażone na zapalenie dziąseł w okresach takich jak ciąża (tzw. ciążowe zapalenie dziąseł), okres dojrzewania czy menopauza. Zwiększony poziom hormonów może nasilać reakcję dziąseł na płytkę bakteryjną, prowadząc do ich obrzęku, zaczerwienienia i krwawienia, nawet przy stosunkowo dobrej higienie.
Czy niektóre leki mogą szkodzić Twoim dziąsłom?
Tak, niektóre leki mogą mieć niekorzystny wpływ na zdrowie dziąseł. Przykłady to leki przeciwpadaczkowe (np. fenytoina), immunosupresyjne (np. cyklosporyna) czy niektóre leki stosowane w leczeniu nadciśnienia (np. blokery kanału wapniowego). Mogą one powodować przerost dziąseł, co utrudnia ich czyszczenie i sprzyja gromadzeniu się płytki. Inne leki mogą wywoływać suchość w ustach, co również zwiększa ryzyko problemów z dziąsłami.

Co się stanie, jeśli zignorujesz objawy? Scenariusz, którego chcesz uniknąć
Ignorowanie wczesnych objawów zapalenia dziąseł to duży błąd. Nieleczony stan zapalny może prowadzić do poważnych i często nieodwracalnych konsekwencji, wpływających nie tylko na jamę ustną, ale i na ogólny stan zdrowia.
Krok od zapalenia dziąseł do paradontozy na czym polega różnica?
Nieleczone zapalenie dziąseł (gingivitis) to pierwszy etap choroby przyzębia. Jeśli stan zapalny nie zostanie opanowany, z czasem przeniesie się na głębsze tkanki, czyli na przyzębie. Wtedy mówimy już o zapaleniu przyzębia, czyli paradontozie. Różnica jest kluczowa: o ile zapalenie dziąseł dotyczy tylko tkanek miękkich i jest w pełni odwracalne, o tyle paradontoza atakuje również kość, która utrzymuje zęby w zębodołach. Jest to choroba postępująca, która prowadzi do nieodwracalnych uszkodzeń.
Ryzyko utraty zębów: jak stan zapalny niszczy fundament Twojego uśmiechu
Paradontoza, niszcząc kość wyrostka zębodołowego, stopniowo osłabia fundamenty, na których opierają się zęby. W miarę postępu choroby dochodzi do rozchwiania zębów, które stają się coraz bardziej ruchome. W zaawansowanych stadiach, mimo że ząb sam w sobie może być zdrowy, utrata kości jest tak duża, że nie ma on już stabilnego podparcia. W konsekwencji prowadzi to do przedwczesnej utraty zębów, co jest scenariuszem, którego z pewnością chcemy uniknąć.
Zapalenie dziąseł a zdrowie serca zaskakujące połączenie, które warto znać
Coraz więcej badań wskazuje na zaskakujące powiązanie między przewlekłym stanem zapalnym w jamie ustnej a zdrowiem ogólnym organizmu. Bakterie z jamy ustnej mogą przedostawać się do krwiobiegu, przyczyniając się do rozwoju lub zaostrzenia wielu chorób. Nieleczone zapalenie dziąseł i paradontoza są powiązane ze zwiększonym ryzykiem chorób sercowo-naczyniowych, takich jak zawał serca czy udar mózgu. Mogą również pogarszać kontrolę cukrzycy i wpływać na inne stany zapalne w organizmie. To pokazuje, jak ważne jest dbanie o zdrowie jamy ustnej.
Zauważyłeś objawy? Pierwsze kroki do zdrowych dziąseł
Jeśli rozpoznałeś u siebie którykolwiek z wymienionych objawów, nie panikuj, ale też nie zwlekaj. Wczesna reakcja jest kluczowa dla odwrócenia zmian i zapobiegania poważniejszym problemom.
Dlaczego wizyta u stomatologa jest absolutnie konieczna?
Wizyta u stomatologa jest absolutnie kluczowa. Tylko specjalista jest w stanie prawidłowo zdiagnozować stopień zaawansowania zapalenia dziąseł, ocenić stan przyzębia i usunąć kamień nazębny, który jest główną przyczyną problemu. Profesjonalne oczyszczanie zębów (skaling i piaskowanie) to podstawa leczenia zapalenia dziąseł. Stomatolog udzieli również indywidualnych wskazówek dotyczących prawidłowej higieny jamy ustnej, dobierze odpowiednie narzędzia i techniki szczotkowania.
Jak prawidłowa higiena może cofnąć pierwsze objawy?
Prawidłowa i regularna higiena jamy ustnej może zdziałać cuda w przypadku wczesnego zapalenia dziąseł, a nawet cofnąć pierwsze objawy. Oto podstawowe zasady:
- Dokładne szczotkowanie zębów: Myj zęby co najmniej dwa razy dziennie, przez dwie minuty, używając szczoteczki z miękkim włosiem. Pamiętaj o delikatnym masażu dziąseł.
- Nitkowanie zębów: Codzienne nitkowanie jest niezbędne do usuwania płytki bakteryjnej i resztek jedzenia z przestrzeni międzyzębowych, gdzie szczoteczka nie dociera.
- Użycie płynów do płukania ust: Płyny antyseptyczne mogą wspomagać redukcję bakterii, ale nie zastąpią mechanicznego usuwania płytki. Stosuj je zgodnie z zaleceniami stomatologa.
- Szczoteczki międzyzębowe: W niektórych przypadkach, zwłaszcza przy większych przestrzeniach międzyzębowych, szczoteczki międzyzębowe są skuteczniejsze niż nić dentystyczna.
Przeczytaj również: Rak dziąsła: Ból to mit! Prawdziwe objawy, które ratują życie
Domowe sposoby łagodzące dyskomfort co naprawdę działa, a co jest mitem?
Istnieje wiele domowych sposobów, które mogą łagodzić dyskomfort związany z zapaleniem dziąseł, ale ważne jest, aby pamiętać, że nie zastępują one profesjonalnego leczenia stomatologicznego. Mogą stanowić jedynie wsparcie. Płukanki z ciepłej wody z solą mogą pomóc zmniejszyć obrzęk i działać antyseptycznie. Płukanki ziołowe, np. z naparu z szałwii, rumianku czy kory dębu, mają właściwości przeciwzapalne i ściągające, co może przynieść ulgę. Należy jednak podkreślić, że żadne domowe metody nie usuną kamienia nazębnego ani nie wyleczą przyczyny zapalenia. Są to jedynie środki pomocnicze, które mogą chwilowo złagodzić objawy.
Podsumowanie: Twoje dziąsła wysyłają sygnały reaguj na czas
Zapalenie dziąseł to problem, który dotyka wielu z nas, ale na szczęście jest w pełni odwracalny, jeśli zareagujemy odpowiednio wcześnie. Pamiętaj, że krwawienie, zaczerwienienie, obrzęk czy nieświeży oddech to wyraźne sygnały, których nie wolno ignorować. Wczesna diagnoza i podjęcie leczenia, przede wszystkim poprzez profesjonalne oczyszczanie zębów u stomatologa i poprawę codziennej higieny, to klucz do zdrowych dziąseł i pięknego uśmiechu. Nie czekaj, aż drobny problem przerodzi się w poważną chorobę Twoje dziąsła zasługują na uwagę i troskę.
